ISO 9001:2015 Certified
Live Customer Support
4.5/5 on Trustpilot
100% Quality Guarantee

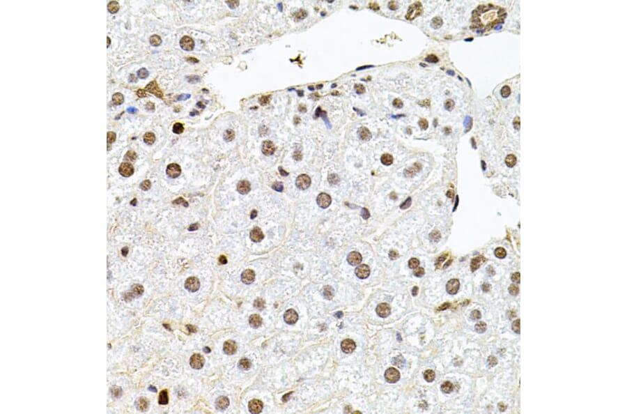
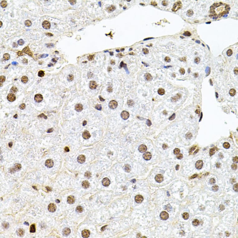
Anti-SR140 Antibody (A14434)

Rabbit polyclonal antibody to SR140 for WB, IHC and ICC/IF.

Shipping Information

$40
Dispatched from St. Louis, MO.
Lead Time: 7-10 business days.
Name
Anti-SR140 Antibody
Description
Rabbit polyclonal antibody to SR140.
Applications
WB, IHC, ICC/IF
Dilutions
WB: 1:500-1:2,000, IHC: 1:20-1:200, ICC/IF: 1:50-1:200
Reactivity
Human, Mouse, Rat
Immunogen
Recombinant fusion protein containing a sequence corresponding to amino acids 705-1029 of human U2SURP (NP_001073884.1).
Sequence
GAPLEDVDGIPIDATPIDDLDGVPIKSLDDDLDGVPLDATEDSKKNEPIFKVAPSKWEAVDESELEAQAVTTSKWELFDQHEESEEEENQNQEEESEDEEDTQSSKSEEHHLYSNPIKEEMTESKFSKYSEMSEEKRAKLREIELKVMKFQDELESGKRPKKPGQSFQEQVEHYRDKLLQREKEKELERERERDKKDKEKLESRSKDKKEKDECTPTRKERKRRHSTSPSPSRSSSGRRVKSPSPKSERSERSERSHKESSRSRSSHKDSPRDVSKKAKRSPSGSRTPKRSRRSRSRSPKKSGKKSRSQSRSPHRSHKKSKKNKH
Host
Rabbit
Clonality
Polyclonal
Isotype
IgG
Conjugate

Unconjugated

Purification
Affinity purification.
Concentration
Lot Specific
Molecular Weight
140 kDa
Product Form
Liquid
Formulation
Supplied in Phosphate Buffered Saline, pH 7.3, with 50% Glycerol and 0.02% Sodium Azide.
Storage
Shipped at 4°C. Upon delivery aliquot and store at -20°C. Avoid freeze/thaw cycles.
Synonyms
140 kDa Ser/Arg-rich domain protein, KIAA0332, U2 snRNP-associated SURP motif-containing protein, U2-associated protein SR140, U2SURP
Disclaimer
This product is for research use only. It is not intended for diagnostic or therapeutic use.
Publishing research using Anti-SR140 Antibody (A14434)? Please let us know so that we can list the citation on this page.

Proteins predicted to interact with SR140

Predicted protein interactions based upon String database. Revelancy score correlates with probability of interaction.
99.5% Relevancy Score
99.5% Relevancy Score
93.4% Relevancy Score
92.7% Relevancy Score
91.8% Relevancy Score
90.8% Relevancy Score
88.6% Relevancy Score
88.4% Relevancy Score
86.5% Relevancy Score