ISO 9001:2015 Certified
Live Customer Support
4.5/5 on Trustpilot
100% Quality Guarantee

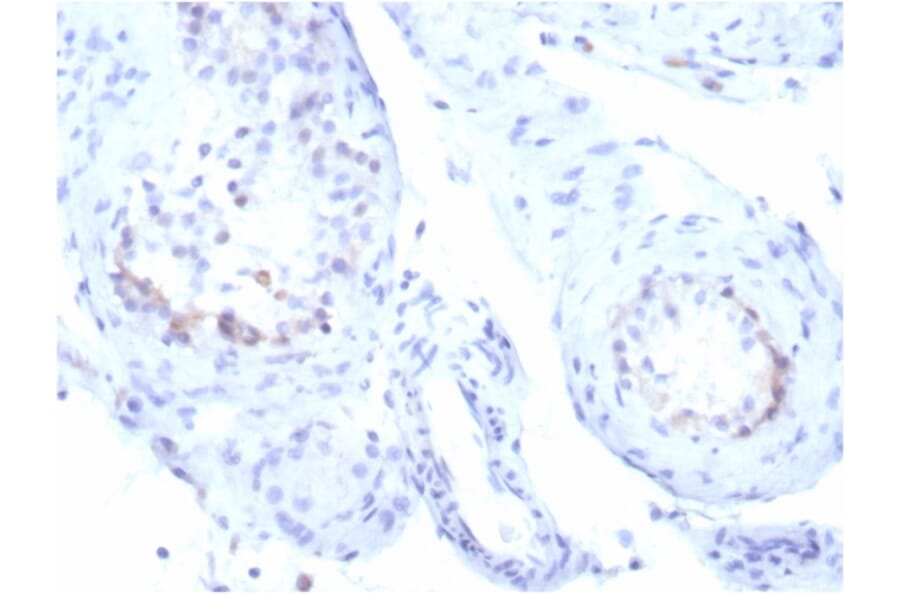
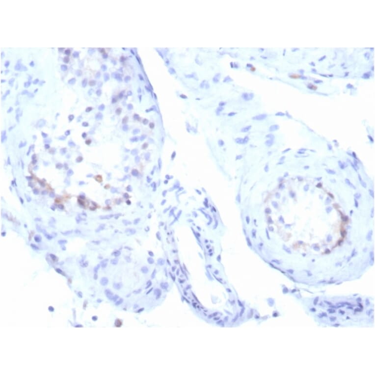
Recombinant Anti-StAR Antibody [STAR/3915R] (A278067)

Recombinant rabbit monoclonal [STAR/3915R] antibody to StAR for IHC-P.

Alternative Formats and ConjugatesAlternative Formats

Shipping Information

$40
Dispatched from St. Louis, MO.
Lead Time: 5-8 business days.
Name
Anti-StAR Antibody [STAR/3915R]
Description
Recombinant rabbit monoclonal [STAR/3915R] antibody to StAR.
Specificity
Steroidogenic Acute Regulatory Protein (STAR) controls the rate-limiting step of steroidegenesis by translocating cholesterol from the outer mitochondrial membrane to the inner membrane where it is later cleaved to pregnenolone.It is primarily present in steroid-producing cells, including Leydig cells in the testis, theca cells and luteal cells in the ovary and adrenal cells in the adrenal cortex. Due to low levels of pregnenolone, seminomas and Leydig cell tumors display no specific STAR staining. Therefore, STAR antibody may assist in differentiating sex cord stromal tumors (SCST), seminomas and embryonal carcinomas.
Applications
IHC-P
Dilutions
IHC-P: 1-2 µg/ml
Reactivity
Human
Immunogen
Recombinant fragment, around amino acids 39-108, of human StAR protein. The exact sequence is proprietary.
Host
Rabbit
Clonality
Monoclonal
Clone ID
STAR/3915R
Isotype
IgG
Light Chains
kappa
Conjugate

Unconjugated

Purification
Protein A/G chromatography.
Concentration
200 µg/ml
Molecular Weight
30 kDa
Product Form
Liquid
Formulation
Supplied in 10mM Phosphate Buffered Saline with 0.05% BSA and 0.05% Sodium Azide.
Storage
Shipped at 4°C. Upon delivery aliquot and store at -20°C. Avoid freeze / thaw cycles.
General Notes
This monoclonal antibody is also available in a different formulation without BSA and Sodium Azide - Anti-StAR Antibody [STAR/3915R] - BSA and Azide free (A278655).
Synonyms
StARD1, START domain-containing protein 1, Steroidogenic acute regulatory protein, mitochondrial
Disclaimer
This product is for research use only. It is not intended for diagnostic or therapeutic use.
Publishing research using Recombinant Anti-StAR Antibody [STAR/3915R] (A278067)? Please let us know so that we can list the citation on this page.

Alternative products to Anti-StAR Antibody [STAR/3915R] (A278067)

Proteins predicted to interact with STAR

Predicted protein interactions based upon String database. Revelancy score correlates with probability of interaction.
99.5% Relevancy Score
99.3% Relevancy Score
98.7% Relevancy Score
97.9% Relevancy Score
96.2% Relevancy Score
95.8% Relevancy Score
95% Relevancy Score
94.6% Relevancy Score
93.5% Relevancy Score