ISO 9001:2015 Certified
Live Customer Support
4.5/5 on Trustpilot
100% Quality Guarantee

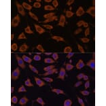
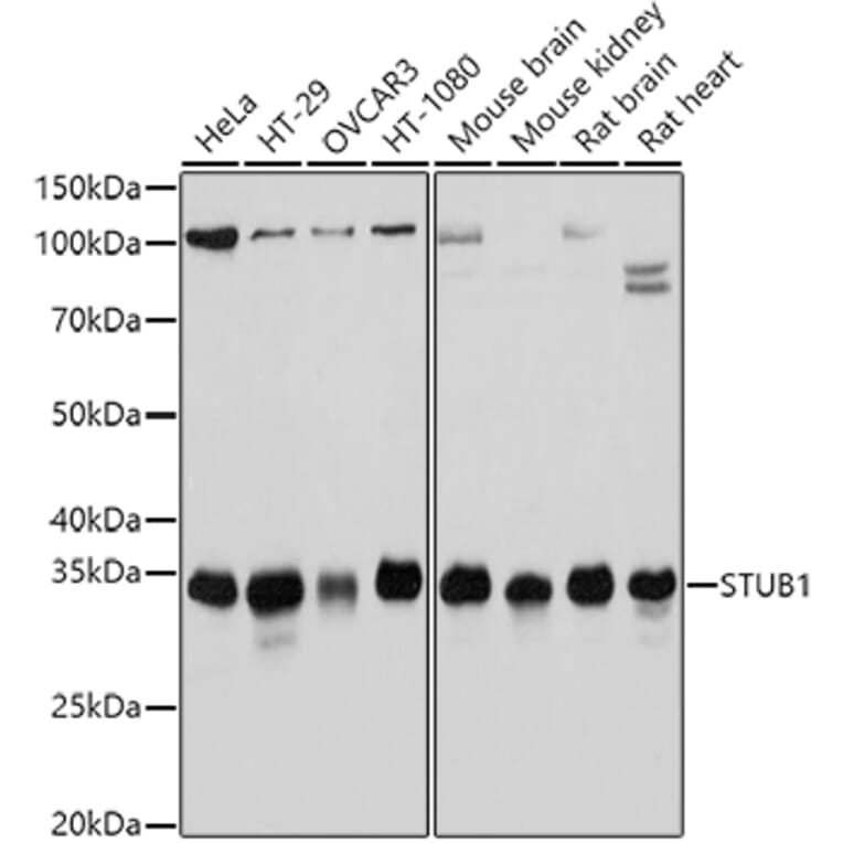
Anti-STUB1/CHIP Antibody (A80884)

Rabbit polyclonal antibody to STUB1/CHIP for WB, ICC/IF and IP.

Shipping Information

$40
Dispatched from St. Louis, MO.
Lead Time: 7-10 business days.
Name
Anti-STUB1/CHIP Antibody
Description
Rabbit polyclonal antibody to STUB1/CHIP.
Applications
WB, ICC/IF, IP
Dilutions
WB: 1:500-1:1,000, ICC/IF: 1:50-1:200, IP: 1:500-1:1,000
Reactivity
Human, Mouse, Rat
Immunogen
Recombinant fusion protein containing a sequence corresponding to amino acids 1-303 of human STUB1 (NP_005852.2).
Sequence
MKGKEEKEGGARLGAGGGSPEKSPSAQELKEQGNRLFVGRKYPEAAACYGRAITRNPLVAVYYTNRALCYLKMQQHEQALADCRRALELDGQSVKAHFFLGQCQLEMESYDEAIANLQRAYSLAKEQRLNFGDDIPSALRIAKKKRWNSIEERRIHQESELHSYLSRLIAAERERELEECQRNHEGDEDDSHVRAQQACIEAKHDKYMADMDELFSQVDEKRKKRDIPDYLCGKISFELMREPCITPSGITYDRKDIEEHLQRVGHFDPVTRSPLTQEQLIPNLAMKEVIDAFISENGWVEDY
Host
Rabbit
Clonality
Polyclonal
Isotype
IgG
Conjugate

Unconjugated

Purification
Affinity purification.
Concentration
Lot Specific
Molecular Weight
34 kDa
Product Form
Liquid
Formulation
Supplied in Phosphate Buffered Saline, pH 7.3, with 50% Glycerol and 0.01% Thiomersal.
Storage
Shipped at 4°C. Upon delivery aliquot and store at -20°C. Avoid freeze/thaw cycles.
Disclaimer
This product is for research use only. It is not intended for diagnostic or therapeutic use.
Publishing research using Anti-STUB1/CHIP Antibody (A80884)? Please let us know so that we can list the citation on this page.