Synthetic peptide within amino acids 750 and the C-terminus of human SP1 (XP_028606. 4).
Host
Rabbit
Clonality
Polyclonal
Isotype
IgG
Conjugate
Unconjugated
Purification
Antigen affinity purification.
Concentration
200 µg/ml
Product Form
Liquid
Formulation
Supplied in Tris-Buffered Saline with 0.1% BSA and 0.09% Sodium Azide.
Storage
Shipped at 4°C. Upon delivery aliquot and store at -20°C. Avoid freeze/thaw cycles.
General Notes
This antibody was affinity purified using the immunising peptide immobilized on solid support. Immunoglobulin concentration was determined by extinction coefficient: absorbance at 280 nm of 1. 4 equals 1.0 mg of IgG.
Samples: Whole cell lysate (0.5 or 1.0 mg per IP reaction; 20% of IP loaded) from HeLa cells prepared using NETN lysis buffer. Antibodies: Anti-SP1 Antibody (A295285) was used for IP at 6 µg per reaction. SP1 was also immunoprecipitated by a previous lot of this antibody and another anti-SP1 antibody. For blotting immunoprecipitated SP1, Anti-SP1 Antibody (A295285) was used at 1 µg/ml. Detection: Chemiluminescence with an exposure time of 10 seconds.
Samples: Whole cell lysate (50 µg) from HeLa, HEK293T, and mouse Renca cells prepared using NETN lysis buffer. Antibody: Anti-SP1 Antibody (A295285) was used for WB at 0.1 µg/ml. Detection: Chemiluminescence with an exposure time of 10 seconds.
Samples: Whole cell lysate (1.0 mg per IP reaction; 20% of IP loaded) from HEK293T cells prepared using NETN lysis buffer. Antibodies: Anti-SP1 Antibody (A295285) was used for IP at 6 µg per reaction. SP1 was also immunoprecipitated by a previous lot of this antibody and a second antibody against a different epitope of SP1. For blotting immunoprecipitated SP1, Anti-SP1 Antibody (A295285) was used at 0.2 µg/ml. Detection: Chemiluminescence with an exposure time of 30 seconds.
Samples: Whole cell lysate (50 µg) from HeLa, HEK293T, Jurkat, MCF-7, and CCRF-CEM cells prepared using NETN lysis buffer. Antibody: Anti-SP1 Antibody (A295285) was used for WB at 0.1 µg/ml. Detection: Chemiluminescence with an exposure time of 3 minutes.
Chromatin from an acute myeloid leukemia cell line was immunoprecipitated with Anti-SP1 Antibody (A295285) and analyzed by DNA sequencing. The figure illustrates the peak distribution of SP1 binding within a 250 Kb region of chromosome 6 as detected using Anti-SP1 Antibody (A295285). ChIP-seq validation performed by Active Motif, Carlsbad, CA.
