ISO 9001:2015 Certified
Live Customer Support
4.5/5 on Trustpilot
100% Quality Guarantee

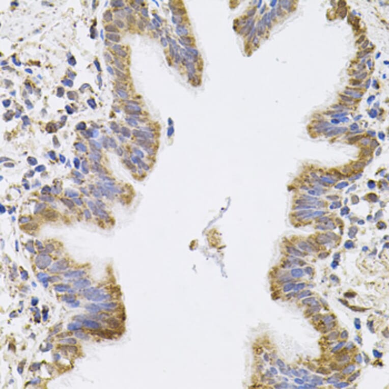
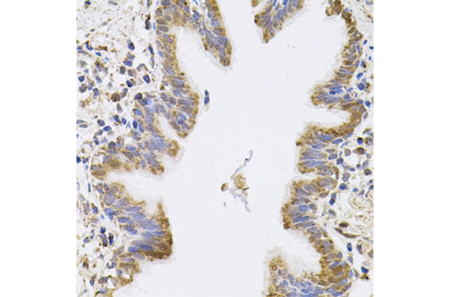
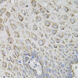
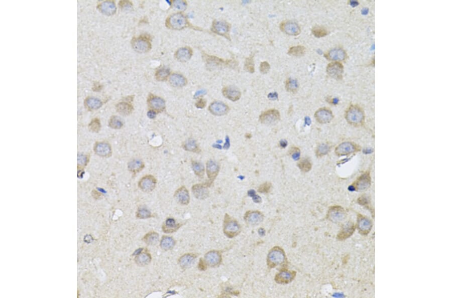
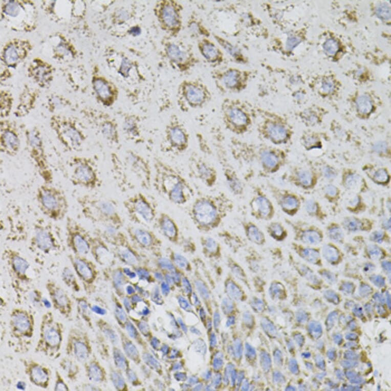
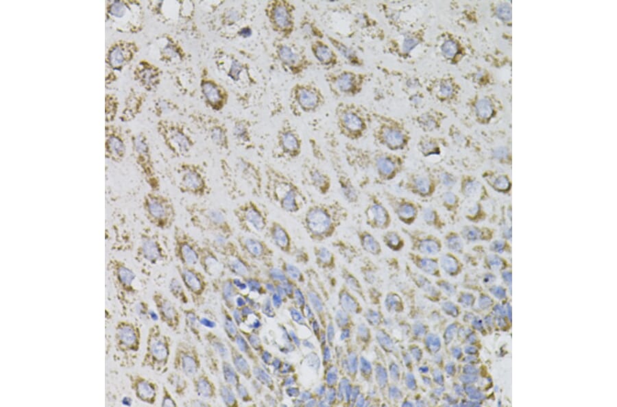
Anti-SPR Antibody (A15981)

This product is discontinued

Anti-SPR Antibody (A15981) has been discontinued and is no longer available.

View all SPR Antibodies.

Name
Anti-SPR Antibody
Description
Rabbit polyclonal antibody to SPR.
Applications
WB, IHC
Dilutions
WB: 1:500-1:2000, IHC: 1:50-1:100
Reactivity
Human, Mouse, Rat, Monkey
Immunogen
A synthetic peptide of human SPR.
Host
Rabbit
Clonality
Polyclonal
Isotype
IgG
Conjugate

Unconjugated

Purification
Affinity purification.
Molecular Weight
28kDa
Formulation
Supplied in Phosphate Buffered Saline, pH 7.30, with 0.02% Sodium Azide and 50% Glycerol.
Storage
Shipped at 4°C. Upon delivery aliquot and store at -20°C. Avoid freeze / thaw cycles.
Synonyms
Sepiapterin reductase
Disclaimer
This product is for research use only. It is not intended for diagnostic or therapeutic use.

Alternative products to Anti-SPR Antibody (A15981)

Proteins predicted to interact with SPR

Predicted protein interactions based upon String database. Revelancy score correlates with probability of interaction.
98.9% Relevancy Score
98.5% Relevancy Score
98.2% Relevancy Score
98.1% Relevancy Score
97.4% Relevancy Score
97.4% Relevancy Score
96.9% Relevancy Score
94.8% Relevancy Score
94.7% Relevancy Score