ISO 9001:2015 Certified
Live Customer Support
4.5/5 on Trustpilot
100% Quality Guarantee

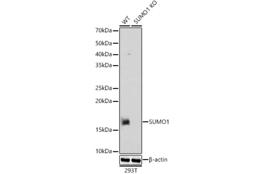
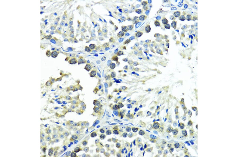
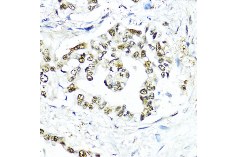
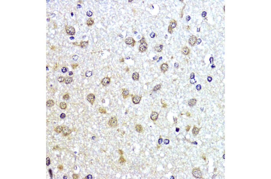
Anti-Sumo 1 Antibody (A307946)

Rabbit polyclonal antibody to Sumo 1 for WB, IHC and ICC/IF.

Shipping Information

$40
Dispatched from St. Louis, MO.
Lead Time: 7-10 business days.
Name
Anti-Sumo 1 Antibody
Description
Rabbit polyclonal antibody to Sumo 1.
Applications
WB, IHC, ICC/IF
Dilutions
WB: 1:500-1:1,000, IHC: 1:50-1:100, ICC/IF: 1:50-1:200
Reactivity
Human, Mouse, Rat
Immunogen
A synthetic peptide corresponding to a sequence within amino acids 40-100 of human SUMO1 (NP_003343.1).
Sequence
MTTHLKKLKESYCQRQGVPMNSLRFLFEGQRIADNHTPKELGMEEEDVIEVYQEQTGGHST
Host
Rabbit
Clonality
Polyclonal
Isotype
IgG
Conjugate

Unconjugated

Purification
Affinity purification.
Concentration
Lot Specific
Molecular Weight
16 kDa / 80 kDa
Product Form
Liquid
Formulation
Supplied in Phosphate Buffered Saline, pH 7.3, with 50% Glycerol and 0.01% Thiomersal.
Storage
Shipped at 4°C. Upon delivery aliquot and store at -20°C. Avoid freeze/thaw cycles.
Synonyms
DAP1, GAP modifying protein 1, GAP-modifying protein 1, GMP 1, GMP1, OFC10, PIC 1, PIC1, SENP2, Sentrin, Sentrin 1, Small ubiquitin related modifier 1, Small ubiquitin-like modifier 1, Small ubiquitin-related modifier 1, SMT3, SMT3 homolog 3, SMT3 suppressor of mif two 3 homolog 1, SMT3, yeast, homolog 3, Smt3C, SMT3H3, SUMO-1, SUMO1, SUMO1_HUMAN, Ubiquitin homology domain protein PIC1, Ubiquitin Like 1, Ubiquitin like protein SMT3C, Ubiquitin like protein UBL1, Ubiquitin-homology domain protein PIC1, Ubiquitin-like protein SMT3C, Ubiquitin-like protein UBL1, UBL 1, UBL1
Disclaimer
This product is for research use only. It is not intended for diagnostic or therapeutic use.
Publishing research using Anti-Sumo 1 Antibody (A307946)? Please let us know so that we can list the citation on this page.

Alternative products to Anti-Sumo 1 Antibody (A307946)