ISO 9001:2015 Certified
Live Customer Support
4.5/5 on Trustpilot
100% Quality Guarantee

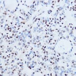
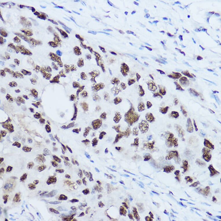
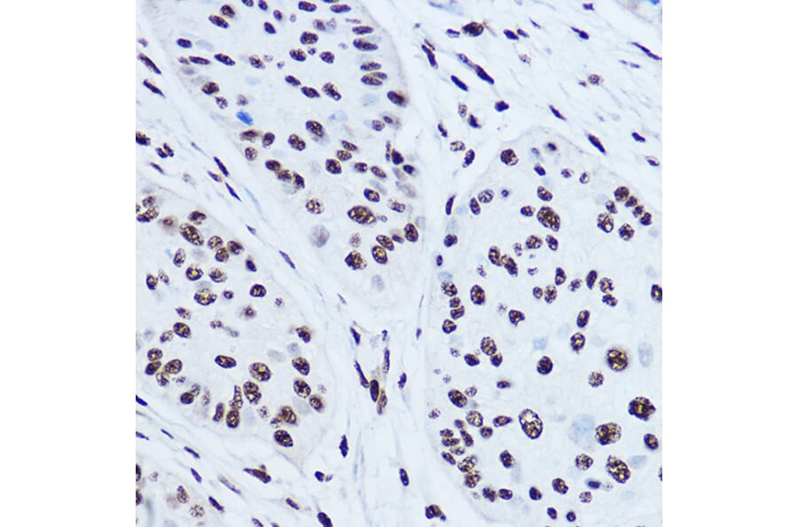
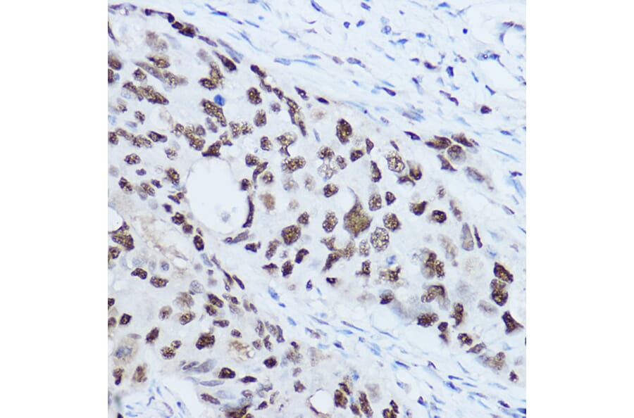
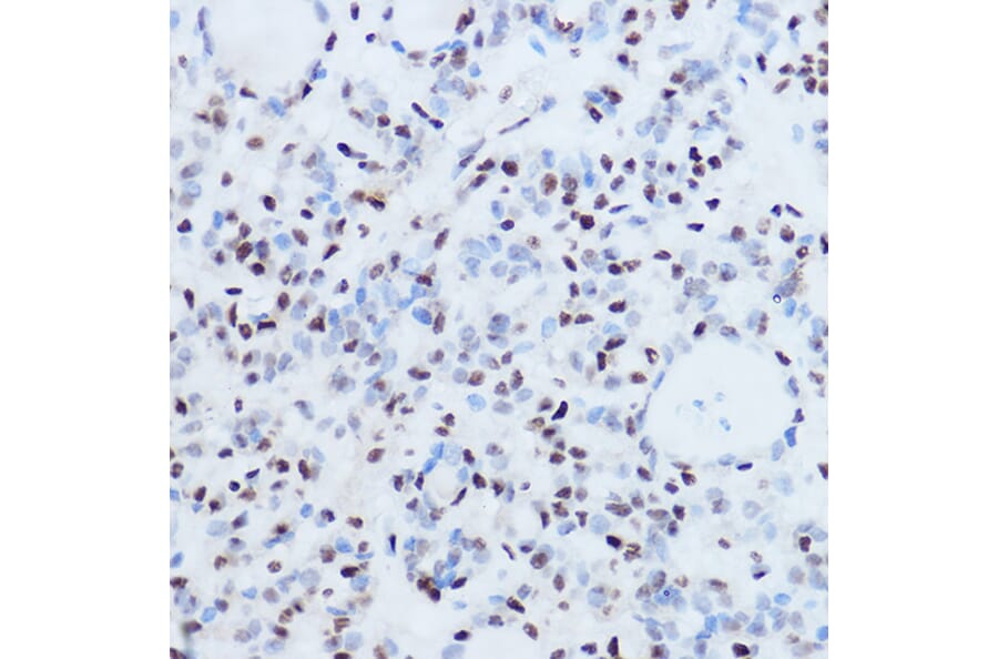
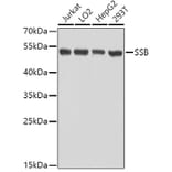
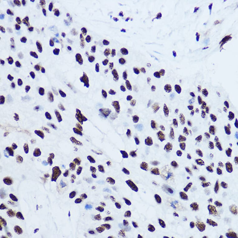
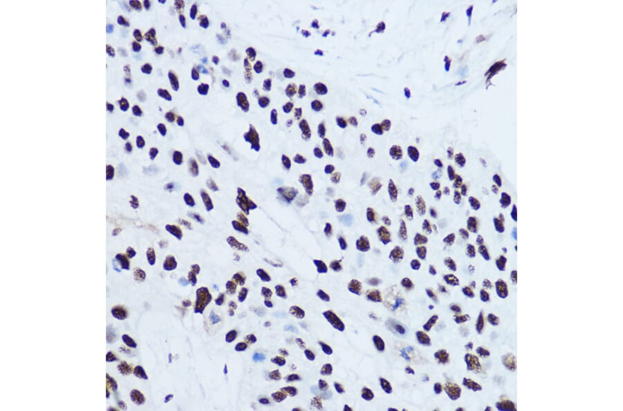
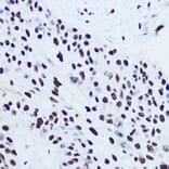
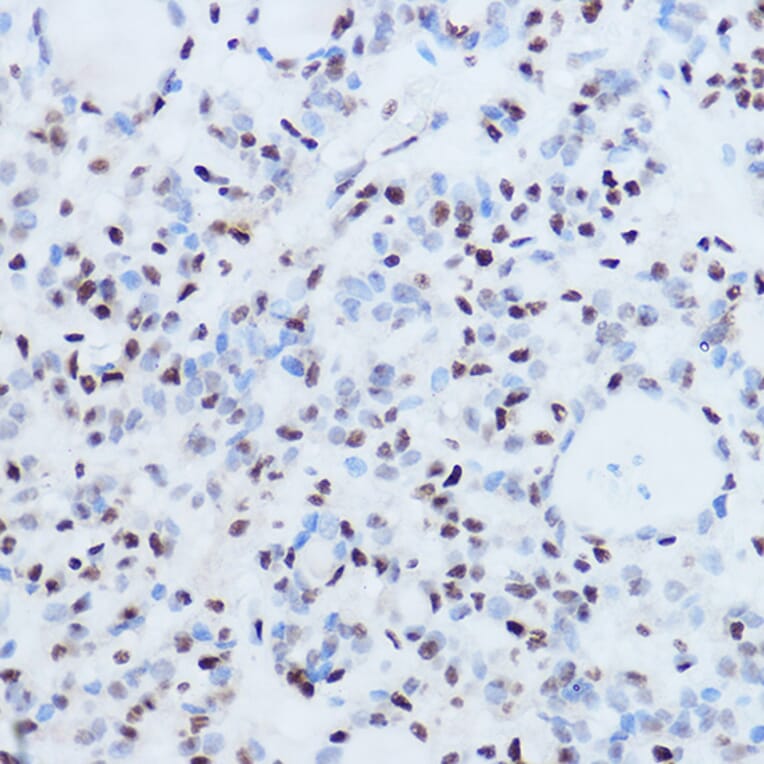
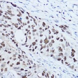
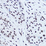
Anti-SSB Antibody (A8443)

