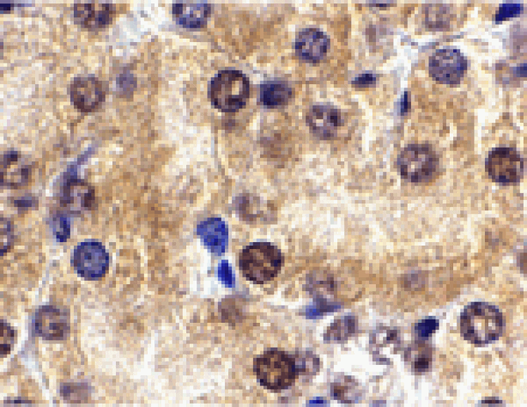
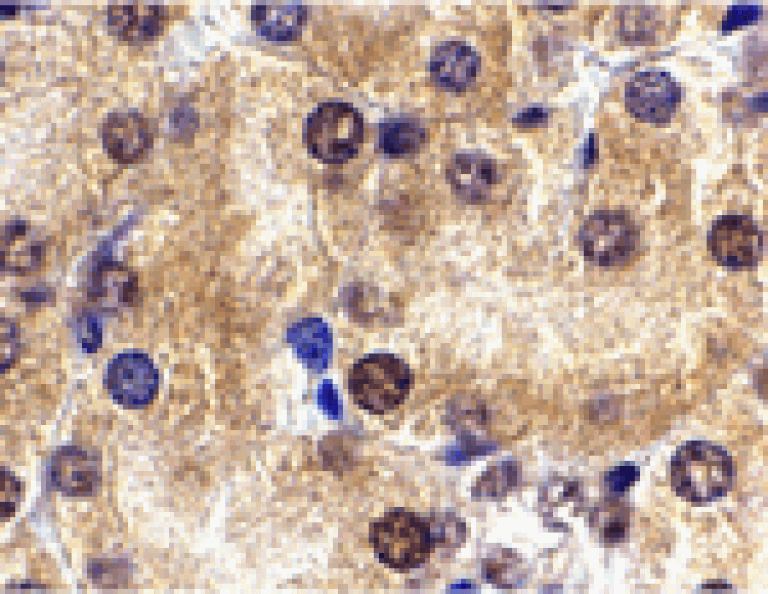
Raised against a synthetic peptide corresponding to 16 amino acids at the amino-terminus of mouse ST2. This peptide is common to all three known ST2 isoforms.
Host
Rabbit
Clonality
Polyclonal
Conjugate
Unconjugated
Purification
Affinity chromatography purified via peptide column
Formulation
Supplied in phosphate-buffered saline with 0.02% Sodium Azide.
Storage
Shipped at 4°C. Upon delivery aliquot and store at -20°C. Avoid freeze/thaw cycles.
Synonyms
DER4, IL1RL1, Interleukin-1 receptor-like 1, Protein ST2, T1
Western blot analysis of ST2 in mouse kidney lysate with ST2 antibody at 1 µg/mL in the presence (lane A) or absence (lane B) of 1 µg blocking peptide.
Recombinant human monoclonal antibody to ST2 for use as a research grade Devextinetug biosimilar for ELISA, Flow Cytometry, Functional Studies and in vivo Research.
Recombinant mouse monoclonal antibody to ST2 for use as a research grade Astegolimab biosimilar for ELISA, Flow Cytometry, Functional Studies and in vivo Research.
Recombinant human monoclonal antibody to ST2 for use as a research grade Astegolimab biosimilar for ELISA, Flow Cytometry, Functional Studies and in vivo Research.
Recombinant human monoclonal antibody to ST2 for use as a research grade Melrilimab biosimilar for ELISA, Flow Cytometry, Functional Studies and in vivo Research.
Recombinant human monoclonal antibody to ST2 for use as a research grade Devextinetug biosimilar for ELISA, Flow Cytometry, Functional Studies and in vivo Research.
Recombinant mouse monoclonal antibody to ST2 for use as a research grade Astegolimab biosimilar for ELISA, Flow Cytometry, Functional Studies and in vivo Research.
Recombinant human monoclonal antibody to ST2 for use as a research grade Astegolimab biosimilar for ELISA, Flow Cytometry, Functional Studies and in vivo Research.
Recombinant human monoclonal antibody to ST2 for use as a research grade Melrilimab biosimilar for ELISA, Flow Cytometry, Functional Studies and in vivo Research.