Primary Antibodies
Secondary Antibodies
Proteins & Peptides
ELISA Kits
About Us
Contact Us
Sign In/Register
0
ISO 9001:2015 Certified
Live Customer Support
4.5/5 on Trustpilot
100% Quality Guarantee
Home
Primary Antibodies
STEAP1 Antibodies
Anti-STEAP1 Antibody (A47575)
Anti-STEAP1 Antibody (A47575)
Overview
Specifications
Images
Enlarge Image
Enlarge Image
$780
Product Datasheet
Rabbit polyclonal antibody to STEAP1 for ELISA, WB and IHC.
100% Guarantee
Price Match Guarantee
Product Size:
100µl
Quantity:
1
2
3
4
5
6
7
8
9
10
Add To Cart
Request a Quotation
Custom or Bulk Request
Shipping Information
Freight/Packing Charges:
$40
Dispatched from St. Louis, MO.
Lead Time: 6-9 business days.
Specifications
Name
Anti-STEAP1 Antibody
Description
Rabbit polyclonal antibody to STEAP1
Specificity
This STEAP1 antibody does not cross-react with other STEAP proteins.
Applications
ELISA
,
WB
,
IHC
Reactivity
Human, Mouse, Rat
Immunogen
Raised against a 18 amino acid peptide from near the carboxy terminus of human STEAP1.
Host
Rabbit
Clonality
Polyclonal
Conjugate
Unconjugated
Purification
Affinity chromatography purified via peptide column
Formulation
Supplied in phosphate-buffered saline with 0.02% Sodium Azide.
Storage
Shipped at 4°C. Upon delivery aliquot and store at -20°C. Avoid freeze/thaw cycles.
Synonyms
PRSS24, Six-transmembrane epithelial antigen of prostate 1, STEAP, STEAP1 protein
Suitable Secondaries
Goat Anti-Rabbit IgG H&L Antibody (AP) (A294874)
Goat Anti-Rabbit IgG H&L Antibody (Biotin) (A294795)
Goat Anti-Rabbit IgG H&L Antibody (FITC) (A294887)
Goat Anti-Rabbit IgG H&L Antibody (HRP) (A294888)
See all Anti-Rabbit IgG Secondaries →
Disclaimer
This product is for research use only. It is not intended for diagnostic or therapeutic use.
Scientific Validation Data
Validation Data
(2)
Enlarge Image
Anti-STEAP1 Antibody (A47575)
Western blot analysis of STEAP1 in human spleen tissue lysate with STEAP1 antibody at (A) 1 and (B) 2 µg/mL.
Enlarge Image
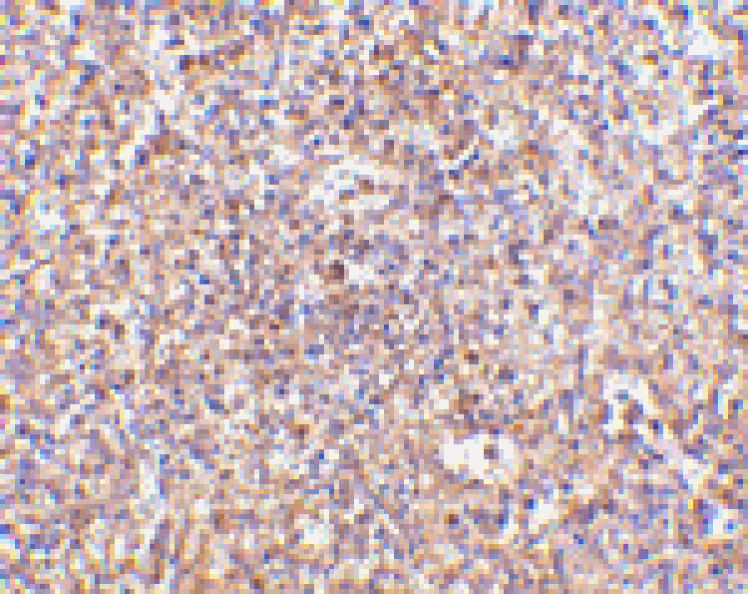
Immunohistochemistry - Anti-STEAP1 Antibody (A47575)
Immunohistochemistry of STEAP1 in human spleen tissue with STEAP1 antibody at 2.5 µg/mL.
