ISO 9001:2015 Certified
Live Customer Support
4.5/5 on Trustpilot
100% Quality Guarantee

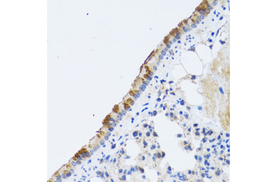
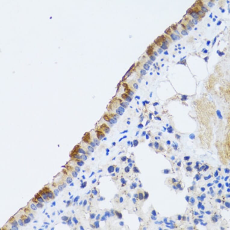
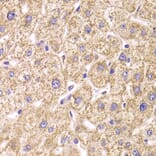
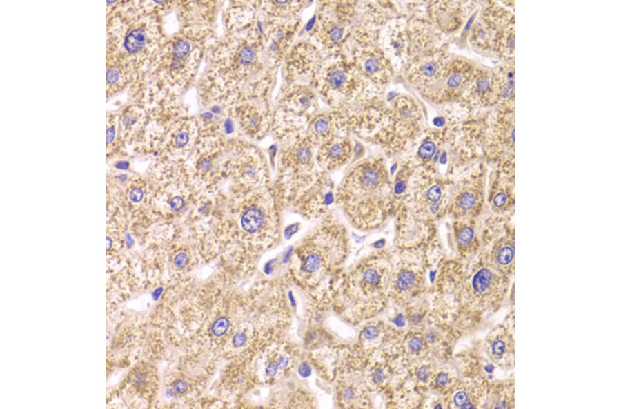
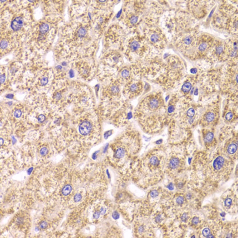
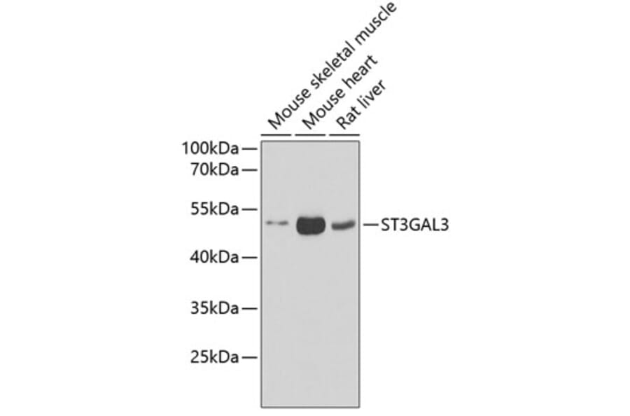
Anti-ST3GAL3 Antibody (A15362)

Rabbit polyclonal antibody to ST3GAL3 for WB, IHC and ICC/IF.

Shipping Information

$40
Dispatched from St. Louis, MO.
Lead Time: 7-10 business days.
Name
Anti-ST3GAL3 Antibody
Description
Rabbit polyclonal antibody to ST3GAL3.
Applications
WB, IHC, ICC/IF
Dilutions
WB: 1:500-1:2,000, IHC: 1:50-1:200, ICC/IF: 1:50-1:200
Reactivity
Human, Mouse, Rat
Immunogen
Recombinant fusion protein containing a sequence corresponding to amino acids 30-375 of human ST3GAL3 (NP_006270.1).
Sequence
LHLLQWEEDSNSVVLSFDSAGQTLGSEYDRLGFLLNLDSKLPAELATKYANFSEGACKPGYASALMTAIFPRFSKPAPMFLDDSFRKWARIREFVPPFGIKGQDNLIKAILSVTKEYRLTPALDSLRCRRCIIVGNGGVLANKSLGSRIDDYDIVVRLNSAPVKGFEKDVGSKTTLRITYPEGAMQRPEQYERDSLFVLAGFKWQDFKWLKYIVYKERVSASDGFWKSVATRVPKEPPEIRILNPYFIQEAAFTLIGLPFNNGLMGRGNIPTLGSVAVTMALHGCDEVAVAGFGYDMSTPNAPLHYYETVRMAAIKESWTHNIQREKEFLRKLVKARVITDLSSGI
Host
Rabbit
Clonality
Polyclonal
Isotype
IgG
Conjugate

Unconjugated

Purification
Affinity purification.
Concentration
Lot Specific
Molecular Weight
42 kDa
Product Form
Liquid
Formulation
Supplied in Phosphate Buffered Saline, pH 7.3, with 50% Glycerol and 0.02% Sodium Azide.
Storage
Shipped at 4°C. Upon delivery aliquot and store at -20°C. Avoid freeze/thaw cycles.
Synonyms
Alpha 2,3-ST 3, Beta-galactoside alpha-2,3-sialyltransferase 3, CMP-N-acetylneuraminate-beta-1,4-galactoside alpha-2,3-sialyltransferase, Gal beta-1,3(4) GlcNAc alpha-2,3 sialyltransferase, N-acetyllactosaminide alpha-2,3-sialyltransferase, Sialyltransferase 6, SIAT6, ST3Gal III, ST3GalIII, ST3N
Disclaimer
This product is for research use only. It is not intended for diagnostic or therapeutic use.
Publishing research using Anti-ST3GAL3 Antibody (A15362)? Please let us know so that we can list the citation on this page.

Alternative products to Anti-ST3GAL3 Antibody (A15362)

Proteins predicted to interact with ST3GAL3

Predicted protein interactions based upon String database. Revelancy score correlates with probability of interaction.
63.9% Relevancy Score
61.2% Relevancy Score
61.2% Relevancy Score
59.2% Relevancy Score
56.1% Relevancy Score
56% Relevancy Score
55.7% Relevancy Score
55.3% Relevancy Score
54.5% Relevancy Score