Primary Antibodies
Secondary Antibodies
Proteins & Peptides
ELISA Kits
About Us
Contact Us
Sign In/Register
0
ISO 9001:2015 Certified
Live Customer Support
4.5/5 on Trustpilot
100% Quality Guarantee
Home
Primary Antibodies
SRPX2 Antibodies
Anti-SRPX2 Antibody (A48020)
Anti-SRPX2 Antibody (A48020)
Overview
Specifications
Images
Enlarge Image
Enlarge Image
$780
Product Datasheet
Rabbit polyclonal antibody to SRPX2 for ELISA, WB and IHC.
100% Guarantee
Price Match Guarantee
Product Size:
100µl
Quantity:
1
2
3
4
5
6
7
8
9
10
Add To Cart
Request a Quotation
Custom or Bulk Request
Shipping Information
Freight/Packing Charges:
$40
Dispatched from St. Louis, MO.
Lead Time: 6-9 business days.
Specifications
Name
Anti-SRPX2 Antibody
Description
Rabbit polyclonal antibody to SRPX2
Applications
ELISA
,
WB
,
IHC
Reactivity
Human, Mouse, Rat
Immunogen
Raised against a 16 amino acid peptide from near the amino terminus of human SRPX2.
Host
Rabbit
Clonality
Polyclonal
Conjugate
Unconjugated
Purification
Affinity chromatography purified via peptide column
Formulation
Supplied in phosphate-buffered saline with 0.02% Sodium Azide.
Storage
Shipped at 4°C. Upon delivery aliquot and store at -20°C. Avoid freeze/thaw cycles.
Synonyms
SRPUL, Sushi repeat-containing protein SRPX2, Sushi-repeat protein upregulated in leukemia
Suitable Secondaries
Goat Anti-Rabbit IgG H&L Antibody (AP) (A294874)
Goat Anti-Rabbit IgG H&L Antibody (Biotin) (A294795)
Goat Anti-Rabbit IgG H&L Antibody (FITC) (A294887)
Goat Anti-Rabbit IgG H&L Antibody (HRP) (A294888)
See all Anti-Rabbit IgG Secondaries →
Disclaimer
This product is for research use only. It is not intended for diagnostic or therapeutic use.
Scientific Validation Data
Validation Data
(2)
Enlarge Image
Anti-SRPX2 Antibody (A48020)
Western blot analysis of SRPX2 in human lung tissue lysate with SRPX2 antibody at (A) 1 and (B) 2 µg/mL.
Enlarge Image
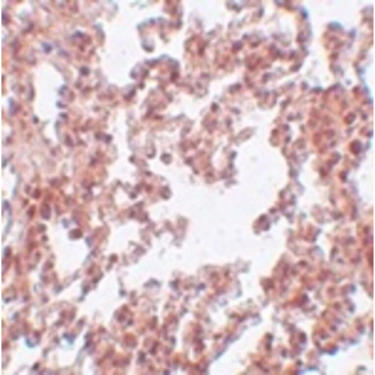
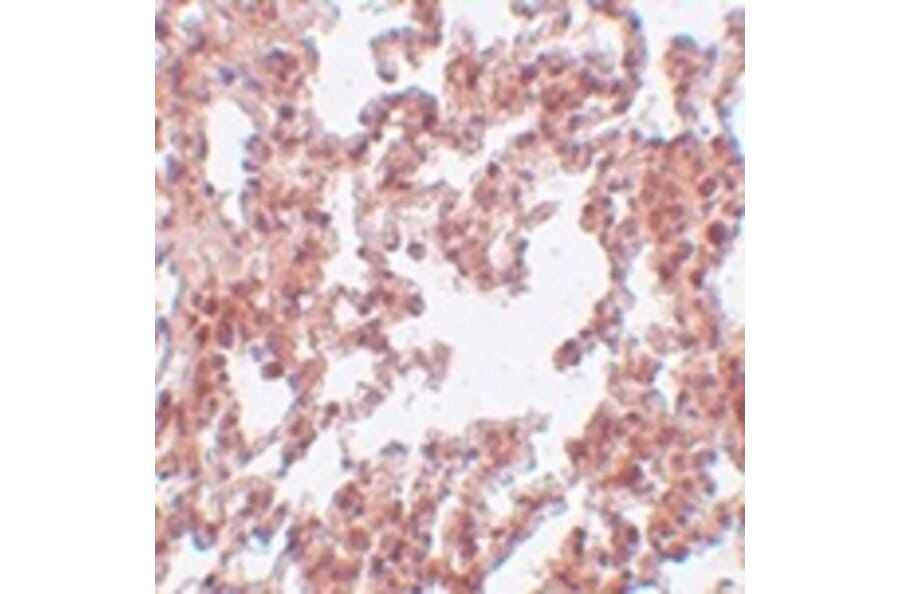
Immunohistochemistry - Anti-SRPX2 Antibody (A48020)
Immunohistochemistry of SRPX2 in rat lung tissue with SRPX2 antibody at 5 µg/mL.
Publishing research using Anti-SRPX2 Antibody (A48020)? Please
let us know
so that we can list the citation on this page.
Alternative products to Anti-SRPX2 Antibody (A48020)
A54779
Anti-SRPX2 Antibody
Rabbit polyclonal antibody to SRPX2 for ELISA, IHC, IP and WB.
A54779
Anti-SRPX2 Antibody
Rabbit polyclonal antibody to SRPX2 for ELISA, IHC, IP and WB.
Proteins predicted to interact with SRPX2
Predicted protein interactions based upon String database. Revelancy score correlates with probability of interaction.
uPAR Antibodies
88% Relevancy Score
ANXA8 Antibodies
82.7% Relevancy Score
HLF Antibodies
76% Relevancy Score
uPA Antibodies
74.1% Relevancy Score
E2A Antibodies
70.6% Relevancy Score
ADAMTS4 Antibodies
70.2% Relevancy Score
TLE2 Antibodies
66.7% Relevancy Score
DBP Antibodies
64% Relevancy Score
CX3CL1 Antibodies
59.6% Relevancy Score
Top