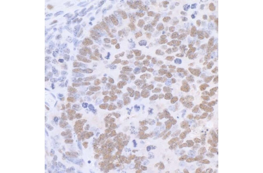
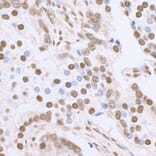
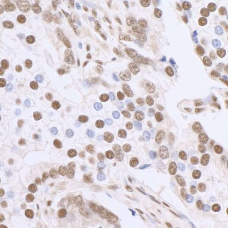
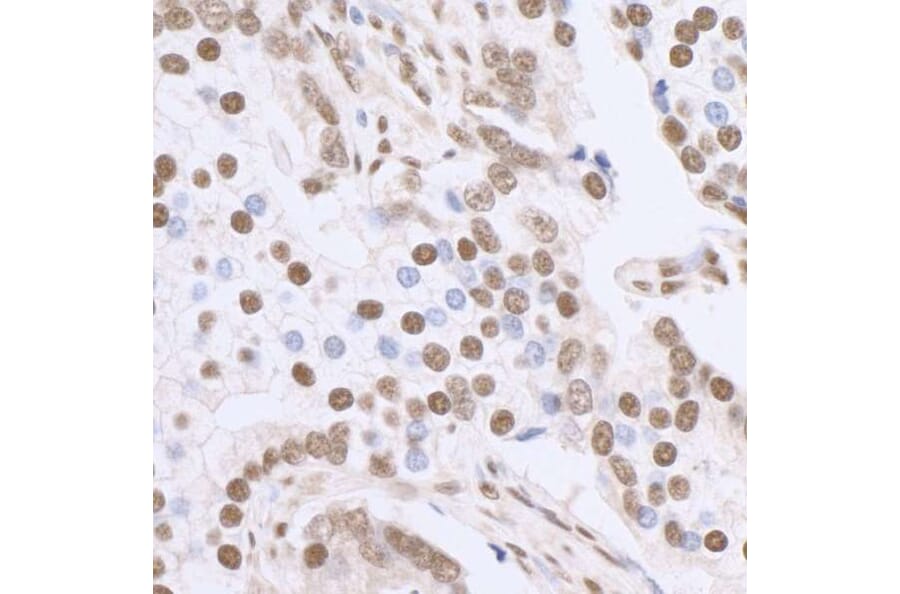
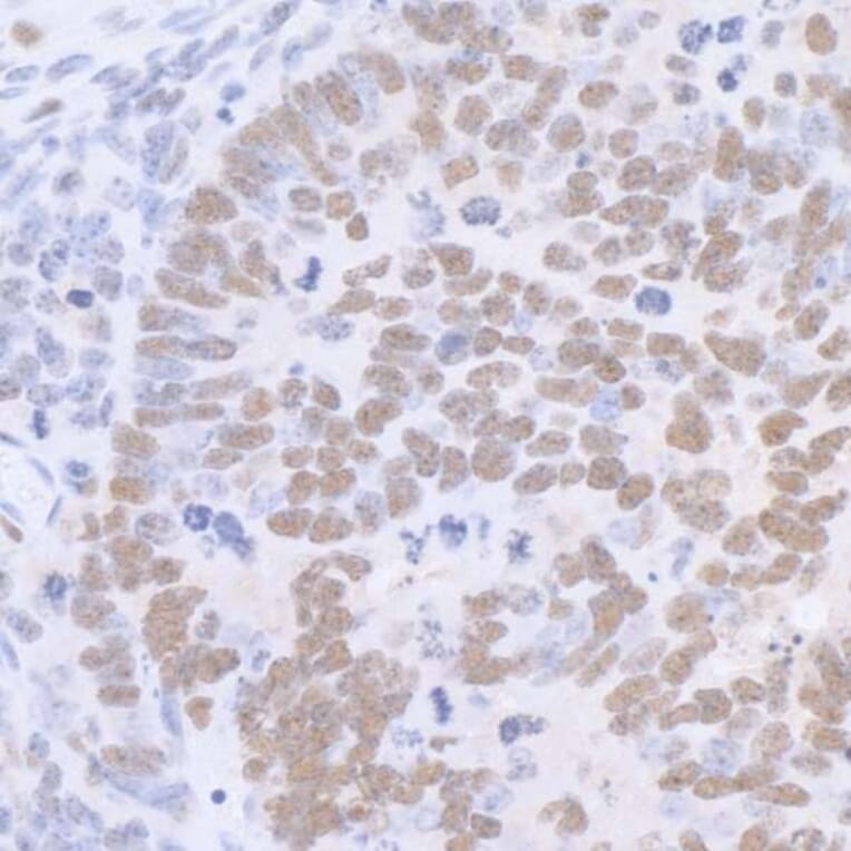
Sample: FFPE section of mouse renal cell carcinoma. Antibody: Anti-SP1 Antibody (A295285) was used at a dilution of 1:5,000 (0.2 µg/ml). Detection: DAB.