ISO 9001:2015 Certified
Live Customer Support
4.5/5 on Trustpilot
100% Quality Guarantee

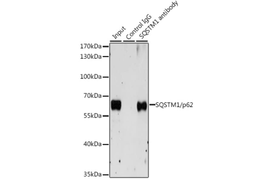
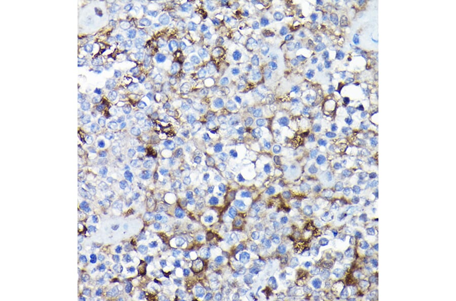
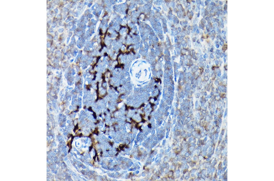
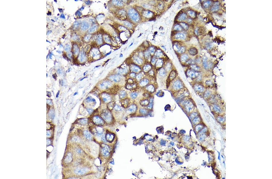
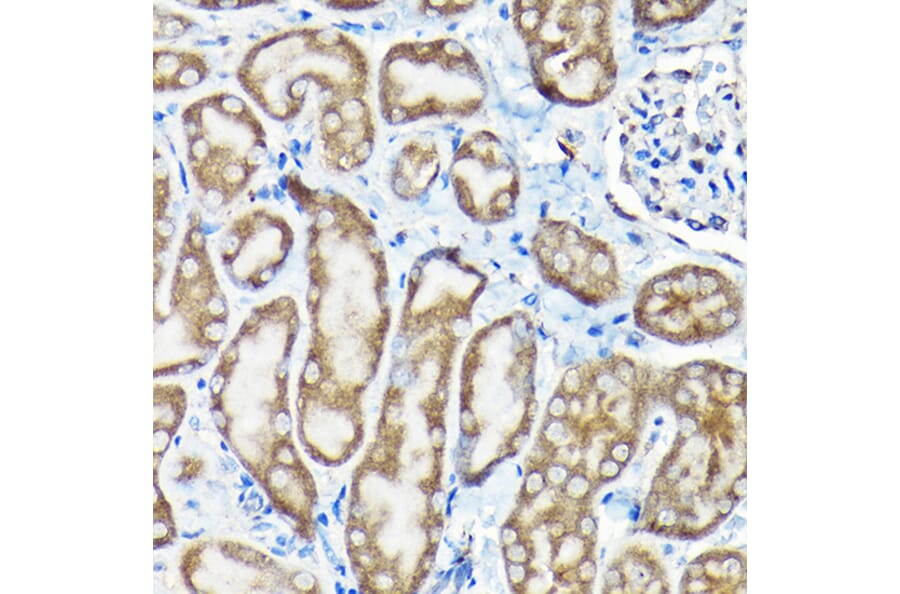
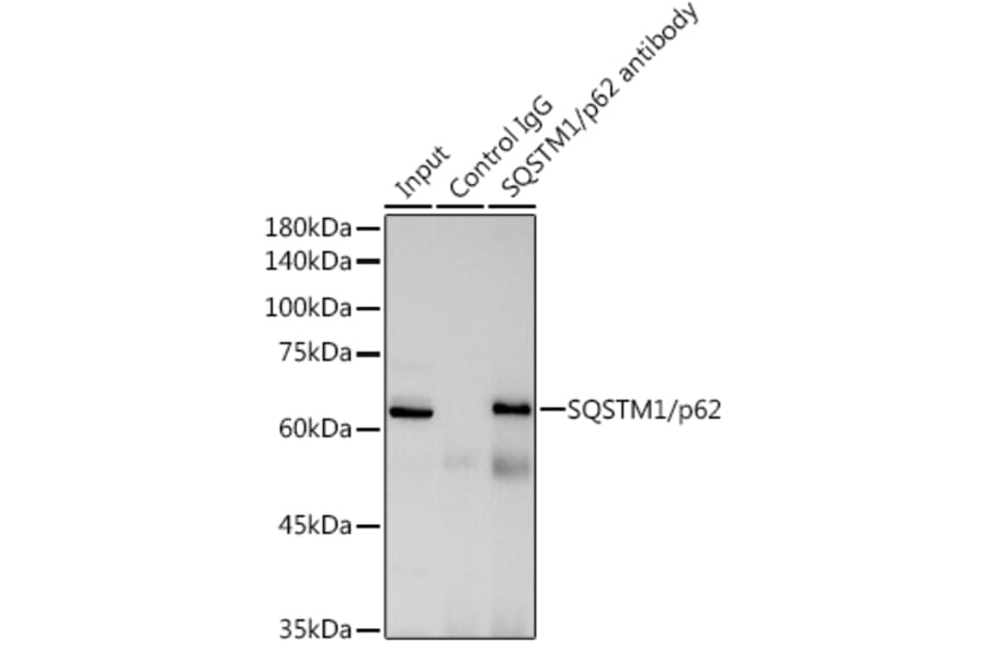
Anti-SQSTM1 / p62 Antibody (A309479)

Name
Anti-SQSTM1 / p62 Antibody
Description
Rabbit polyclonal antibody to SQSTM1 / p62.
Applications
WB, IHC, ICC/IF, IP
Dilutions
WB: 1:2,000-1:4,000, IHC: 1:50-1:200, ICC/IF: 1:50-1:200, IP: 1:500-1:1,000
Reactivity
Human, Mouse, Rat
Immunogen
Recombinant protein of human SQSTM1/p62.
Host
Rabbit
Clonality
Polyclonal
Isotype
IgG
Conjugate

Unconjugated

Purification
Affinity purification.
Molecular Weight
62 kDa
Product Form
Liquid
Formulation
Supplied in Phosphate Buffered Saline, pH 7.3, with 50% Glycerol and 0.05% Proclin 300.
Storage
Shipped at 4°C. Upon delivery aliquot and store at -20°C. Avoid freeze / thaw cycles.
Synonyms
A170, DMRV, EBI 3 associated protein of 60 kDa, EBI 3 associated protein p60, EBI3 associated protein of 60 kDa, EBI3 associated protein p60, EBI3-associated protein of 60 kDa, EBIAP, FTDALS3, MGC127197, ORCA, OSF-6, Osi, OSIL, Oxidative stress induced like, p60, p62, p62B, Paget disease of bone 3, PDB 3, PDB3, Phosphotyrosine independent ligand for the Lck SH2 domain of 62 kDa, Phosphotyrosine independent ligand for the Lck SH2 domain p62, Phosphotyrosine-independent ligand for the Lck SH2 domain of 62 kDa, PKC-zeta-interacting protein, Protein kinase C-zeta-interacting protein, Sequestosome 1, Sequestosome-1, SQSTM 1, Sqstm1, SQSTM_HUMAN, STAP, STONE14, Ubiquitin binding protein p62, Ubiquitin-binding protein p62, ZIP, ZIP 3, ZIP3
Disclaimer
This product is for research use only. It is not intended for diagnostic or therapeutic use.

Alternative products to Anti-SQSTM1 / p62 Antibody (A309479)