Primary Antibodies
Secondary Antibodies
Proteins & Peptides
ELISA Kits
About Us
Contact Us
Sign In/Register
0
ISO 9001:2015 Certified
Live Customer Support
4.5/5 on Trustpilot
100% Quality Guarantee
Home
Primary Antibodies
STK23 Antibodies
Anti-SRPK3 Antibody (A38178)
Anti-SRPK3 Antibody (A38178)
Overview
Specifications
Images
Enlarge Image
Enlarge Image
$405
Rabbit polyclonal antibody to SRPK3 for WB and IHC.
100% Guarantee
Price Match Guarantee
Product Size:
100µl
Quantity:
1
2
3
4
5
6
7
8
9
10
Add To Cart
Request a Quotation
Custom or Bulk Request
Shipping Information
Freight/Packing Charges:
$40
Dispatched from St. Louis, MO.
Lead Time: 6-9 business days.
Specifications
Name
Anti-SRPK3 Antibody
Description
Rabbit polyclonal antibody to SRPK3
Specificity
The antibody detects endogenous levels of total SRPK3 protein.
Applications
WB
,
IHC
Reactivity
Human
Immunogen
Fusion protein corresponding to residues near the C terminal of human SRSF protein kinase 3
Host
Rabbit
Clonality
Polyclonal
Conjugate
Unconjugated
Purification
Antigen affinity purification.
Concentration
1.2 mg/ml
Formulation
Rabbit IgG in pH7.4 PBS, 0.05% NaN3, 40% Glycerol.
Storage
Store at -20˚C
Synonyms
MSSK-1, MSSK1, Muscle-specific serine kinase 1, Serine/arginine-rich protein-specific kinase 3, Serine/threonine-protein kinase 23, SR-protein-specific kinase 3, SRSF protein kinase 3
Suitable Secondaries
Goat Anti-Rabbit IgG H&L Antibody (AP) (A294874)
Goat Anti-Rabbit IgG H&L Antibody (Biotin) (A294795)
Goat Anti-Rabbit IgG H&L Antibody (FITC) (A294887)
Goat Anti-Rabbit IgG H&L Antibody (HRP) (A294888)
See all Anti-Rabbit IgG Secondaries →
Disclaimer
This product is for research use only. It is not intended for diagnostic or therapeutic use.
Scientific Validation Data
Validation Data
(2)
Enlarge Image
Anti-SRPK3 Antibody (A38178)
Gel: 8% SDS-PAGE Lysate: 40ug Human thyroid cancer tissue. Primary antibody: 1/300 dilution Secondary antibody dilution: 1/8000Exposure time: 3 minutes
Enlarge Image
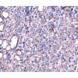
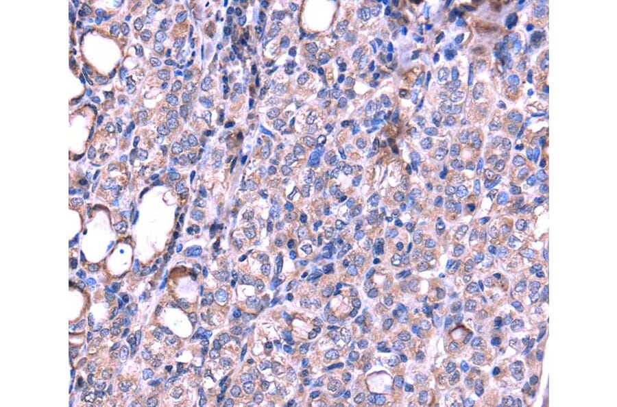
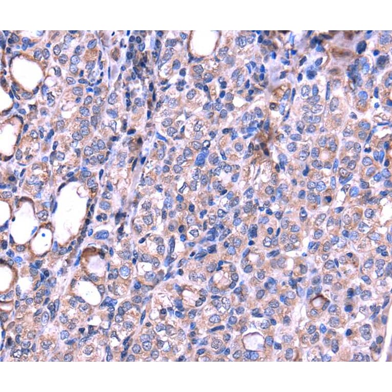
Immunohistochemistry - Anti-SRPK3 Antibody (A38178)
Immunohistochemical analysis of paraffin-embedded Human thyroid cancer tissue using #40122 at dilution 1/20.
Publishing research using Anti-SRPK3 Antibody (A38178)? Please
let us know
so that we can list the citation on this page.
Alternative products to Anti-SRPK3 Antibody (A38178)
A97204
Anti-SRPK3 Antibody
Rabbit polyclonal antibody to SRPK3 for WB and ELISA.
A97203
Anti-SRPK3 Antibody
Rabbit polyclonal antibody to SRPK3 for WB and ELISA.
A97204
Anti-SRPK3 Antibody
Rabbit polyclonal antibody to SRPK3 for WB and ELISA.
A97203
Anti-SRPK3 Antibody
Rabbit polyclonal antibody to SRPK3 for WB and ELISA.
Proteins predicted to interact with STK23
Predicted protein interactions based upon String database. Revelancy score correlates with probability of interaction.
CDC5L Antibodies
80.1% Relevancy Score
SFRS5 Antibodies
70.8% Relevancy Score
SFRS4 Antibodies
70.7% Relevancy Score
U2AF65 Antibodies
62.8% Relevancy Score
SF2 Antibodies
62.2% Relevancy Score
SNRP70 Antibodies
60.7% Relevancy Score
EBNA1 Binding Protein 2 Antibodies
59.1% Relevancy Score
HCC1 Antibodies
55.2% Relevancy Score
PRPF4B Antibodies
52.5% Relevancy Score
Top