ISO 9001:2015 Certified
Live Customer Support
4.5/5 on Trustpilot
100% Quality Guarantee

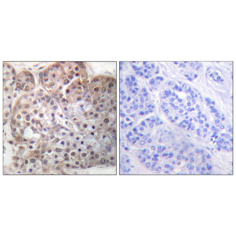
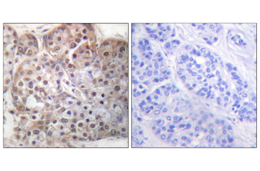
Anti-STAT5A + STAT5B (phospho Ser725 + Ser730) Antibody (A94883)

Rabbit polyclonal antibody to STAT5A + STAT5B (phospho Ser725 + Ser730) for WB, IHC, IF and ELISA.

Shipping Information

$40
Dispatched from St. Louis, MO.
Lead Time: 6-8 business days.
Name
Anti-STAT5A + STAT5B (phospho Ser725 + Ser730) Antibody
Description
Rabbit polyclonal antibody to STAT5A + STAT5B (phospho Ser725 + Ser730).
Specificity
This antibody detects endogenous levels of STAT5A/B only when phosphorylated at Ser725/730.
Applications
WB, IHC, IF, ELISA
Dilutions
WB: 1:500~1:1000, IHC: 1:50~1:100, IF: 1:100~1:500, ELISA: 1:20000
Reactivity
Human, Mouse, Rat
Cross Reactivity
No reported cross-reactivity.
Immunogen
Synthetic peptide derived from human STAT5A/B around the phosphorylation site of Ser725/730 (amino acids 696-745).
Host
Rabbit
Clonality
Polyclonal
Isotype
IgG
Conjugate

Unconjugated

Purification
Purified from rabbit serum by antigen affinity chromatography using the immunizing phospho peptide.
Molecular Weight
90kDa
Product Form
Liquid
Formulation
Supplied in Phosphate Buffered Saline (without Mg2+ and Ca2+), pH 7.4, with 150mM NaCl, 0.02% Sodium Azide, and 50% Glycerol.
Storage
Shipped at 4°C. Upon delivery aliquot and store at -20°C. Avoid freeze / thaw cycles.
Disclaimer
This product is for research use only. It is not intended for diagnostic or therapeutic use.
Publishing research using Anti-STAT5A + STAT5B (phospho Ser725 + Ser730) Antibody (A94883)? Please let us know so that we can list the citation on this page.

Alternative products to Anti-STAT5A + STAT5B (phospho Ser725 + Ser730) Antibody (A94883)