Primary Antibodies
Secondary Antibodies
Proteins & Peptides
ELISA Kits
About Us
Contact Us
Sign In/Register
0
ISO 9001:2015 Certified
Live Customer Support
4.5/5 on Trustpilot
100% Quality Guarantee
Home
Primary Antibodies
Syntaxin 2 Antibodies
Anti-STX2 Antibody (A38935)
Anti-STX2 Antibody (A38935)
Overview
Specifications
Images
Enlarge Image
Enlarge Image
Enlarge Image
$430
Product Datasheet
Rabbit polyclonal antibody to STX2 for WB and IHC.
100% Guarantee
Price Match Guarantee
Product Size:
100µl
Quantity:
1
2
3
4
5
6
7
8
9
10
Add To Cart
Request a Quotation
Custom or Bulk Request
Shipping Information
Freight/Packing Charges:
$40
Dispatched from St. Louis, MO.
Lead Time: 6-9 business days.
Specifications
Name
Anti-STX2 Antibody
Description
Rabbit polyclonal antibody to STX2
Specificity
The antibody detects endogenous levels of total STX2 protein.
Applications
WB
,
IHC
Reactivity
Human
Immunogen
Synthetic peptide corresponding to residues near the N terminal of human syntaxin 2
Host
Rabbit
Clonality
Polyclonal
Conjugate
Unconjugated
Purification
Antigen affinity purification.
Concentration
2.5 mg/mL
Formulation
Rabbit IgG in pH7.4 PBS, 0.05% NaN3, 40% Glycerol.
Storage
Shipped at 4°C. Upon delivery aliquot and store at -20°C. Avoid freeze/thaw cycles.
Synonyms
EPIM, Epimorphin, STX2A, STX2B, STX2C, Syntaxin-2
Suitable Secondaries
Goat Anti-Rabbit IgG H&L Antibody (AP) (A294874)
Goat Anti-Rabbit IgG H&L Antibody (Biotin) (A294795)
Goat Anti-Rabbit IgG H&L Antibody (FITC) (A294887)
Goat Anti-Rabbit IgG H&L Antibody (HRP) (A294888)
See all Anti-Rabbit IgG Secondaries →
Disclaimer
This product is for research use only. It is not intended for diagnostic or therapeutic use.
Scientific Validation Data
Validation Data
(3)
Enlarge Image
Anti-STX2 Antibody (A38935)
Gel: 8% SDS-PAGE Lysate: 40ug A172 cell. Primary antibody: 1/400 dilution Secondary antibody dilution: 1/8000Exposure time: 2 minutes
Enlarge Image
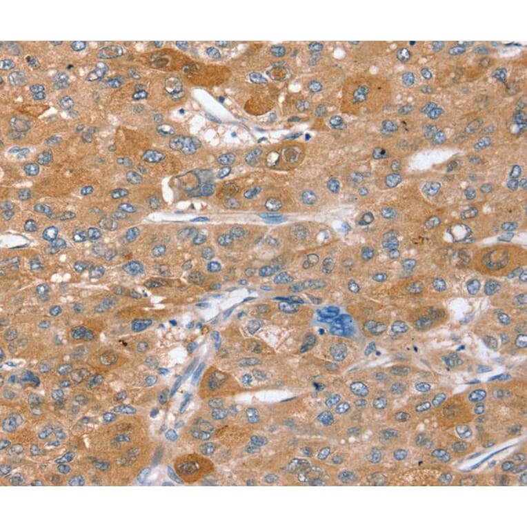
Immunohistochemistry - Anti-STX2 Antibody (A38935)
Immunohistochemical analysis of paraffin-embedded Human liver cancer tissue using #40378 at dilution 1/40.
Enlarge Image
Immunohistochemistry - Anti-STX2 Antibody (A38935)
Immunohistochemical analysis of paraffin-embedded Human brain tissue using #40378 at dilution 1/40.
Publishing research using Anti-STX2 Antibody (A38935)? Please
let us know
so that we can list the citation on this page.
Proteins predicted to interact with Syntaxin 2
Predicted protein interactions based upon String database. Revelancy score correlates with probability of interaction.
VAMP2 Antibodies
99.9% Relevancy Score
SNAP23 Antibodies
99.9% Relevancy Score
Cellubrevin Antibodies
99.7% Relevancy Score
Munc18-1 Antibodies
99.5% Relevancy Score
VAMP1 Antibodies
98.6% Relevancy Score
VAMP4 Antibodies
97.3% Relevancy Score
ST8SIA2 Antibodies
96% Relevancy Score
alpha SNAP Antibodies
95% Relevancy Score
SNAP25 Antibodies
92.5% Relevancy Score
Top