Publishing research using Anti-STEAP1 Antibody (A47575)? Please
let us know
so that we can list the citation on this page.
Alternative products to Anti-STEAP1 Antibody (A47575)
(2)
A47576
Anti-STEAP1 Antibody
Rabbit polyclonal antibody to STEAP1 for ELISA, WB, ICC/IF and IHC-P.
(4)
A99269
Anti-STEAP1 Antibody
Rabbit polyclonal antibody to STEAP1 for WB, IHC and ELISA.
(2)
A323819
Vandortuzumab Biosimilar - Anti-STEAP1 Antibody - Low endotoxin, Azide free
Recombinant humanized monoclonal antibody to STEAP1 for ELISA, FACS, Functional Assay and In Vivo.
(2)
A338856
Vandortuzumab Biosimilar - Anti-STEAP1 Antibody - BSA and Azide free
Humanized monoclonal antibody to STEAP1 Research grade Vandortuzumab biosimilar for ELISA, Flow Cytometry, Functional Studies and in vivo Research.
(2)
A26590
Anti-STEAP1 (D31) Antibody
Rabbit polyclonal antibody to STEAP1 (D31) for WB and IHC.
A324850
Xaluritamig (without CD3) Biosimilar - Anti-STEAP1 Antibody - BSA and Azide free
Recombinant human monoclonal antibody to STEAP1 for Flow Cytometry.
A58024
Anti-STEAP1 Antibody [PJ2D2AT]
Mouse monoclonal [PJ2D2AT] antibody to STEAP1 for ELISA, WB, IF and IHC.
A307293
Anti-STEAP1 Antibody
Rabbit polyclonal antibody to STEAP1 for WB.
A324849
Vandortuzumab Biosimilar - Anti-STEAP1 Antibody - BSA and Azide free
Recombinant humanized monoclonal antibody to STEAP1 for Flow Cytometry.
(2)
A47576
Anti-STEAP1 Antibody
Rabbit polyclonal antibody to STEAP1 for ELISA, WB, ICC/IF and IHC-P.
(4)
A99269
Anti-STEAP1 Antibody
Rabbit polyclonal antibody to STEAP1 for WB, IHC and ELISA.
(2)
A323819
Vandortuzumab Biosimilar - Anti-STEAP1 Antibody - Low endotoxin, Azide free
Recombinant humanized monoclonal antibody to STEAP1 for ELISA, FACS, Functional Assay and In Vivo.
(2)
A338856
Vandortuzumab Biosimilar - Anti-STEAP1 Antibody - BSA and Azide free
Humanized monoclonal antibody to STEAP1 Research grade Vandortuzumab biosimilar for ELISA, Flow Cytometry, Functional Studies and in vivo Research.
(2)
A26590
Anti-STEAP1 (D31) Antibody
Rabbit polyclonal antibody to STEAP1 (D31) for WB and IHC.
A324850
Xaluritamig (without CD3) Biosimilar - Anti-STEAP1 Antibody - BSA and Azide free
Recombinant human monoclonal antibody to STEAP1 for Flow Cytometry.
A58024
Anti-STEAP1 Antibody [PJ2D2AT]
Mouse monoclonal [PJ2D2AT] antibody to STEAP1 for ELISA, WB, IF and IHC.
A307293
Anti-STEAP1 Antibody
Rabbit polyclonal antibody to STEAP1 for WB.
A324849
Vandortuzumab Biosimilar - Anti-STEAP1 Antibody - BSA and Azide free
Recombinant humanized monoclonal antibody to STEAP1 for Flow Cytometry.
See all STEAP1 Antibodies
Proteins predicted to interact with STEAP1
Predicted protein interactions based upon String database. Revelancy score correlates with probability of interaction.
STEAP2 Antibodies
97.9% Relevancy Score
PSCA Antibodies
75% Relevancy Score
DMT1 Antibodies
71.7% Relevancy Score
PSMA Antibodies
69.9% Relevancy Score
Transferrin Receptor Antibodies
58.9% Relevancy Score
PSA Antibodies
56.8% Relevancy Score
SLC39A14 Antibodies
54% Relevancy Score
EGFR Antibodies
51.3% Relevancy Score
Collagen V Antibodies
51.3% Relevancy Score
Top