Primary Antibodies
Secondary Antibodies
Proteins & Peptides
ELISA Kits
About Us
Contact Us
Sign In/Register
0
ISO 9001:2015 Certified
Live Customer Support
4.5/5 on Trustpilot
100% Quality Guarantee
Home
Primary Antibodies
SUMO3 Antibodies
Anti-SUMO3 Antibody (A48050)
Anti-SUMO3 Antibody (A48050)
Overview
Specifications
Images
Enlarge Image
Enlarge Image
$780
Product Datasheet
Rabbit polyclonal antibody to SUMO3 for ELISA, WB and IHC.
100% Guarantee
Price Match Guarantee
Product Size:
100µl
Quantity:
1
2
3
4
5
6
7
8
9
10
Add To Cart
Request a Quotation
Custom or Bulk Request
Shipping Information
Freight/Packing Charges:
$40
Dispatched from St. Louis, MO.
Lead Time: 6-9 business days.
Specifications
Name
Anti-SUMO3 Antibody
Description
Rabbit polyclonal antibody to SUMO3
Applications
ELISA
,
WB
,
IHC
Reactivity
Human, Mouse, Rat
Immunogen
Raised against a 13 amino acid peptide near the carboxy terminus of human SUMO3.
Host
Rabbit
Clonality
Polyclonal
Conjugate
Unconjugated
Purification
Affinity chromatography purified via peptide column
Formulation
Supplied in phosphate-buffered saline with 0.02% Sodium Azide.
Storage
Shipped at 4°C. Upon delivery aliquot and store at -20°C. Avoid freeze/thaw cycles.
Synonyms
Small ubiquitin-related modifier 3, SMT3 homolog 1, SMT3A, SMT3H1, SUMO-2, SUMO-3, Ubiquitin-like protein SMT3A
Suitable Secondaries
Goat Anti-Rabbit IgG H&L Antibody (AP) (A294874)
Goat Anti-Rabbit IgG H&L Antibody (Biotin) (A294795)
Goat Anti-Rabbit IgG H&L Antibody (FITC) (A294887)
Goat Anti-Rabbit IgG H&L Antibody (HRP) (A294888)
See all Anti-Rabbit IgG Secondaries →
Disclaimer
This product is for research use only. It is not intended for diagnostic or therapeutic use.
Scientific Validation Data
Validation Data
(2)
Enlarge Image
Anti-SUMO3 Antibody (A48050)
Western blot analysis of SUMO3 in mouse liver tissue lysate with SUMO3 antibody at (A) and (B) 2 µg/mL.
Enlarge Image
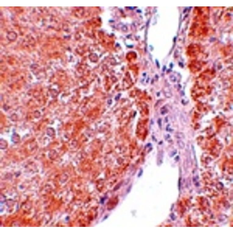
Immunohistochemistry - Anti-SUMO3 Antibody (A48050)
Immunohistochemistry of SUMO2/3 in rat liver tissue with SUMO2/3 antibody at 5 µg/mL.
Publishing research using Anti-SUMO3 Antibody (A48050)? Please
let us know
so that we can list the citation on this page.
Alternative products to Anti-SUMO3 Antibody (A48050)
(3)
A30692
Anti-SUMO3 Antibody
Rabbit polyclonal antibody to SUMO3 for WB, IHC and IF.
(3)
A35367
Anti-SUMO3 Antibody
Rabbit polyclonal antibody to SUMO3 for WB and IHC.
(3)
A30692
Anti-SUMO3 Antibody
Rabbit polyclonal antibody to SUMO3 for WB, IHC and IF.
(3)
A35367
Anti-SUMO3 Antibody
Rabbit polyclonal antibody to SUMO3 for WB and IHC.
Proteins predicted to interact with SUMO3
Predicted protein interactions based upon String database. Revelancy score correlates with probability of interaction.
UBC9 Antibodies
99.9% Relevancy Score
UBA2 Antibodies
98.9% Relevancy Score
SENP2 Antibodies
98.1% Relevancy Score
SAE1 Antibodies
97.9% Relevancy Score
SENP1 Antibodies
97.6% Relevancy Score
PIAS1 Antibodies
97.6% Relevancy Score
PIAS4 Antibodies
94.6% Relevancy Score
PIAS2 Antibodies
92.6% Relevancy Score
RanGAP1 Antibodies
90.9% Relevancy Score
Top