ISO 9001:2015 Certified
Live Customer Support
4.5/5 on Trustpilot
100% Quality Guarantee

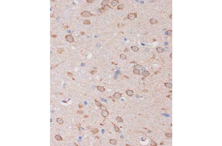
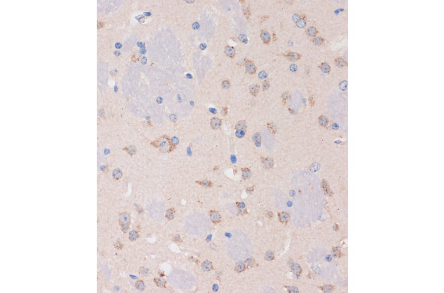
Anti-STIM2 Antibody (A305495)

Rabbit polyclonal antibody to STIM2 for WB, IHC and ICC/IF.

Shipping Information

$40
Dispatched from St. Louis, MO.
Lead Time: 7-10 business days.
Name
Anti-STIM2 Antibody
Description
Rabbit polyclonal antibody to STIM2.
Applications
WB, IHC, ICC/IF
Dilutions
WB: 1:500-1:2,000, IHC: 1:50-1:200, ICC/IF: 1:50-1:200
Reactivity
Human, Mouse, Rat
Immunogen
Recombinant fusion protein containing a sequence corresponding to amino acids 60-180 of human STIM2 (NP_001162588).
Sequence
CFTEEDRFSLEALQTIHKQMDDDKDGGIEVEESDEFIREDMKYKDATNKHSHLHREDKHITIEDLWKRWKTSEVHNWTLEDTLQWLIEFVELPQYEKNFRDNNVKGTTLPRIAVHEPSFMI
Host
Rabbit
Clonality
Polyclonal
Isotype
IgG
Conjugate

Unconjugated

Purification
Affinity purification.
Concentration
Lot Specific
Molecular Weight
110 kDa
Product Form
Liquid
Formulation
Supplied in Phosphate Buffered Saline, pH 7.3, with 50% Glycerol and 0.01% Thiomersal.
Storage
Shipped at 4°C. Upon delivery aliquot and store at -20°C. Avoid freeze/thaw cycles.
Synonyms
KIAA1482, Stromal interaction molecule 2
Disclaimer
This product is for research use only. It is not intended for diagnostic or therapeutic use.
Publishing research using Anti-STIM2 Antibody (A305495)? Please let us know so that we can list the citation on this page.

Alternative products to Anti-STIM2 Antibody (A305495)

Proteins predicted to interact with STIM2

Predicted protein interactions based upon String database. Revelancy score correlates with probability of interaction.
99.9% Relevancy Score
99.9% Relevancy Score
99.9% Relevancy Score
98.7% Relevancy Score
93.6% Relevancy Score
88.5% Relevancy Score
87.6% Relevancy Score
81.6% Relevancy Score
78.6% Relevancy Score