ISO 9001:2015 Certified
Live Customer Support
4.5/5 on Trustpilot
100% Quality Guarantee

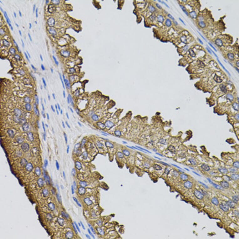
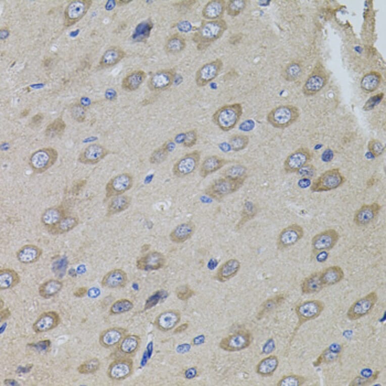
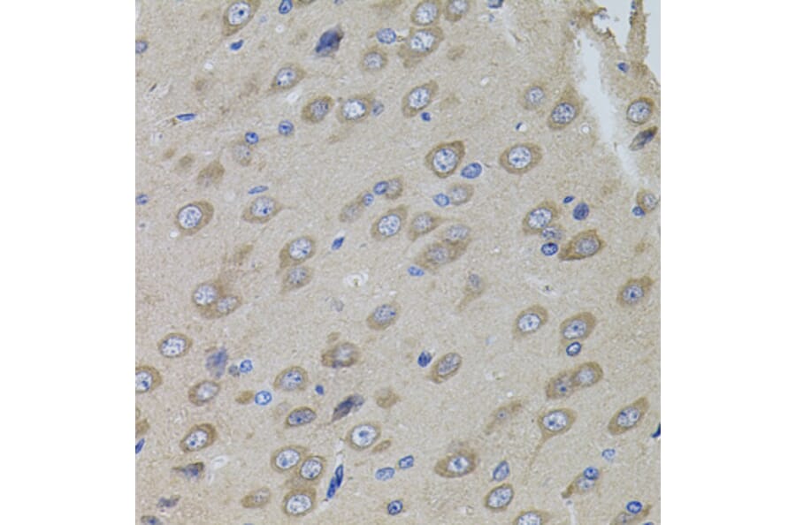
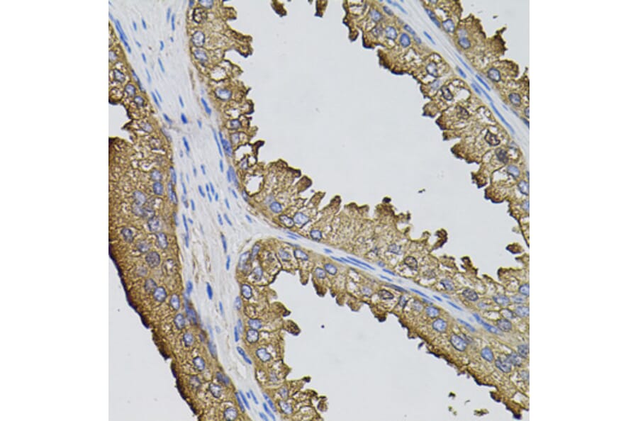
Anti-Sumo 3 Antibody (A14349)

Rabbit polyclonal antibody to Sumo 3 for WB and IHC.

Shipping Information

$40
Dispatched from St. Louis, MO.
Lead Time: 7-10 business days.
Name
Anti-Sumo 3 Antibody
Description
Rabbit polyclonal antibody to Sumo 3.
Applications
WB, IHC
Dilutions
WB: 1:1,000-1:2,000, IHC: 1:50-1:100
Reactivity
Human, Mouse, Rat
Immunogen
A synthetic peptide corresponding to a sequence within amino acids 40-103 of human SUMO3 (P55854).
Sequence
SKLMKAYCERQGLSMRQIRFRFDGQPINETDTPAQLEMEDEDTIDVFQQQTGGVPESSLAGHSF
Host
Rabbit
Clonality
Polyclonal
Isotype
IgG
Conjugate

Unconjugated

Purification
Affinity purification.
Concentration
Lot Specific
Molecular Weight
19 kDa
Product Form
Liquid
Formulation
Supplied in Phosphate Buffered Saline, pH 7.3, with 50% Glycerol and 0.01% Thiomersal.
Storage
Shipped at 4°C. Upon delivery aliquot and store at -20°C. Avoid freeze/thaw cycles.
Disclaimer
This product is for research use only. It is not intended for diagnostic or therapeutic use.
Publishing research using Anti-Sumo 3 Antibody (A14349)? Please let us know so that we can list the citation on this page.

Alternative products to Anti-Sumo 3 Antibody (A14349)