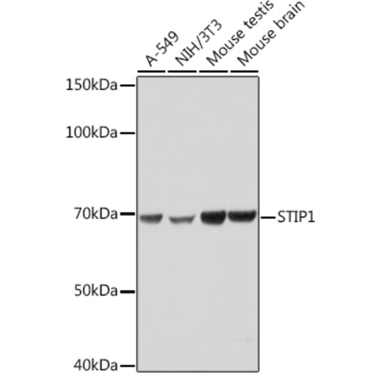
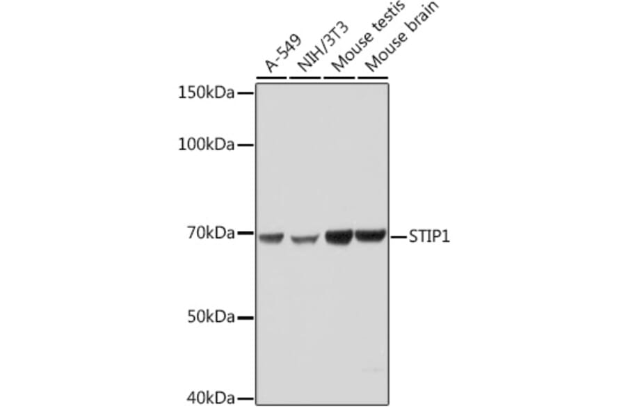
Western Blot - Anti-STIP1/STI1 Antibody [ARC1805] (A305785)
Western blot analysis of extracts of various cell lines, using Anti-STIP1/STI1 Antibody [ARC1805] (A305785) at 1:1,000 dilution. The secondary antibody was Goat Anti-Rabbit IgG H&L Antibody (HRP) at 1:10,000 dilution. Lysates/proteins were present at 25µg per lane. The blocking buffer used was 3% non-fat dry milk in TBST. Detection was with a ECL Basic Kit. Exposure time: 1s.
Western Blot - Anti-STIP1/STI1 Antibody [ARC1805] (A305785)
Western blot analysis of extracts of various cell lines, using Anti-STIP1/STI1 Antibody [ARC1805] (A305785) at 1:1,000 dilution. The secondary antibody was Goat Anti-Rabbit IgG H&L Antibody (HRP) at 1:10,000 dilution. Lysates/proteins were present at 25µg per lane. The blocking buffer used was 3% non-fat dry milk in TBST. Detection was with a ECL Basic Kit. Exposure time: 10s.
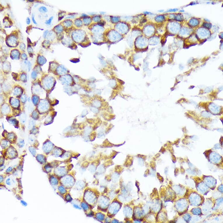
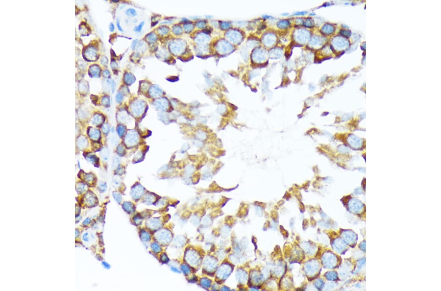
Immunohistochemistry analysis of paraffin-embedded rat testis using Anti-STIP1/STI1 Antibody [ARC1805] (A305785) at a dilution of 1:100 (40x lens). Perform microwave antigen retrieval with 10 mM Tris/EDTA buffer pH 9.0 before commencing with IHC staining protocol.
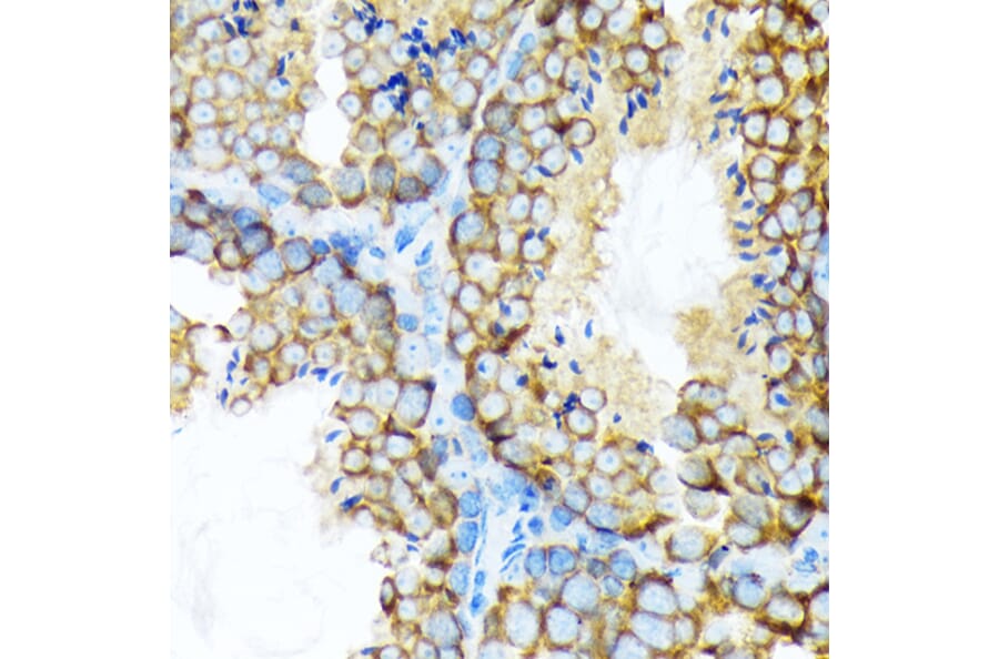
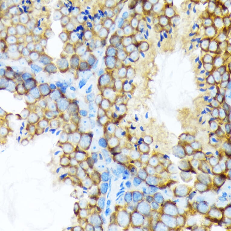
Immunohistochemistry analysis of paraffin-embedded human esophageal cancer using Anti-STIP1/STI1 Antibody [ARC1805] (A305785) at a dilution of 1:100 (40x lens). Perform microwave antigen retrieval with 10 mM Tris/EDTA buffer pH 9.0 before commencing with IHC staining protocol.
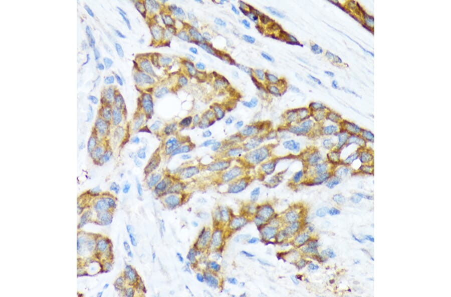
Immunohistochemistry analysis of paraffin-embedded mouse testis using Anti-STIP1/STI1 Antibody [ARC1805] (A305785) at a dilution of 1:100 (40x lens). Perform microwave antigen retrieval with 10 mM Tris/EDTA buffer pH 9.0 before commencing with IHC staining protocol.