ISO 9001:2015 Certified
Live Customer Support
4.5/5 on Trustpilot
100% Quality Guarantee

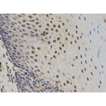
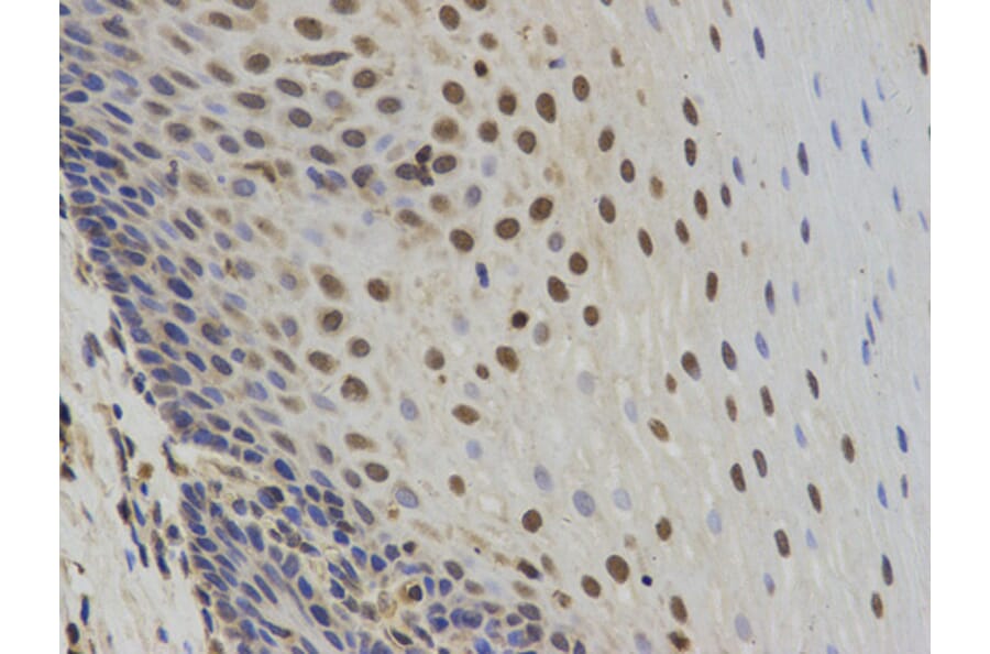
Anti-SUMO2 Antibody (A30456)

$435

Rabbit polyclonal antibody to SUMO2 for WB, IHC and IF.

Shipping Information

$40
Dispatched from St. Louis, MO.
Lead Time: 7-10 business days.
Name
Anti-SUMO2 Antibody
Description
Rabbit polyclonal antibody to SUMO2
Specificity
SUMO2 pAb detects endogenous levels of SUMO2 protein.
Applications
WB, IHC, IF
Reactivity
Human, Mouse, Rat
Immunogen
Recombinant full length Human SUMO2.
Host
Rabbit
Clonality
Polyclonal
Conjugate

Unconjugated

Molecular Weight
~ 11 kDa
Purity
The antibody was affinity-purified from rabbit antiserum by affinity-chromatography using epitope-specific immunogen and the purity is > 95% (by SDS-PAGE).
Product Form
1mg/ml in PBSwith0.1%SodiumAzide,50%Glycerol.
Synonyms
HSMT3, Sentrin-2, Small ubiquitin-related modifier 2, SMT3 homolog 2, SMT3B, SMT3H2, SUMO-2, SUMO-3, Ubiquitin-like protein SMT3B
Disclaimer
This product is for research use only. It is not intended for diagnostic or therapeutic use.
Publishing research using Anti-SUMO2 Antibody (A30456)? Please let us know so that we can list the citation on this page.

Alternative products to Anti-SUMO2 Antibody (A30456)

Proteins predicted to interact with SUMO2

Predicted protein interactions based upon String database. Revelancy score correlates with probability of interaction.
99.9% Relevancy Score
99.9% Relevancy Score
99.9% Relevancy Score
99.8% Relevancy Score
99.8% Relevancy Score
99.8% Relevancy Score
99.7% Relevancy Score
99.5% Relevancy Score
99.5% Relevancy Score