ISO 9001:2015 Certified
Live Customer Support
4.5/5 on Trustpilot
100% Quality Guarantee

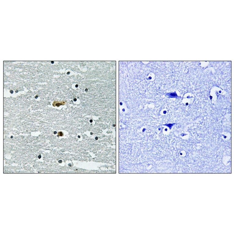
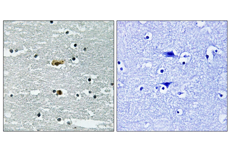
Anti-STK39 (phospho Ser311) Antibody (A94161)

Rabbit polyclonal antibody to STK39 (phospho Ser311) for WB, IHC, IF and ELISA.

Shipping Information

$40
Dispatched from St. Louis, MO.
Lead Time: 6-8 business days.
Name
Anti-STK39 (phospho Ser311) Antibody
Description
Rabbit polyclonal antibody to STK39 (phospho Ser311).
Specificity
This antibody detects endogenous levels of STK39 only when phosphorylated at Ser311.
Applications
WB, IHC, IF, ELISA
Dilutions
IHC: 1:50~1:100, ELISA: 1:1000
Reactivity
Human, Mouse, Rat
Cross Reactivity
No reported cross-reactivity.
Immunogen
Synthetic peptide derived from human STK39 around the phosphorylation site of Ser311 (amino acids 277-326).
Host
Rabbit
Clonality
Polyclonal
Isotype
IgG
Conjugate

Unconjugated

Purification
Purified from rabbit serum by antigen affinity chromatography using the immunizing phospho peptide.
Molecular Weight
59kDa
Product Form
Liquid
Formulation
Supplied in Phosphate Buffered Saline (without Mg2+ and Ca2+), pH 7.4, with 150mM NaCl, 0.02% Sodium Azide, and 50% Glycerol.
Storage
Shipped at 4°C. Upon delivery aliquot and store at -20°C. Avoid freeze / thaw cycles.
Synonyms
DCHT, PASK, Serine/threonine-protein kinase 39, Ste-20-related kinase, STE20/SPS1-related proline-alanine-rich protein kinase, STK39
Disclaimer
This product is for research use only. It is not intended for diagnostic or therapeutic use.
Publishing research using Anti-STK39 (phospho Ser311) Antibody (A94161)? Please let us know so that we can list the citation on this page.

Alternative products to Anti-STK39 (phospho Ser311) Antibody (A94161)

Proteins predicted to interact with SPAK

Predicted protein interactions based upon String database. Revelancy score correlates with probability of interaction.
94.1% Relevancy Score
93.7% Relevancy Score
92% Relevancy Score
91.3% Relevancy Score
89.4% Relevancy Score
87.1% Relevancy Score
84.5% Relevancy Score
82.8% Relevancy Score
81.4% Relevancy Score