Primary Antibodies
Secondary Antibodies
Proteins & Peptides
ELISA Kits
About Us
Contact Us
Sign In/Register
0
ISO 9001:2015 Certified
Live Customer Support
4.5/5 on Trustpilot
100% Quality Guarantee
Home
Primary Antibodies
Syntaxin 8 Antibodies
Anti-STX8 Antibody (A38918)
Anti-STX8 Antibody (A38918)
Overview
Specifications
Images
Enlarge Image
Enlarge Image
$430
Product Datasheet
Rabbit polyclonal antibody to STX8 for WB and IHC.
100% Guarantee
Price Match Guarantee
Product Size:
100µl
Quantity:
1
2
3
4
5
6
7
8
9
10
Add To Cart
Request a Quotation
Custom or Bulk Request
Shipping Information
Freight/Packing Charges:
$40
Dispatched from St. Louis, MO.
Lead Time: 6-9 business days.
Specifications
Name
Anti-STX8 Antibody
Description
Rabbit polyclonal antibody to STX8
Specificity
The antibody detects endogenous levels of total STX8 protein.
Applications
WB
,
IHC
Reactivity
Human
Immunogen
Fusion protein corresponding to residues near the C terminal of human syntaxin 8
Host
Rabbit
Clonality
Polyclonal
Conjugate
Unconjugated
Purification
Antigen affinity purification.
Concentration
1.1 mg/mL
Formulation
Rabbit IgG in pH7.4 PBS, 0.05% NaN3, 40% Glycerol.
Storage
Shipped at 4°C. Upon delivery aliquot and store at -20°C. Avoid freeze/thaw cycles.
Synonyms
Syntaxin-8
Suitable Secondaries
Goat Anti-Rabbit IgG H&L Antibody (AP) (A294874)
Goat Anti-Rabbit IgG H&L Antibody (Biotin) (A294795)
Goat Anti-Rabbit IgG H&L Antibody (FITC) (A294887)
Goat Anti-Rabbit IgG H&L Antibody (HRP) (A294888)
See all Anti-Rabbit IgG Secondaries →
Disclaimer
This product is for research use only. It is not intended for diagnostic or therapeutic use.
Scientific Validation Data
Validation Data
(2)
Enlarge Image
Anti-STX8 Antibody (A38918)
Gel: 12% SDS-PAGE Lysate: 40ug Hela cell. Primary antibody: 1/500 dilution Secondary antibody dilution: 1/8000Exposure time: 5seconds
Enlarge Image
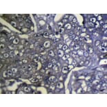
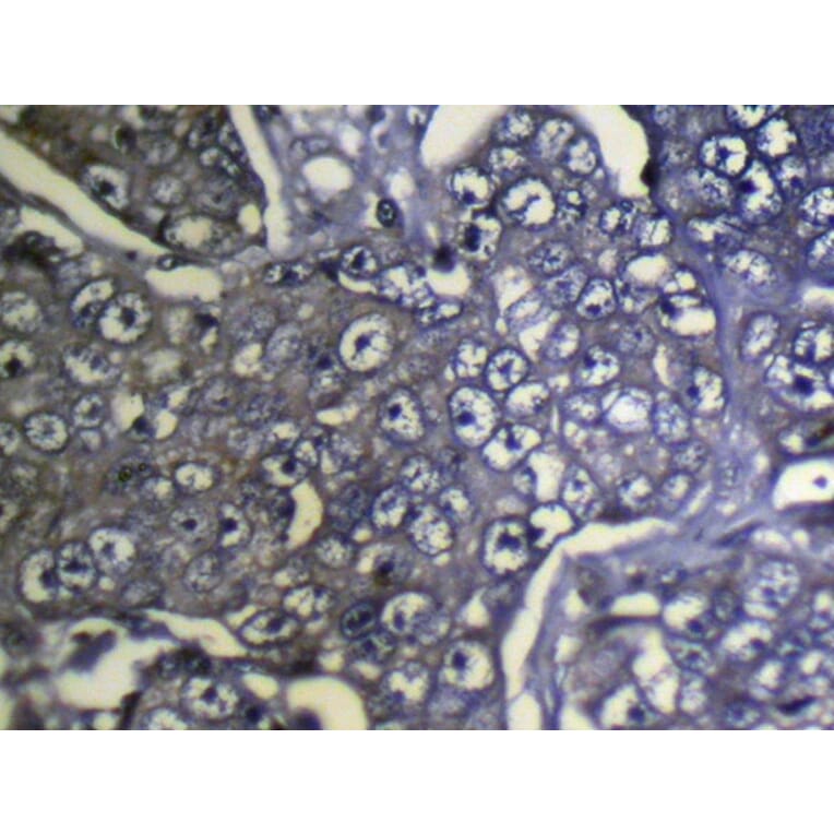
Immunohistochemistry - Anti-STX8 Antibody (A38918)
Immunohistochemical analysis of paraffin-embedded Human Breast tissue using #40127 at dilution 1/100,
Publishing research using Anti-STX8 Antibody (A38918)? Please
let us know
so that we can list the citation on this page.
Alternative products to Anti-STX8 Antibody (A38918)
A11228
Anti-Syntaxin 8 Antibody
Rabbit polyclonal antibody to Syntaxin 8 for WB.
A11228
Anti-Syntaxin 8 Antibody
Rabbit polyclonal antibody to Syntaxin 8 for WB.
Proteins predicted to interact with Syntaxin 8
Predicted protein interactions based upon String database. Revelancy score correlates with probability of interaction.
VTI1B Antibodies
99.9% Relevancy Score
VAMP8 Antibodies
99.9% Relevancy Score
Syntaxin 7 Antibodies
99.9% Relevancy Score
VAMP7 Antibodies
99.6% Relevancy Score
VTI1A Antibodies
99.6% Relevancy Score
Syntaxin 12 Antibodies
99.5% Relevancy Score
Syntaxin 3 Antibodies
98.6% Relevancy Score
alpha SNAP Antibodies
98.4% Relevancy Score
YKT6 Antibodies
98.4% Relevancy Score
Top