ISO 9001:2015 Certified
Live Customer Support
4.5/5 on Trustpilot
100% Quality Guarantee

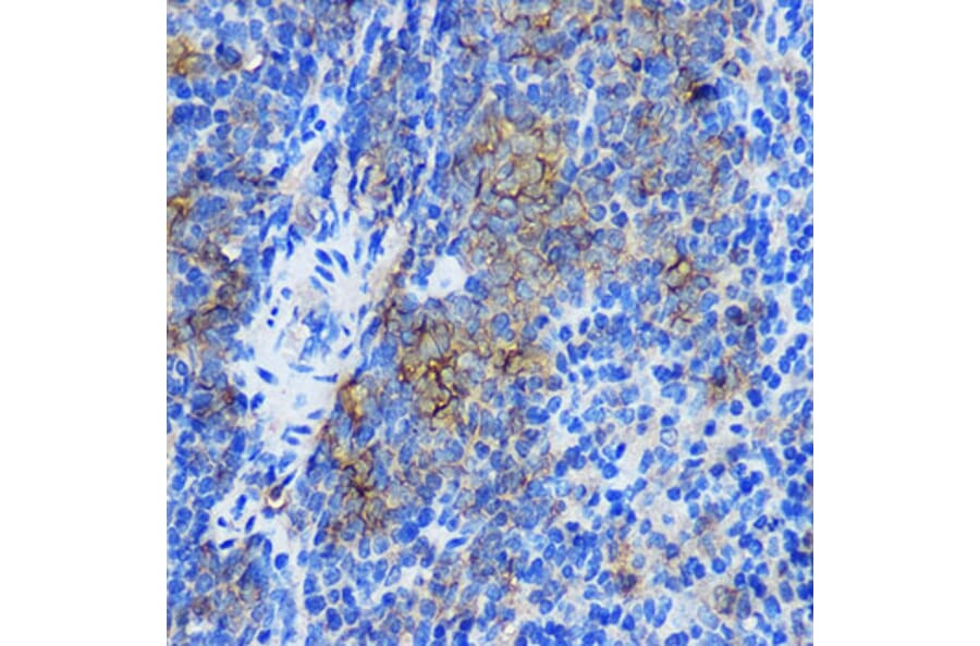
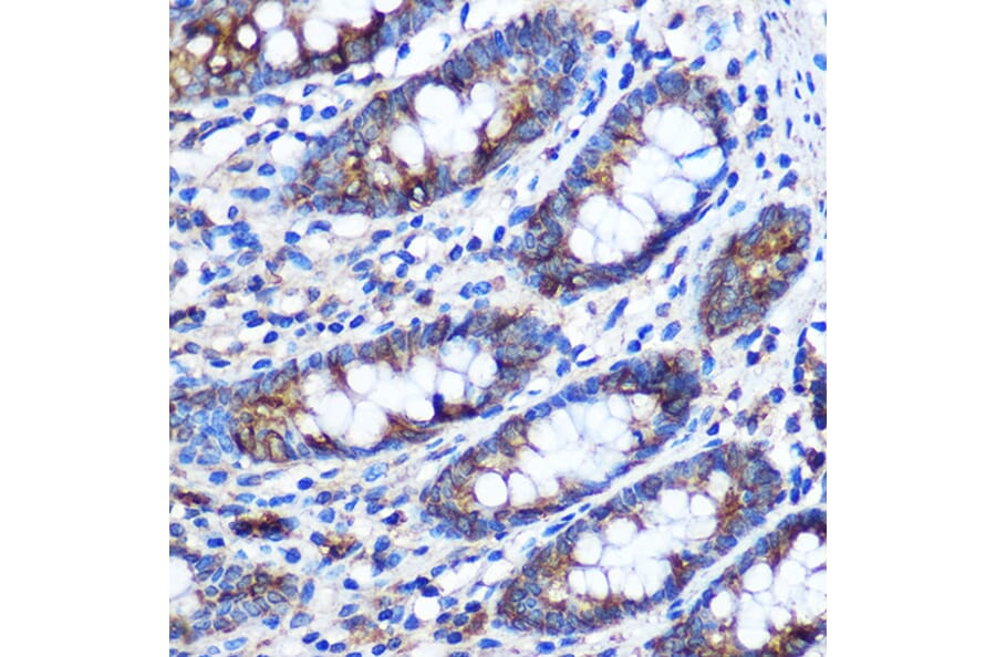
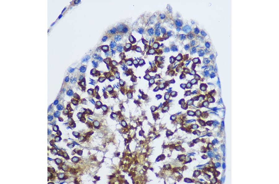
Anti-STAT4 Antibody (A91445)

Rabbit polyclonal antibody to STAT4 for WB, IHC and ICC/IF.

Shipping Information

$40
Dispatched from St. Louis, MO.
Lead Time: 7-10 business days.
Name
Anti-STAT4 Antibody
Description
Rabbit polyclonal antibody to STAT4.
Applications
WB, IHC, ICC/IF
Dilutions
WB: 1:500-1:2,000, IHC: 1:50-1:200, ICC/IF: 1:50-1:200
Reactivity
Human, Mouse, Rat
Immunogen
Recombinant fusion protein containing a sequence corresponding to amino acids 569-748 of human STAT4 (NP_003142.1).
Sequence
WIDGYVMGFVSKEKERLLLKDKMPGTFLLRFSESHLGGITFTWVDHSESGEVRFHSVEPYNKGRLSALPFADILRDYKVIMAENIPENPLKYLYPDIPKDKAFGKHYSSQPCEVSRPTERGDKGYVPSVFIPISTIRSDSTEPHSPSDLLPMSPSVYAVLRENLSPTTIETAMKSPYSAE
Host
Rabbit
Clonality
Polyclonal
Isotype
IgG
Conjugate

Unconjugated

Purification
Affinity purification.
Concentration
Lot Specific
Molecular Weight
93 kDa
Product Form
Liquid
Formulation
Supplied in Phosphate Buffered Saline, pH 7.3, with 50% Glycerol and 0.01% Thiomersal.
Storage
Shipped at 4°C. Upon delivery aliquot and store at -20°C. Avoid freeze/thaw cycles.
Synonyms
Signal transducer and activator of transcription 4
Disclaimer
This product is for research use only. It is not intended for diagnostic or therapeutic use.
Publishing research using Anti-STAT4 Antibody (A91445)? Please let us know so that we can list the citation on this page.

Alternative products to Anti-STAT4 Antibody (A91445)

Proteins predicted to interact with STAT4

Predicted protein interactions based upon String database. Revelancy score correlates with probability of interaction.
99.6% Relevancy Score
99.4% Relevancy Score
99% Relevancy Score
98.8% Relevancy Score
98.1% Relevancy Score
97.7% Relevancy Score
97.7% Relevancy Score
97.3% Relevancy Score
97.3% Relevancy Score