Rabbit polyclonal antibody to SSB for WB, IHC, ICC/IF and IP.

Shipping Information

$40
Dispatched from St. Louis, MO.
Lead Time: 7-10 business days.
Name
Anti-SSB Antibody
Description
Rabbit polyclonal antibody to SSB.
Applications
WB, IHC, ICC/IF, IP
Dilutions
WB: 1:500-1:1,000, IHC: 1:100-1:500, ICC/IF: 1:50-1:200, IP: 1:500-1:1,000
Reactivity
Human
Immunogen
Recombinant fusion protein containing a sequence corresponding to amino acids 166-408 of human SSB (NP_003133.1).
Sequence
KFVETPGQKYKETDLLILFKDDYFAKKNEERKQNKVEAKLRAKQEQEAKQKLEEDAEMKSLEEKIGCLLKFSGDLDDQTCREDLHILFSNHGEIKWIDFVRGAKEGIILFKEKAKEALGKAKDANNGNLQLRNKEVTWEVLEGEVEKEALKKIIEDQQESLNKWKSKGRRFKGKGKGNKAAQPGSGKGKVQFQGKKTKFASDDEHDEHDENGATGPVKRAREETDKEEPASKQQKTENGAGDQ
Host
Rabbit
Clonality
Polyclonal
Isotype
IgG
Conjugate

Unconjugated

Purification
Affinity purification.
Concentration
Lot Specific
Molecular Weight
47 kDa
Product Form
Liquid
Formulation
Supplied in Phosphate Buffered Saline, pH 7.3, with 50% Glycerol and 0.02% Sodium Azide.
Storage
Shipped at 4°C. Upon delivery aliquot and store at -20°C. Avoid freeze/thaw cycles.
Synonyms
La autoantigen, La ribonucleoprotein, Lupus La protein, Sjoegren syndrome type B antigen, SS-B
Disclaimer
This product is for research use only. It is not intended for diagnostic or therapeutic use.
Publishing research using Anti-SSB Antibody (A8443)? Please let us know so that we can list the citation on this page.

Alternative products to Anti-SSB Antibody (A8443)

Proteins predicted to interact with SSB

Predicted protein interactions based upon String database. Revelancy score correlates with probability of interaction.
99.7% Relevancy Score
96.8% Relevancy Score
92.7% Relevancy Score
90.3% Relevancy Score
88% Relevancy Score
86.1% Relevancy Score
84.6% Relevancy Score
84.5% Relevancy Score
84.4% Relevancy Score