Primary Antibodies
Secondary Antibodies
Proteins & Peptides
ELISA Kits
About Us
Contact Us
Sign In/Register
0
ISO 9001:2015 Certified
Live Customer Support
4.5/5 on Trustpilot
100% Quality Guarantee
Home
Primary Antibodies
ST14 Antibodies
Anti-ST14 Antibody (A46713)
Anti-ST14 Antibody (A46713)
Overview
Specifications
Images
Enlarge Image
Enlarge Image
$430
Product Datasheet
Rabbit polyclonal antibody to ST14 for IHC.
100% Guarantee
Price Match Guarantee
Product Size:
100µl
Quantity:
1
2
3
4
5
6
7
8
9
10
Add To Cart
Request a Quotation
Custom or Bulk Request
Shipping Information
Freight/Packing Charges:
$40
Dispatched from St. Louis, MO.
Lead Time: 6-9 business days.
Specifications
Name
Anti-ST14 Antibody
Description
Rabbit polyclonal antibody to ST14
Specificity
The antibody detects endogenous levels of total ST14 protein.
Applications
IHC
Reactivity
Human
Immunogen
Fusion protein corresponding to a region derived from internal residues of human suppression of tumorigenicity 14 (colon carcinoma)
Host
Rabbit
Clonality
Polyclonal
Conjugate
Unconjugated
Purification
Antigen affinity purification.
Concentration
3.1 mg/mL
Formulation
Supplied in PBS, pH 7.3, containing 0.05% sodium azide and 50% glycerol.
Storage
Shipped at 4°C. Upon delivery aliquot and store at -20°C. Avoid freeze/thaw cycles.
Synonyms
Matriptase, Membrane-type serine protease 1, MT-SP1, Prostamin, PRSS14, Serine protease 14, Serine protease TADG-15, SNC19, Suppressor of tumorigenicity 14 protein, TADG15, Tumor-associated differentially-expressed gene 15 protein
Suitable Secondaries
Goat Anti-Rabbit IgG H&L Antibody (AP) (A294874)
Goat Anti-Rabbit IgG H&L Antibody (Biotin) (A294795)
Goat Anti-Rabbit IgG H&L Antibody (FITC) (A294887)
Goat Anti-Rabbit IgG H&L Antibody (HRP) (A294888)
See all Anti-Rabbit IgG Secondaries →
Disclaimer
This product is for research use only. It is not intended for diagnostic or therapeutic use.
Scientific Validation Data
Validation Data
(2)
Enlarge Image
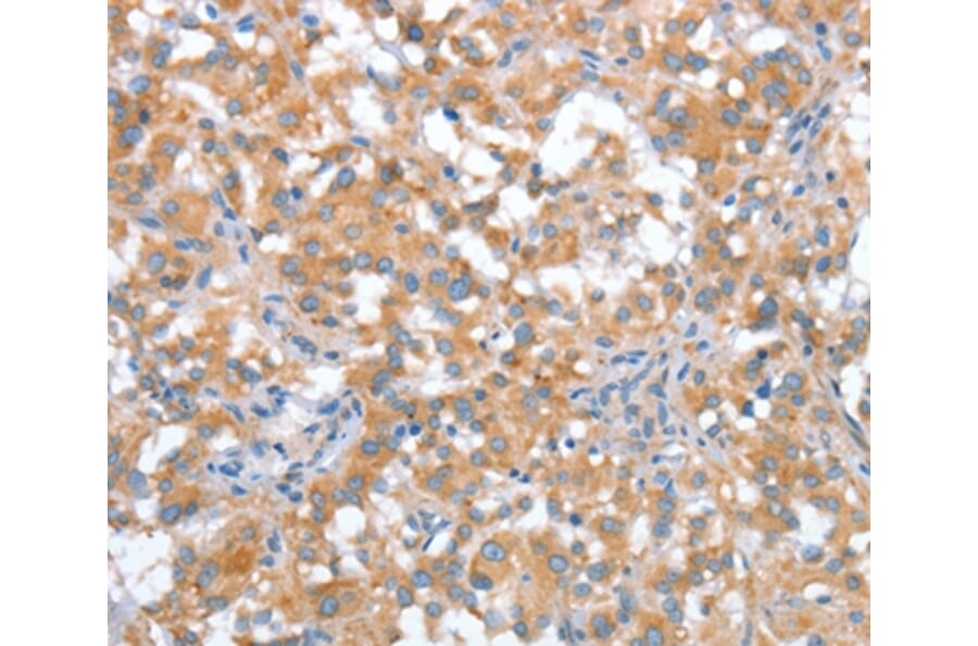
Immunohistochemistry - Anti-ST14 Antibody (A46713)
Immunohistochemical analysis of paraffin-embedded Human gastric cancer tissue using #35811 at dilution 1/70.
Enlarge Image
Immunohistochemistry - Anti-ST14 Antibody (A46713)
Immunohistochemical analysis of paraffin-embedded Human thyroid cancer tissue using #35811 at dilution 1/70.
Publishing research using Anti-ST14 Antibody (A46713)? Please
let us know
so that we can list the citation on this page.
Alternative products to Anti-ST14 Antibody (A46713)
(3)
A99988
Anti-ST14 Antibody
Rabbit polyclonal antibody to ST14 for WB, IF and ELISA.
(2)
A324248
Anti-ST14 Antibody [Research Grade Antibody] - Low endotoxin, Azide free
Recombinant human monoclonal antibody to ST14 for ELISA, FACS, Functional Assay and In Vivo.
A26372
Anti-Matriptase (K21) Antibody
Rabbit polyclonal antibody to Matriptase (K21) for WB and IF.
A15083
Anti-ST14 Antibody
Rabbit polyclonal antibody to ST14 for WB.
A44075
Anti-ST14 Antibody
Rabbit polyclonal antibody to ST14 for WB.
(3)
A99988
Anti-ST14 Antibody
Rabbit polyclonal antibody to ST14 for WB, IF and ELISA.
(2)
A324248
Anti-ST14 Antibody [Research Grade Antibody] - Low endotoxin, Azide free
Recombinant human monoclonal antibody to ST14 for ELISA, FACS, Functional Assay and In Vivo.
A26372
Anti-Matriptase (K21) Antibody
Rabbit polyclonal antibody to Matriptase (K21) for WB and IF.
A15083
Anti-ST14 Antibody
Rabbit polyclonal antibody to ST14 for WB.
A44075
Anti-ST14 Antibody
Rabbit polyclonal antibody to ST14 for WB.
See all ST14 Antibodies
Proteins predicted to interact with ST14
Predicted protein interactions based upon String database. Revelancy score correlates with probability of interaction.
HAI-1 Antibodies
99.8% Relevancy Score
SPINK5 Antibodies
88.7% Relevancy Score
Factor VIII Antibodies
87.5% Relevancy Score
HGFA Inhibitor 2 Antibodies
85.1% Relevancy Score
Filaggrin Antibodies
84.5% Relevancy Score
Kallikrein 5 Antibodies
82% Relevancy Score
Furin Antibodies
74.2% Relevancy Score
PRSS8 Antibodies
63.1% Relevancy Score
Desmoglein 1 Antibodies
60.5% Relevancy Score
Top