Primary Antibodies
Secondary Antibodies
Proteins & Peptides
ELISA Kits
About Us
Contact Us
Sign In/Register
0
ISO 9001:2015 Certified
Live Customer Support
4.5/5 on Trustpilot
100% Quality Guarantee
Home
Primary Antibodies
SPRN Antibodies
Anti-SPRN Antibody (A46855)
Anti-SPRN Antibody (A46855)
Overview
Specifications
Images
Enlarge Image
Enlarge Image
$430
Product Datasheet
Rabbit polyclonal antibody to SPRN for IHC.
100% Guarantee
Price Match Guarantee
Product Size:
100µl
Quantity:
1
2
3
4
5
6
7
8
9
10
Add To Cart
Request a Quotation
Custom or Bulk Request
Shipping Information
Freight/Packing Charges:
$40
Dispatched from St. Louis, MO.
Lead Time: 6-9 business days.
Specifications
Name
Anti-SPRN Antibody
Description
Rabbit polyclonal antibody to SPRN
Specificity
The antibody detects endogenous levels of total SPRN protein.
Applications
IHC
Reactivity
Human
Immunogen
Synthetic peptide corresponding to a region derived from internal residues of human shadow of prion protein homolog (zebrafish)
Host
Rabbit
Clonality
Polyclonal
Conjugate
Unconjugated
Purification
Antigen affinity purification.
Concentration
0.6 mg/mL
Formulation
Supplied in PBS, pH 7.3, containing 0.05% sodium azide and 50% glycerol.
Storage
Shipped at 4°C. Upon delivery aliquot and store at -20°C. Avoid freeze/thaw cycles.
Synonyms
Protein shadoo, Shadow of prion protein, SHO
Suitable Secondaries
Goat Anti-Rabbit IgG H&L Antibody (AP) (A294874)
Goat Anti-Rabbit IgG H&L Antibody (Biotin) (A294795)
Goat Anti-Rabbit IgG H&L Antibody (FITC) (A294887)
Goat Anti-Rabbit IgG H&L Antibody (HRP) (A294888)
See all Anti-Rabbit IgG Secondaries →
Disclaimer
This product is for research use only. It is not intended for diagnostic or therapeutic use.
Scientific Validation Data
Validation Data
(2)
Enlarge Image
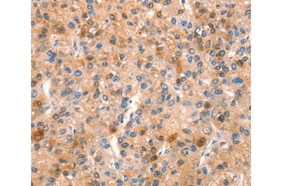
Immunohistochemistry - Anti-SPRN Antibody (A46855)
Immunohistochemical analysis of paraffin-embedded Human thyroid cancer tissue using #37026 at dilution 1/15.
Enlarge Image
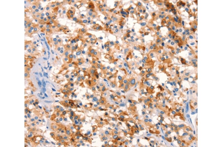
Immunohistochemistry - Anti-SPRN Antibody (A46855)
Immunohistochemical analysis of paraffin-embedded Human liver cancer tissue using #37026 at dilution 1/15.
Publishing research using Anti-SPRN Antibody (A46855)? Please
let us know
so that we can list the citation on this page.
Proteins predicted to interact with SPRN
Predicted protein interactions based upon String database. Revelancy score correlates with probability of interaction.
PrP Antibodies
87.7% Relevancy Score
GTPBP4 Antibodies
71.5% Relevancy Score
SYCE1 Antibodies
52.9% Relevancy Score
Calreticulin Antibodies
48.9% Relevancy Score
ECHS1 Antibodies
48.3% Relevancy Score
MSMB Antibodies
47% Relevancy Score
ALPPL2 Antibodies
41.3% Relevancy Score
Alkaline Phosphatase Antibodies
40.8% Relevancy Score
ALPL Antibodies
40% Relevancy Score
Top