Primary Antibodies
Secondary Antibodies
Proteins & Peptides
ELISA Kits
About Us
Contact Us
Sign In/Register
0
ISO 9001:2015 Certified
Live Customer Support
4.5/5 on Trustpilot
100% Quality Guarantee
Home
Primary Antibodies
SPATA2L Antibodies
Anti-SPATA2L Antibody (A36830)
Anti-SPATA2L Antibody (A36830)
Overview
Specifications
Images
Enlarge Image
Enlarge Image
$405
Rabbit polyclonal antibody to SPATA2L for WB and IHC.
100% Guarantee
Price Match Guarantee
Product Size:
100µl
Quantity:
1
2
3
4
5
6
7
8
9
10
Add To Cart
Request a Quotation
Custom or Bulk Request
Shipping Information
Freight/Packing Charges:
$40
Dispatched from St. Louis, MO.
Lead Time: 6-9 business days.
Specifications
Name
Anti-SPATA2L Antibody
Description
Rabbit polyclonal antibody to SPATA2L
Specificity
The antibody detects endogenous levels of total SPATA2L protein.
Applications
WB
,
IHC
Reactivity
Human
Immunogen
Fusion protein corresponding to a region derived from internal residues of human spermatogenesis associated 2-like
Host
Rabbit
Clonality
Polyclonal
Conjugate
Unconjugated
Purification
Antigen affinity purification.
Concentration
1.1 mg/ml
Formulation
Rabbit IgG in pH7.3 PBS, 0.05% NaN3, 50% Glycerol.
Storage
Store at -20˚C
Synonyms
C16orf76, SPATA2-like protein, Spermatogenesis-associated protein 2-like protein
Suitable Secondaries
Goat Anti-Rabbit IgG H&L Antibody (AP) (A294874)
Goat Anti-Rabbit IgG H&L Antibody (Biotin) (A294795)
Goat Anti-Rabbit IgG H&L Antibody (FITC) (A294887)
Goat Anti-Rabbit IgG H&L Antibody (HRP) (A294888)
See all Anti-Rabbit IgG Secondaries →
Disclaimer
This product is for research use only. It is not intended for diagnostic or therapeutic use.
Scientific Validation Data
Validation Data
(2)
Enlarge Image
Anti-SPATA2L Antibody (A36830)
Gel: 10% SDS-PAGE Lysate: 40ug MCF7 cell Primary antibody: 1/500 dilution Secondary antibody dilution: 1/8000 Exposure time: 30 seconds
Enlarge Image
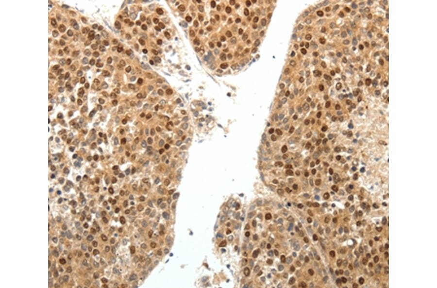
Immunohistochemistry - Anti-SPATA2L Antibody (A36830)
Immunohistochemical analysis of paraffin-embedded Human ovarian cancer tissue using #35941 at dilution 1/30.
Publishing research using Anti-SPATA2L Antibody (A36830)? Please
let us know
so that we can list the citation on this page.
Alternative products to Anti-SPATA2L Antibody (A36830)
A304889
Anti-SPATA2L Antibody [Z2 P2D5-C8]
Mouse monoclonal [Z2 P2D5-C8] antibody to SPATA2L for WB, IHC and ELISA.
A304889
Anti-SPATA2L Antibody [Z2 P2D5-C8]
Mouse monoclonal [Z2 P2D5-C8] antibody to SPATA2L for WB, IHC and ELISA.
Proteins predicted to interact with SPATA2L
Predicted protein interactions based upon String database. Revelancy score correlates with probability of interaction.
CYLD Antibodies
95.5% Relevancy Score
SHARPIN Antibodies
92.5% Relevancy Score
RNF31 Antibodies
92.2% Relevancy Score
SPATA2 Antibodies
92.1% Relevancy Score
RBCK1 Antibodies
91.2% Relevancy Score
CPNE7 Antibodies
42.2% Relevancy Score
CDK10 Antibodies
38% Relevancy Score
PGBD4 Antibodies
38% Relevancy Score
MC1R Antibodies
35.6% Relevancy Score
Top