Primary Antibodies
Secondary Antibodies
Proteins & Peptides
ELISA Kits
About Us
Contact Us
Sign In/Register
0
ISO 9001:2015 Certified
Live Customer Support
4.5/5 on Trustpilot
100% Quality Guarantee
Home
Primary Antibodies
STARD8 Antibodies
Anti-STARD8 Antibody (A37367)
Anti-STARD8 Antibody (A37367)
Overview
Specifications
Images
Enlarge Image
Enlarge Image
$430
Product Datasheet
Rabbit polyclonal antibody to STARD8 for WB and IHC.
100% Guarantee
Price Match Guarantee
Product Size:
100µl
Quantity:
1
2
3
4
5
6
7
8
9
10
Add To Cart
Request a Quotation
Custom or Bulk Request
Shipping Information
Freight/Packing Charges:
$40
Dispatched from St. Louis, MO.
Lead Time: 6-9 business days.
Specifications
Name
Anti-STARD8 Antibody
Description
Rabbit polyclonal antibody to STARD8
Specificity
The antibody detects endogenous levels of total STARD8 protein.
Applications
WB
,
IHC
Dilutions
Western blotting: 1:200-1:1000 Immunohistochemistry: 1:100-1:200
Reactivity
Human
Immunogen
Fusion protein corresponding to residues near the C terminal of human StAR-related lipid transfer (START) domain containing 8
Host
Rabbit
Clonality
Polyclonal
Conjugate
Unconjugated
Purification
Antigen affinity purification.
Concentration
1 mg/mL
Formulation
Rabbit IgG in pH7.4 PBS, 0.05% NaN3, 40% Glycerol.
Storage
Shipped at 4°C. Upon delivery aliquot and store at -20°C. Avoid freeze/thaw cycles.
Synonyms
Deleted in liver cancer 3 protein, DLC-3, DLC3, KIAA0189, StAR-related lipid transfer protein 8, START domain-containing protein 8, START-GAP3
Suitable Secondaries
Goat Anti-Rabbit IgG H&L Antibody (AP) (A294874)
Goat Anti-Rabbit IgG H&L Antibody (Biotin) (A294795)
Goat Anti-Rabbit IgG H&L Antibody (FITC) (A294887)
Goat Anti-Rabbit IgG H&L Antibody (HRP) (A294888)
See all Anti-Rabbit IgG Secondaries →
Disclaimer
This product is for research use only. It is not intended for diagnostic or therapeutic use.
Scientific Validation Data
Validation Data
(2)
Enlarge Image
Anti-STARD8 Antibody (A37367)
Gel: 6%SDS-PAGE Lysate: 0ug A549 cell. Primary antibody: 1/250 dilution Secondary antibody dilution: 1/8000Exposure time: 10 seconds
Enlarge Image
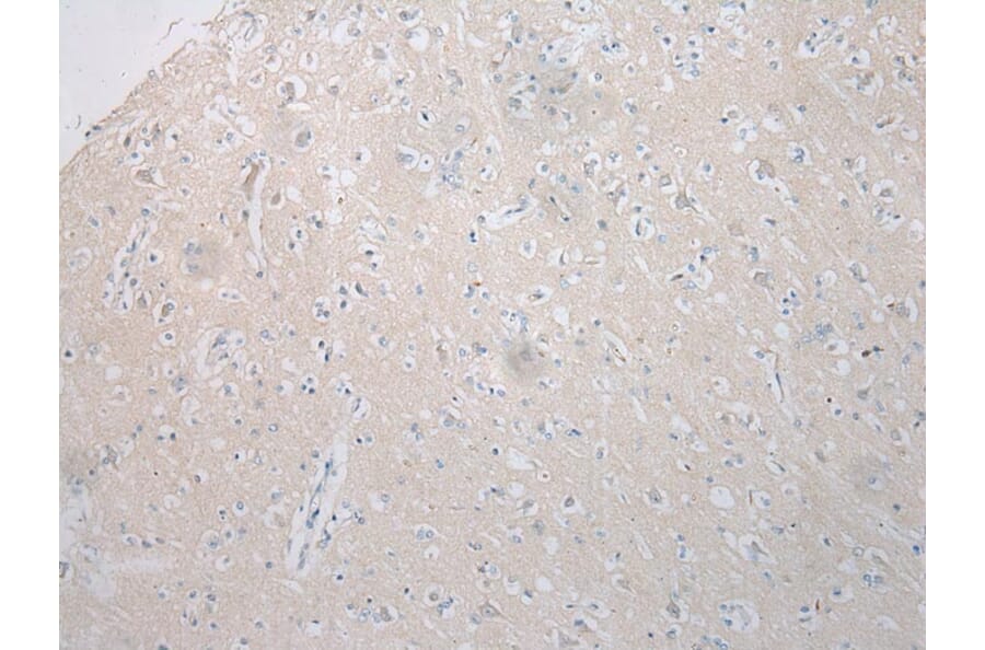
Immunohistochemistry - Anti-STARD8 Antibody (A37367)
Immunohistochemical analysis of paraffin-embedded Human Brain cancer tissue using #40340 at dilution 1/200.
Publishing research using Anti-STARD8 Antibody (A37367)? Please
let us know
so that we can list the citation on this page.
Proteins predicted to interact with STARD8
Predicted protein interactions based upon String database. Revelancy score correlates with probability of interaction.
RhoA Antibodies
86.6% Relevancy Score
CDC42 Antibodies
80.6% Relevancy Score
RhoB Antibodies
66.5% Relevancy Score
CIN85 Antibodies
61.7% Relevancy Score
STARD5 Antibodies
57.7% Relevancy Score
Tensin 3 Antibodies
56.9% Relevancy Score
STAR Antibodies
55.8% Relevancy Score
START Domain Containing 7 Antibodies
55% Relevancy Score
Tensin 2 Antibodies
54.7% Relevancy Score
Top