Primary Antibodies
Secondary Antibodies
Proteins & Peptides
ELISA Kits
About Us
Contact Us
Sign In/Register
0
ISO 9001:2015 Certified
Live Customer Support
4.5/5 on Trustpilot
100% Quality Guarantee
Home
Primary Antibodies
SPCS2 Antibodies
Anti-SPCS2 Antibody (A38246)
Anti-SPCS2 Antibody (A38246)
Overview
Specifications
Images
Enlarge Image
Enlarge Image
$430
Product Datasheet
Rabbit polyclonal antibody to SPCS2 for WB and IHC.
100% Guarantee
Price Match Guarantee
Product Size:
100µl
Quantity:
1
2
3
4
5
6
7
8
9
10
Add To Cart
Request a Quotation
Custom or Bulk Request
Shipping Information
Freight/Packing Charges:
$40
Dispatched from St. Louis, MO.
Lead Time: 6-9 business days.
Specifications
Name
Anti-SPCS2 Antibody
Description
Rabbit polyclonal antibody to SPCS2
Specificity
The antibody detects endogenous levels of total SPCS2 protein.
Applications
WB
,
IHC
Reactivity
Human
Immunogen
Fusion protein of human SPCS2
Host
Rabbit
Clonality
Polyclonal
Conjugate
Unconjugated
Purification
Antigen affinity purification.
Concentration
1.7 mg/mL
Formulation
Rabbit IgG in pH7.4 PBS, 0.05% NaN3, 40% Glycerol.
Storage
Shipped at 4°C. Upon delivery aliquot and store at -20°C. Avoid freeze/thaw cycles.
Synonyms
KIAA0102, Microsomal signal peptidase 25 kDa subunit, Signal peptidase complex subunit 2, SPase 25 kDa subunit, SPC25
Suitable Secondaries
Goat Anti-Rabbit IgG H&L Antibody (AP) (A294874)
Goat Anti-Rabbit IgG H&L Antibody (Biotin) (A294795)
Goat Anti-Rabbit IgG H&L Antibody (FITC) (A294887)
Goat Anti-Rabbit IgG H&L Antibody (HRP) (A294888)
See all Anti-Rabbit IgG Secondaries →
Disclaimer
This product is for research use only. It is not intended for diagnostic or therapeutic use.
Scientific Validation Data
Validation Data
(2)
Enlarge Image
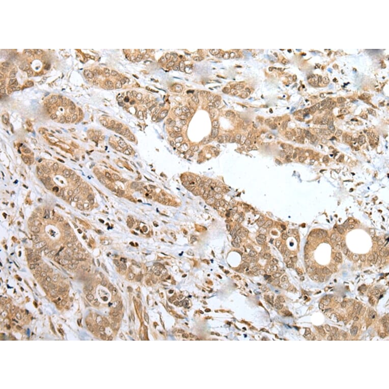
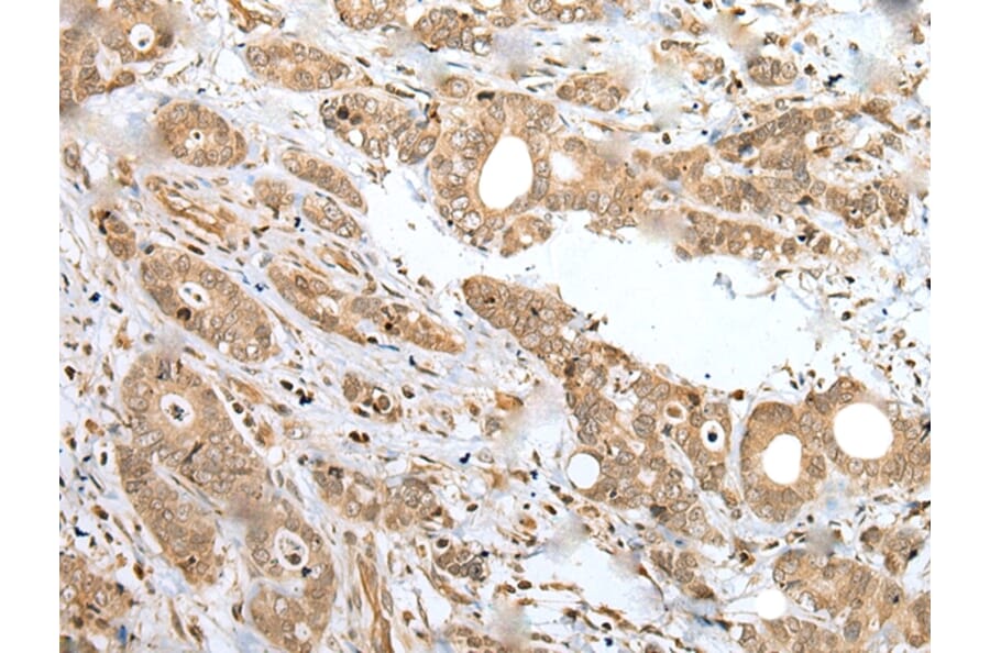
Anti-SPCS2 Antibody (A38246)
Gel: 12% SDS-PAGE Lysate: 40 μg Lane 1-4: Rat lung tissue,HT-29 cell, Mouse adrenal gland tissue and K-562 cell Primary antibody: 1/450 dilution Secondary antibody: Goat anti rabbit IgG at 1/8000 dilution Exposure time: 1 second
Enlarge Image
Immunohistochemistry - Anti-SPCS2 Antibody (A38246)
Immunohistochemical analysis of paraffin-embedded Human gastric cancer tissue using #42942 at dilution 1/35,
Publishing research using Anti-SPCS2 Antibody (A38246)? Please
let us know
so that we can list the citation on this page.
Proteins predicted to interact with SPCS2
Predicted protein interactions based upon String database. Revelancy score correlates with probability of interaction.
SC11A Antibodies
99.7% Relevancy Score
SSR3 Antibodies
80.2% Relevancy Score
SEC61B Antibodies
79% Relevancy Score
ALPL Antibodies
78.7% Relevancy Score
DDOST Antibodies
78.6% Relevancy Score
SEC61A Antibodies
73.3% Relevancy Score
Signal Sequence Receptor delta Antibodies
72.9% Relevancy Score
TRAPA Antibodies
72.5% Relevancy Score
RPL26 Antibodies
72.2% Relevancy Score
Top