Primary Antibodies
Secondary Antibodies
Proteins & Peptides
ELISA Kits
About Us
Contact Us
Sign In/Register
0
ISO 9001:2015 Certified
Live Customer Support
4.5/5 on Trustpilot
100% Quality Guarantee
Home
Primary Antibodies
SUMO1 Antibodies
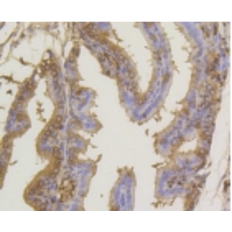
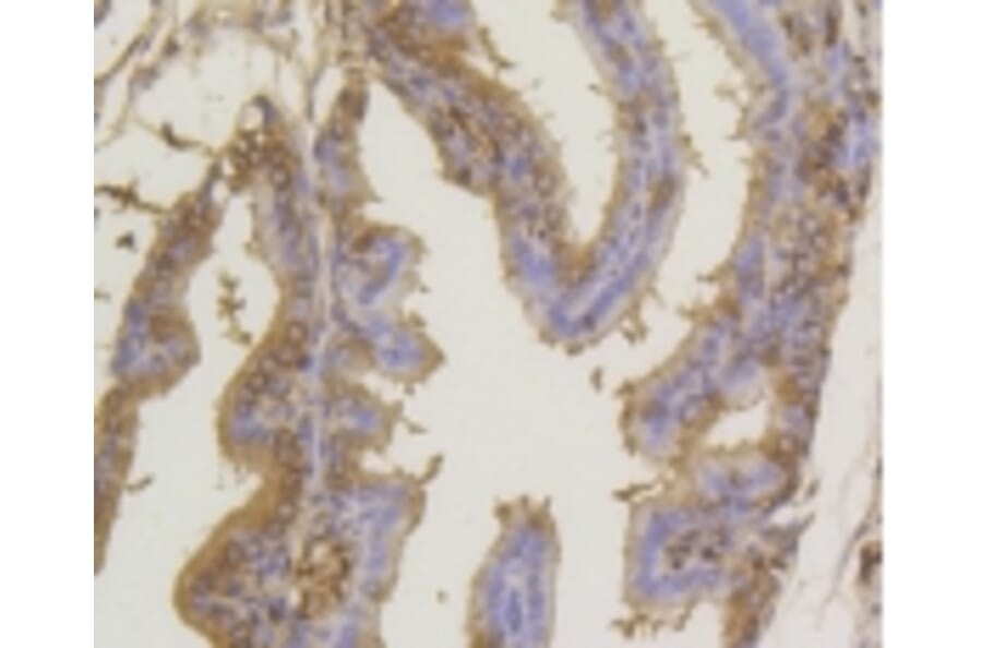
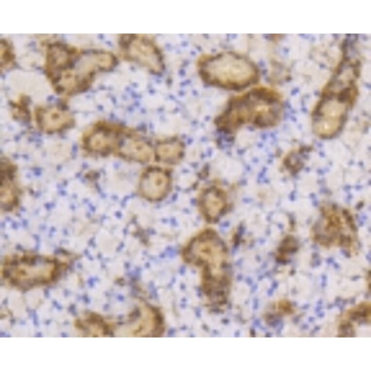
Anti-SUMO1 Antibody (A32353)
Anti-SUMO1 Antibody (A32353)
Overview
Specifications
Images
Enlarge Image
Enlarge Image
Enlarge Image
Enlarge Image
Enlarge Image
Enlarge Image
Enlarge Image
Enlarge Image
+1
$455
Rabbit monoclonal antibody to SUMO1 for WB, ICC/IF, IHC, FC and ChIP.
100% Guarantee
Price Match Guarantee
Product Size:
50µl
100µl
Quantity:
1
2
3
4
5
6
7
8
9
10
Add To Cart
Request a Quotation
Custom or Bulk Request
Shipping Information
Freight/Packing Charges:
$40
Dispatched from St. Louis, MO.
Lead Time: 7-10 business days.
Specifications
Name
Anti-SUMO1 Antibody
Description
Rabbit monoclonal antibody to SUMO1
Specificity
This antibody detects endogenous levels of SUMO1 and does not cross-react with related proteins.
Applications
WB
,
ICC/IF
,
IHC
, FC,
ChIP
Reactivity
Human, Mouse, Rat
Immunogen
Recombinant antibody.
