Primary Antibodies
Secondary Antibodies
Proteins & Peptides
ELISA Kits
About Us
Contact Us
Sign In/Register
0
ISO 9001:2015 Certified
Live Customer Support
4.5/5 on Trustpilot
100% Quality Guarantee
Home
Primary Antibodies
STAP2 Antibodies
Anti-STAP2 Antibody (A35072)
Anti-STAP2 Antibody (A35072)
Overview
Specifications
Images
Enlarge Image
Enlarge Image
Enlarge Image
$645
Product Datasheet
Rabbit polyclonal antibody to STAP2 for WB, IHC and ICC/IF.
100% Guarantee
Price Match Guarantee
Product Size:
100µl
Quantity:
1
2
3
4
5
6
7
8
9
10
Add To Cart
Request a Quotation
Custom or Bulk Request
Shipping Information
Freight/Packing Charges:
$40
Dispatched from St. Louis, MO.
Lead Time: 6-9 business days.
Specifications
Name
Anti-STAP2 Antibody
Description
Rabbit polyclonal antibody to STAP2
Applications
WB
,
IHC
,
ICC/IF
Reactivity
Human
Immunogen
Synthetic peptide contain a sequence corresponding to a region within amino acids 340 and 353 (Q9UGK3) of STAP2
Host
Rabbit
Clonality
Polyclonal
Conjugate
Unconjugated
Purification
Purified by antigen-affinity chromatography.
Formulation
Supplied in 1XPBS, 10% Glycerol (pH7.0). 0.01% Thimerosal was added as a preservative.
Storage
Shipped at 4°C. Upon delivery aliquot and store at -20°C. Avoid freeze/thaw cycles.
Synonyms
BKS, Breast tumor kinase substrate, BRK substrate, Signal-transducing adaptor protein 2, STAP-2
Suitable Secondaries
Goat Anti-Rabbit IgG H&L Antibody (AP) (A294874)
Goat Anti-Rabbit IgG H&L Antibody (Biotin) (A294795)
Goat Anti-Rabbit IgG H&L Antibody (FITC) (A294887)
Goat Anti-Rabbit IgG H&L Antibody (HRP) (A294888)
See all Anti-Rabbit IgG Secondaries →
Disclaimer
This product is for research use only. It is not intended for diagnostic or therapeutic use.
Scientific Validation Data
Validation Data
(3)
Enlarge Image
Anti-STAP2 Antibody (A35072)
Sample (30 µg of whole cell lysate) HCT11610% SDS PAGE Primary antibody diluted at 1: 1000
Enlarge Image
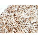
Immunohistochemistry - Anti-STAP2 Antibody (A35072)
Immunohistochemical analysis of paraffin-embedded BT483 xenograft, using STAP2 antibody at 1: 100 dilution.
Enlarge Image
Immunofluorescence - Anti-STAP2 Antibody (A35072)
Immunofluorescence analysis of methanol-fixed HCT116, using STAP2 antibody at 1: 500 dilution.
Publishing research using Anti-STAP2 Antibody (A35072)? Please
let us know
so that we can list the citation on this page.
Alternative products to Anti-STAP2 Antibody (A35072)
A83191
Anti-STAP2 Antibody
Goat polyclonal antibody to STAP2 for ELISA and WB.
(5)
A16131
Anti-STAP2 Antibody
Rabbit polyclonal antibody to STAP2 for WB.
(2)
A82675
Anti-STAP2 Antibody
Goat polyclonal antibody to STAP2 for ELISA, WB and IHC.
(2)
A92735
Anti-STAP2 Antibody
Rabbit polyclonal antibody to STAP2 for WB.
A28474
Anti-STAP2 Antibody
Rabbit polyclonal antibody to STAP2 for WB.
A85036
Anti-STAP2 Antibody
Goat polyclonal antibody to STAP2 for ELISA and WB.
A83191
Anti-STAP2 Antibody
Goat polyclonal antibody to STAP2 for ELISA and WB.
(5)
A16131
Anti-STAP2 Antibody
Rabbit polyclonal antibody to STAP2 for WB.
(2)
A82675
Anti-STAP2 Antibody
Goat polyclonal antibody to STAP2 for ELISA, WB and IHC.
(2)
A92735
Anti-STAP2 Antibody
Rabbit polyclonal antibody to STAP2 for WB.
A28474
Anti-STAP2 Antibody
Rabbit polyclonal antibody to STAP2 for WB.
A85036
Anti-STAP2 Antibody
Goat polyclonal antibody to STAP2 for ELISA and WB.
See all STAP2 Antibodies
Proteins predicted to interact with STAP2
Predicted protein interactions based upon String database. Revelancy score correlates with probability of interaction.
Brk Antibodies
99.6% Relevancy Score
STAT3 Antibodies
94.7% Relevancy Score
CSF1R Antibodies
80.2% Relevancy Score
EGFR Antibodies
76% Relevancy Score
MYD88 Antibodies
75.1% Relevancy Score
Leptin Receptor Antibodies
72% Relevancy Score
STAT5B Antibodies
67.8% Relevancy Score
STAM1 Antibodies
66.9% Relevancy Score
DOCK7 Antibodies
66.7% Relevancy Score
Top