Primary Antibodies
Secondary Antibodies
Proteins & Peptides
ELISA Kits
About Us
Contact Us
Sign In/Register
0
ISO 9001:2015 Certified
Live Customer Support
4.5/5 on Trustpilot
100% Quality Guarantee
Home
Primary Antibodies
SRPK1 Antibodies
Anti-SRPK1 Antibody (A38224)
Anti-SRPK1 Antibody (A38224)
Overview
Specifications
Images
Enlarge Image
Enlarge Image
Enlarge Image
$405
Rabbit polyclonal antibody to SRPK1 for WB and IHC.
100% Guarantee
Price Match Guarantee
Product Size:
100µl
Quantity:
1
2
3
4
5
6
7
8
9
10
Add To Cart
Request a Quotation
Custom or Bulk Request
Shipping Information
Freight/Packing Charges:
$40
Dispatched from St. Louis, MO.
Lead Time: 6-9 business days.
Specifications
Name
Anti-SRPK1 Antibody
Description
Rabbit polyclonal antibody to SRPK1
Specificity
The antibody detects endogenous levels of total SRPK1 protein.
Applications
WB
,
IHC
Reactivity
Human
Immunogen
Fusion protein of human SRPK1
Host
Rabbit
Clonality
Polyclonal
Conjugate
Unconjugated
Purification
Antigen affinity purification.
Concentration
2.5mg / ml
Formulation
Rabbit IgG in pH7.4 PBS, 0.05% NaN3, 40% Glycerol.
Storage
Store at -20˚C
Synonyms
Serine/arginine-rich protein-specific kinase 1, SFRS protein kinase 1, SR-protein-specific kinase 1, SRSF protein kinase 1
Suitable Secondaries
Goat Anti-Rabbit IgG H&L Antibody (AP) (A294874)
Goat Anti-Rabbit IgG H&L Antibody (Biotin) (A294795)
Goat Anti-Rabbit IgG H&L Antibody (FITC) (A294887)
Goat Anti-Rabbit IgG H&L Antibody (HRP) (A294888)
See all Anti-Rabbit IgG Secondaries →
Disclaimer
This product is for research use only. It is not intended for diagnostic or therapeutic use.
Scientific Validation Data
Validation Data
(3)
Enlarge Image
Anti-SRPK1 Antibody (A38224)
Gel: 6%SDS-PAGE Lysate: 40 μg Lane: Huvec cells Primary antibody: 1/600 dilution Secondary antibody: Goat anti rabbit IgG at 1/8000 dilution Exposure time: 2 minutes
Enlarge Image
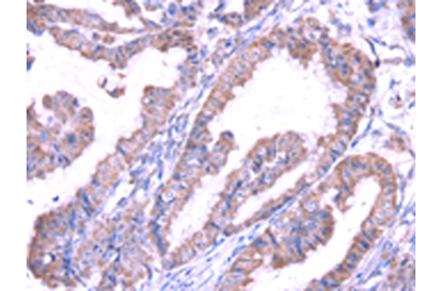
Immunohistochemistry - Anti-SRPK1 Antibody (A38224)
Immunohistochemical analysis of paraffin-embedded Human liver cancer tissue using #42755 at dilution 1/45.
Enlarge Image
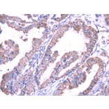
Immunohistochemistry - Anti-SRPK1 Antibody (A38224)
Immunohistochemical analysis of paraffin-embedded Human oesophagus cancer tissue using #42755 at dilution 1/45.
Publishing research using Anti-SRPK1 Antibody (A38224)? Please
let us know
so that we can list the citation on this page.
Alternative products to Anti-SRPK1 Antibody (A38224)
A51109
Anti-SRPK1 (Phospho-Thr601) Antibody
Rabbit Polycolonal antibody to SRPK1 (Phospho-Thr601) for WB.
A97205
Anti-SRPK1 Antibody
Rabbit polyclonal antibody to SRPK1 for WB and ELISA.
A97206
Anti-SRPK1 Antibody
Rabbit polyclonal antibody to SRPK1 for WB and ELISA.
A37673
Anti-SRPK1 Antibody
Rabbit polyclonal antibody to SRPK1 for WB and IHC.
A51109
Anti-SRPK1 (Phospho-Thr601) Antibody
Rabbit Polycolonal antibody to SRPK1 (Phospho-Thr601) for WB.
A97205
Anti-SRPK1 Antibody
Rabbit polyclonal antibody to SRPK1 for WB and ELISA.
A97206
Anti-SRPK1 Antibody
Rabbit polyclonal antibody to SRPK1 for WB and ELISA.
A37673
Anti-SRPK1 Antibody
Rabbit polyclonal antibody to SRPK1 for WB and IHC.
Proteins predicted to interact with SRPK1
Predicted protein interactions based upon String database. Revelancy score correlates with probability of interaction.
SF2 Antibodies
99.9% Relevancy Score
SFRS5 Antibodies
99% Relevancy Score
SFRS4 Antibodies
98% Relevancy Score
SRSF3 Antibodies
97.5% Relevancy Score
SFRS7 Antibodies
96.5% Relevancy Score
SNRP70 Antibodies
93.9% Relevancy Score
U2AF35 Antibodies
93.3% Relevancy Score
SFRS2B Antibodies
93.3% Relevancy Score
U2AF65 Antibodies
91.5% Relevancy Score
Top