Host
Rabbit
Clonality
Monoclonal
Conjugate
Unconjugated
Molecular Weight
~ 12 kDa
Purity
Protein A affinity purified
Product Form
Recombinant Rabbit Monoclonal Antibody. 1*TBS (pH7.4), 1%BSA, 40%Glycerol. Preservative: 0.05% Sodium Azide.
Synonyms
GAP-modifying protein 1, GMP1, Sentrin, Small ubiquitin-related modifier 1, SMT3 homolog 3, SMT3C, SMT3H3, SUMO-1, Ubiquitin-homology domain protein PIC1, Ubiquitin-like protein SMT3C, Ubiquitin-like protein UBL1, UBL1
Suitable Secondaries
Goat Anti-Rabbit IgG H&L Antibody (AP) (A294874)
Goat Anti-Rabbit IgG H&L Antibody (Biotin) (A294795)
Goat Anti-Rabbit IgG H&L Antibody (FITC) (A294887)
Goat Anti-Rabbit IgG H&L Antibody (HRP) (A294888)
See all Anti-Rabbit IgG Secondaries →
Disclaimer
This product is for research use only. It is not intended for diagnostic or therapeutic use.
Scientific Validation Data
Validation Data
(8)
Enlarge Image
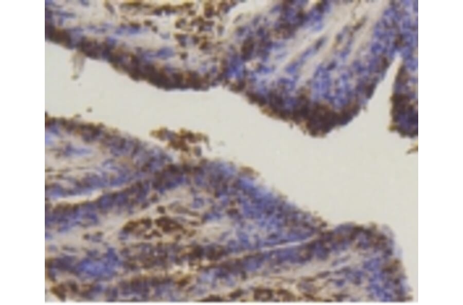
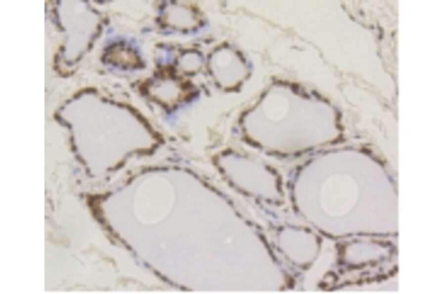
Anti-SUMO1 Antibody (A32353)
For details please refer to datasheet.
Enlarge Image
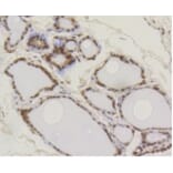
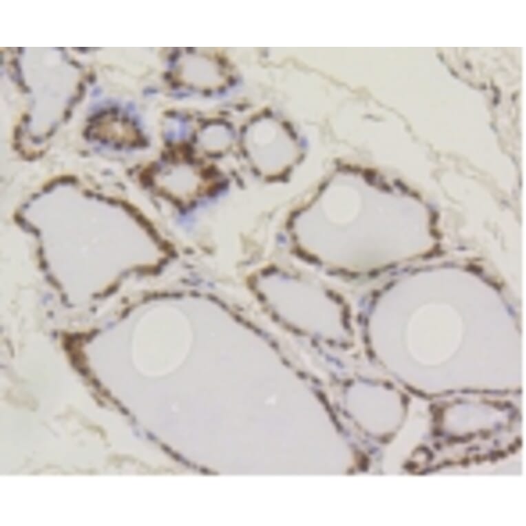
Anti-SUMO1 Antibody (A32353)
For details please refer to datasheet.
Enlarge Image
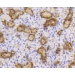
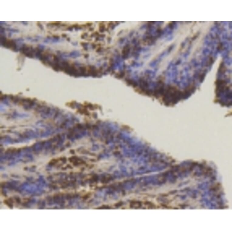
Anti-SUMO1 Antibody (A32353)
For details please refer to datasheet.
Enlarge Image
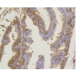
Anti-SUMO1 Antibody (A32353)
For details please refer to datasheet.
Enlarge Image
Anti-SUMO1 Antibody (A32353)
For details please refer to datasheet.
Enlarge Image
Anti-SUMO1 Antibody (A32353)
For details please refer to datasheet.
Enlarge Image
Anti-SUMO1 Antibody (A32353)
For details please refer to datasheet.
Enlarge Image
Anti-SUMO1 Antibody (A32353)
For details please refer to datasheet.
Show more images
Publishing research using Anti-SUMO1 Antibody (A32353)? Please
let us know
so that we can list the citation on this page.
Alternative products to Anti-SUMO1 Antibody (A32353)
(4)
A394
Anti-SUMO1 Antibody [4D12]
Rat monoclonal (4D12) antibody to SUMO1 for WB, IF, IHC-Fr and ELISA.
