ISO 9001:2015 Certified
Live Customer Support
4.5/5 on Trustpilot
100% Quality Guarantee

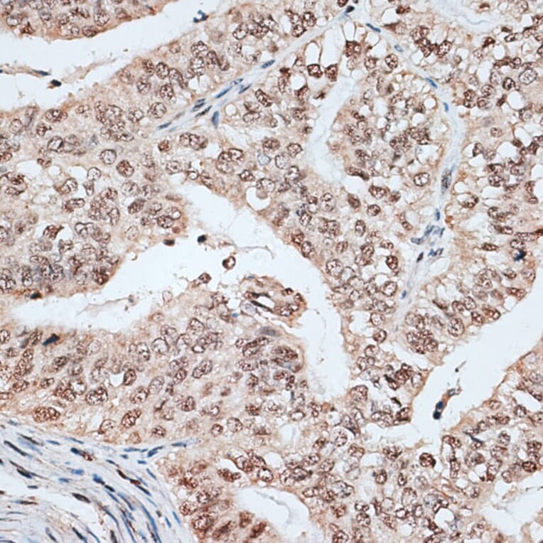
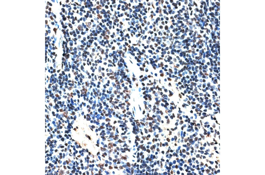
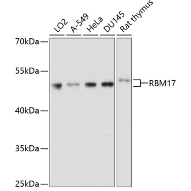
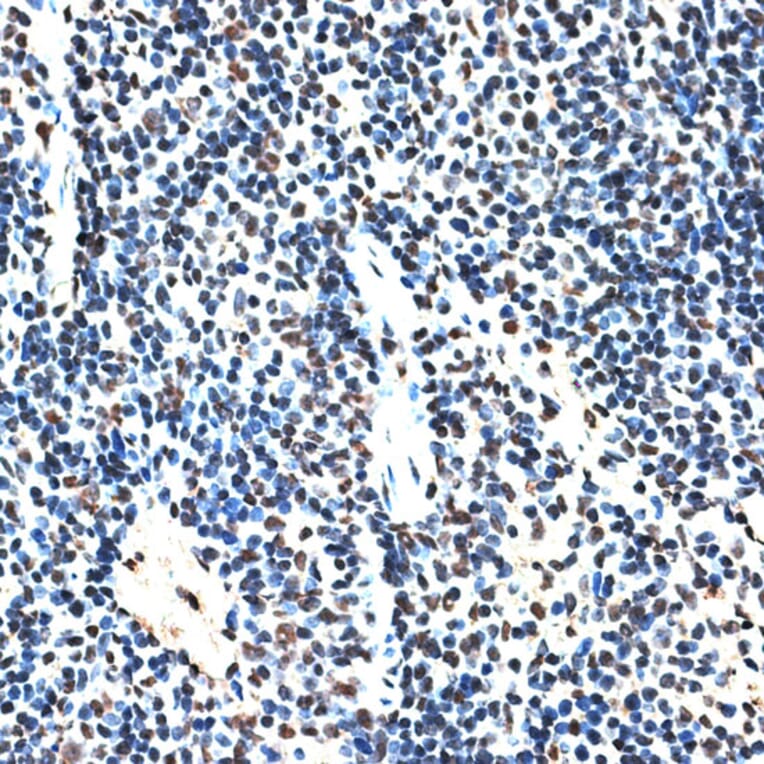
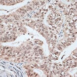
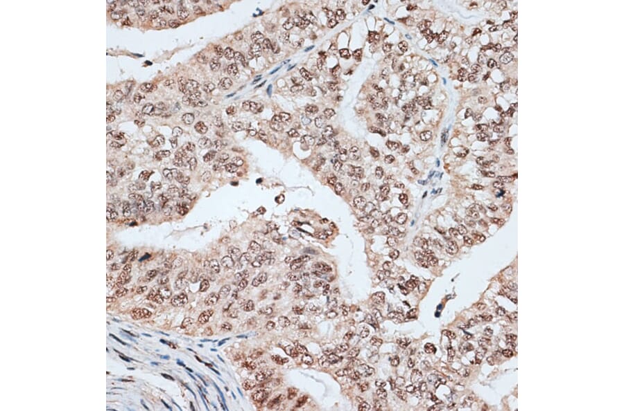
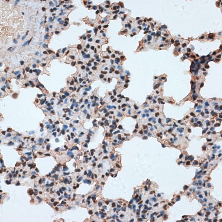
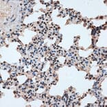
Anti-SPF45 Antibody (A14414)

Rabbit polyclonal antibody to SPF45 for WB and IHC.

Shipping Information

$40
Dispatched from St. Louis, MO.
Lead Time: 7-10 business days.
Name
Anti-SPF45 Antibody
Description
Rabbit polyclonal antibody to SPF45.
Applications
WB, IHC
Dilutions
WB: 1:200-1:2,000, IHC: 1:50-1:200
Reactivity
Human, Mouse, Rat
Immunogen
Recombinant fusion protein containing a sequence corresponding to amino acids 1-240 of human RBM17 (NP_116294.1).
Sequence
MSLYDDLGVETSDSKTEGWSKNFKLLQSQLQVKKAALTQAKSQRTKQSTVLAPVIDLKRGGSSDDRQIVDTPPHVAAGLKDPVPSGFSAGEVLIPLADEYDPMFPNDYEKVVKRQREERQRQRELERQKEIEEREKRRKDRHEASGFARRPDPDSDEDEDYERERRKRSMGGAAIAPPTSLVEKDKELPRDFPYEEDSRPRSQSSKAAIPPPVYEEQDRPRSPTGPSNSFLANMGGTVAH
Host
Rabbit
Clonality
Polyclonal
Isotype
IgG
Conjugate

Unconjugated

Purification
Affinity purification.
Concentration
Lot Specific
Molecular Weight
50 kDa
Product Form
Liquid
Formulation
Supplied in Phosphate Buffered Saline, pH 7.3, with 50% Glycerol and 0.02% Sodium Azide.
Storage
Shipped at 4°C. Upon delivery aliquot and store at -20°C. Avoid freeze/thaw cycles.
Synonyms
45 kDa-splicing factor, RNA-binding motif protein 17, Splicing factor 45
Disclaimer
This product is for research use only. It is not intended for diagnostic or therapeutic use.
Publishing research using Anti-SPF45 Antibody (A14414)? Please let us know so that we can list the citation on this page.

Proteins predicted to interact with RBM17

Predicted protein interactions based upon String database. Revelancy score correlates with probability of interaction.
99.7% Relevancy Score
99.5% Relevancy Score
99.2% Relevancy Score
97.5% Relevancy Score
97.2% Relevancy Score
96.5% Relevancy Score
96% Relevancy Score
95.5% Relevancy Score
94.4% Relevancy Score