ISO 9001:2015 Certified
Live Customer Support
4.5/5 on Trustpilot
100% Quality Guarantee

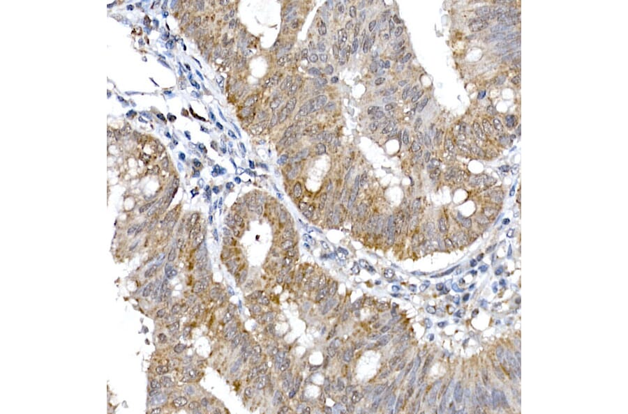
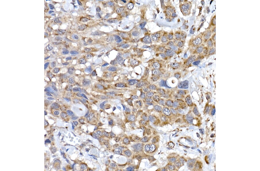
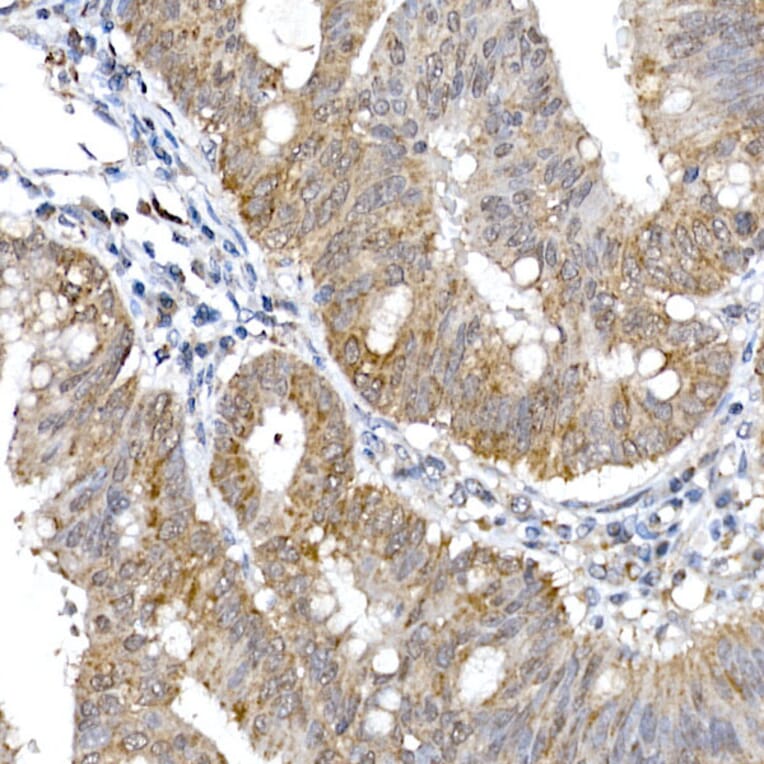
Anti-SRP72 Antibody (A13127)

Rabbit polyclonal antibody to SRP72 for WB, IHC and ICC/IF.

Shipping Information

$40
Dispatched from St. Louis, MO.
Lead Time: 7-10 business days.
Name
Anti-SRP72 Antibody
Description
Rabbit polyclonal antibody to SRP72.
Applications
WB, IHC, ICC/IF
Dilutions
WB: 1:500-1:1,000, IHC: 1:50-1:200, ICC/IF: 1:50-1:200
Reactivity
Human, Mouse, Rat
Immunogen
Recombinant fusion protein containing a sequence corresponding to amino acids 440-544 of human SRP72 (NP_008878.3).
Sequence
QPKSPAHLSLIREAANFKLKYGRKKEAISDLQQLWKQNPKDIHTLAQLISAYSLVDPEKAKALSKHLPSSDSMSLKVDVEALENSAGATYIRKKGGKVTGDSQPK
Host
Rabbit
Clonality
Polyclonal
Isotype
IgG
Conjugate

Unconjugated

Purification
Affinity purification.
Concentration
Lot Specific
Molecular Weight
72 kDa
Product Form
Liquid
Formulation
Supplied in Phosphate Buffered Saline, pH 7.3, with 50% Glycerol and 0.05% Proclin 300.
Storage
Shipped at 4°C. Upon delivery aliquot and store at -20°C. Avoid freeze/thaw cycles.
Synonyms
Signal recognition particle 72 kDa protein, Signal recognition particle subunit SRP72
Disclaimer
This product is for research use only. It is not intended for diagnostic or therapeutic use.
Publishing research using Anti-SRP72 Antibody (A13127)? Please let us know so that we can list the citation on this page.

Alternative products to Anti-SRP72 Antibody (A13127)

Proteins predicted to interact with SRP72

Predicted protein interactions based upon String database. Revelancy score correlates with probability of interaction.
99.9% Relevancy Score
99.9% Relevancy Score
99.9% Relevancy Score
99.9% Relevancy Score
99.9% Relevancy Score
98.7% Relevancy Score
97.7% Relevancy Score
93.6% Relevancy Score
91.4% Relevancy Score