(5)
A250266
Anti-SUMO-1 Antibody [SM1/495]
Mouse monoclonal [SM1/495] antibody to SUMO-1 for Flow Cytometry, IF, WB and IHC-P.
(3)
A30008
Anti-SUMO1 Antibody
Rabbit polyclonal antibody to SUMO1 for WB, IHC, ICC, IF and IP.
(4)
A34242
Anti-SUMO1 Antibody
Rabbit polyclonal antibody to SUMO1 for WB, IHC, IF and IP.
(5)
A253448
Anti-SUMO-1 Antibody [SUMO1/1188] - BSA and Azide free
Mouse monoclonal [SUMO1/1188] antibody to SUMO-1 for Flow Cytometry, IF, WB and IHC-P.
(5)
A250268
Anti-SUMO-1 Antibody [SUMO1/1188]
Mouse monoclonal [SUMO1/1188] antibody to SUMO-1 for Flow Cytometry, IF, WB and IHC-P.
(5)
A253446
Anti-SUMO-1 Antibody [SM1/495] - BSA and Azide free
Mouse monoclonal [SM1/495] antibody to SUMO-1 for Flow Cytometry, IF, WB and IHC-P.
(3)
A35316
Anti-Sumo1 Antibody
Rabbit polyclonal antibody to Sumo1 for WB, IHC and IF.
A250267
Anti-SUMO-1 Antibody [SPM571]
Mouse monoclonal [SPM571] antibody to SUMO-1 for Flow Cytometry, IF, WB and IHC-P.
A253447
Anti-SUMO-1 Antibody [SPM571] - BSA and Azide free
Mouse monoclonal [SPM571] antibody to SUMO-1 for Flow Cytometry, IF, WB and IHC-P.
(4)
A394
Anti-SUMO1 Antibody [4D12]
Rat monoclonal (4D12) antibody to SUMO1 for WB, IF, IHC-Fr and ELISA.
(5)
A250266
Anti-SUMO-1 Antibody [SM1/495]
Mouse monoclonal [SM1/495] antibody to SUMO-1 for Flow Cytometry, IF, WB and IHC-P.
(3)
A30008
Anti-SUMO1 Antibody
Rabbit polyclonal antibody to SUMO1 for WB, IHC, ICC, IF and IP.
(4)
A34242
Anti-SUMO1 Antibody
Rabbit polyclonal antibody to SUMO1 for WB, IHC, IF and IP.
(5)
A253448
Anti-SUMO-1 Antibody [SUMO1/1188] - BSA and Azide free
Mouse monoclonal [SUMO1/1188] antibody to SUMO-1 for Flow Cytometry, IF, WB and IHC-P.
(5)
A250268
Anti-SUMO-1 Antibody [SUMO1/1188]
Mouse monoclonal [SUMO1/1188] antibody to SUMO-1 for Flow Cytometry, IF, WB and IHC-P.
(5)
A253446
Anti-SUMO-1 Antibody [SM1/495] - BSA and Azide free
Mouse monoclonal [SM1/495] antibody to SUMO-1 for Flow Cytometry, IF, WB and IHC-P.
(3)
A35316
Anti-Sumo1 Antibody
Rabbit polyclonal antibody to Sumo1 for WB, IHC and IF.
A250267
Anti-SUMO-1 Antibody [SPM571]
Mouse monoclonal [SPM571] antibody to SUMO-1 for Flow Cytometry, IF, WB and IHC-P.
A253447
Anti-SUMO-1 Antibody [SPM571] - BSA and Azide free
Mouse monoclonal [SPM571] antibody to SUMO-1 for Flow Cytometry, IF, WB and IHC-P.
See all SUMO1 Antibodies
Proteins predicted to interact with SUMO1
Predicted protein interactions based upon String database. Revelancy score correlates with probability of interaction.
PML Antibodies
99.9% Relevancy Score
SAE1 Antibodies
99.9% Relevancy Score
RanBP2 Antibodies
99.9% Relevancy Score
SENP1 Antibodies
99.9% Relevancy Score
PIAS2 Antibodies
99.9% Relevancy Score
UBA2 Antibodies
99.9% Relevancy Score
Daxx Antibodies
99.9% Relevancy Score
UBC9 Antibodies
99.9% Relevancy Score
RanGAP1 Antibodies
99.9% Relevancy Score
Top