Primary Antibodies
Secondary Antibodies
Proteins & Peptides
ELISA Kits
About Us
Contact Us
Sign In/Register
0
ISO 9001:2015 Certified
Live Customer Support
4.5/5 on Trustpilot
100% Quality Guarantee
Home
Primary Antibodies
SLC26A1 Antibodies
Anti-Sulfate anion transporter 1 Antibody (A44750)
Anti-Sulfate anion transporter 1 Antibody (A44750)
Overview
Specifications
Images
Enlarge Image
$430
Product Datasheet
Rabbit polyclonal antibody to Sulfate anion transporter 1 for IHC.
100% Guarantee
Price Match Guarantee
Product Size:
100µl
Quantity:
1
2
3
4
5
6
7
8
9
10
Add To Cart
Request a Quotation
Custom or Bulk Request
Shipping Information
Freight/Packing Charges:
$40
Dispatched from St. Louis, MO.
Lead Time: 6-9 business days.
Specifications
Name
Anti-Sulfate anion transporter 1 Antibody
Description
Rabbit polyclonal antibody to Sulfate anion transporter 1
Specificity
The antibody detects endogenous level of total Sulfate anion transporter 1 polyclonal antibody.
Applications
IHC
Reactivity
Human
Immunogen
Recombinant human Sulfate anion transporter 1 protein
Host
Rabbit
Clonality
Polyclonal
Conjugate
Unconjugated
Purification
Caprylic Acid Ammonium Sulfate Precipitation purified
Concentration
1.0 mg/mL
Formulation
Preservative: 0.03% Proclin 300 Constituents: 50% Glycerol, 0.01M PBS, PH 7.4
Storage
Shipped at 4°C. Upon delivery aliquot and store at -20°C. Avoid freeze/thaw cycles.
Synonyms
SAT-1, SAT1, Solute carrier family 26 member 1
Suitable Secondaries
Goat Anti-Rabbit IgG H&L Antibody (AP) (A294874)
Goat Anti-Rabbit IgG H&L Antibody (Biotin) (A294795)
Goat Anti-Rabbit IgG H&L Antibody (FITC) (A294887)
Goat Anti-Rabbit IgG H&L Antibody (HRP) (A294888)
See all Anti-Rabbit IgG Secondaries →
Disclaimer
This product is for research use only. It is not intended for diagnostic or therapeutic use.
Scientific Validation Data
Validation Data
(1)
Enlarge Image
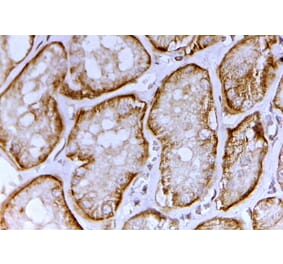
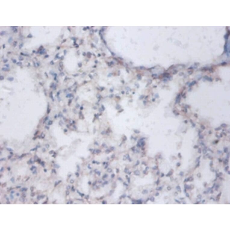
Immunohistochemistry - Anti-Sulfate anion transporter 1 Antibody (A44750)
Immunohistochemical analysis of paraffin-embedded human using #42375 at dilution of 1: 100.
Publishing research using Anti-Sulfate anion transporter 1 Antibody (A44750)? Please
let us know
so that we can list the citation on this page.
Alternative products to Anti-Sulfate anion transporter 1 Antibody (A44750)
A82562
Anti-SLC26A1 Antibody
Goat polyclonal antibody to SLC26A1 for ELISA and IHC.
A82562
Anti-SLC26A1 Antibody
Goat polyclonal antibody to SLC26A1 for ELISA and IHC.
Proteins predicted to interact with SLC26A1
Predicted protein interactions based upon String database. Revelancy score correlates with probability of interaction.
GRHPR Antibodies
58.1% Relevancy Score
Band 3 Antibodies
57.1% Relevancy Score
SLC4A4 Antibodies
51.8% Relevancy Score
NADH Dehydrogenase Subunit 4 Antibodies
50.6% Relevancy Score
SLC34A3 Antibodies
48.1% Relevancy Score
ZBTB42 Antibodies
47.4% Relevancy Score
SLC12A6 Antibodies
45.5% Relevancy Score
SLC34A1 Antibodies
44.2% Relevancy Score
CFTR Antibodies
44.1% Relevancy Score
Top