ISO 9001:2015 Certified
Live Customer Support
4.5/5 on Trustpilot
100% Quality Guarantee

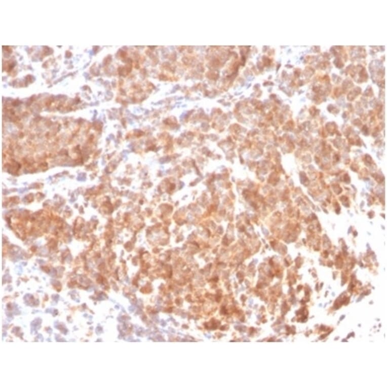
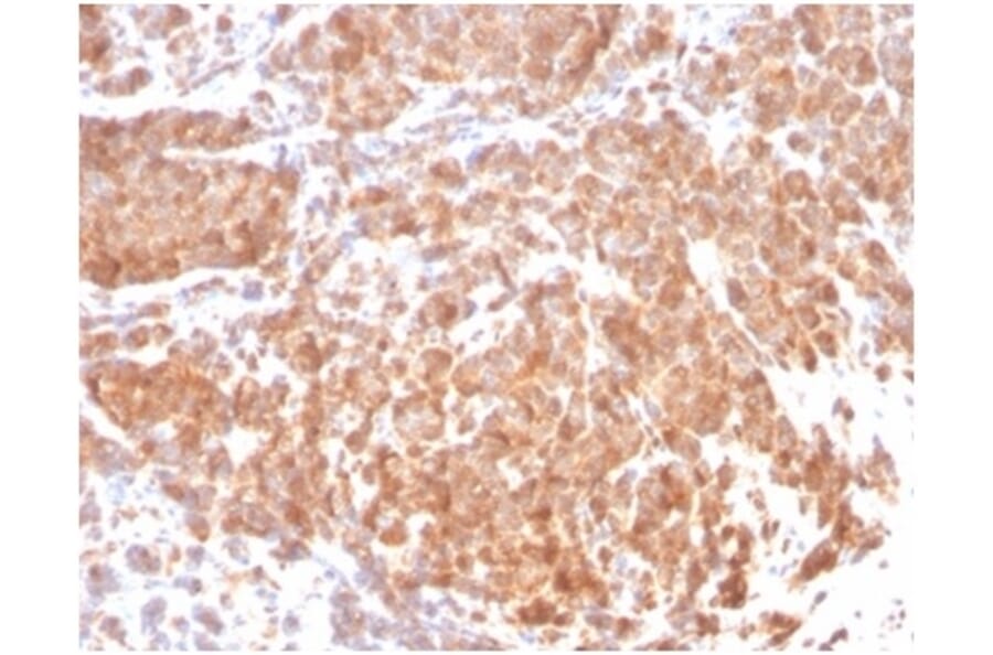
Anti-Superoxide Dismutase 1 Antibody [SOD1/3923] - BSA and Azide free (A278383)

Mouse monoclonal [SOD1/3923] antibody to Superoxide Dismutase 1 for Flow Cytometry, IF and IHC-P.

Alternative Formats and ConjugatesAlternative Formats

Shipping Information

$40
Dispatched from St. Louis, MO.
Lead Time: 5-8 business days.
Name
Anti-Superoxide Dismutase 1 Antibody [SOD1/3923] - BSA and Azide free
Description
Mouse monoclonal [SOD1/3923] antibody to Superoxide Dismutase 1.
Specificity
Cu-Zn superoxide dismutase-1 (SOD-1) is a well-characterized cytosolic scavenger of oxygen free radicals that requires copper and zinc binding to potentiate its enzymatic activity. Enzymatically, SOD-1 facilitates the dismutation of oxygen radicals to hydrogen peroxide and also catalyzes pro-oxidant reactions, which include the peroxidase activity and hydroxyl radical generating activity. SOD-1 is ubiquitously expressed in somatic cells and functions as a homodimer. Defects in the gene encoding SOD-1 have been implicated in the progression of neurological diseases, including amyotrophic lateral sclerosis (ALS), a neurodegenerative disease characterized by the loss of spinal motor neurons, Down syndrome and Alzheimer s disease. In familial ALS, several mutations in SOD-1 predominate, resulting in the loss of zinc binding, the loss of scavenging activity of SOD-1, and correlate with an increase in neurotoxicity and motor neuron death.
Applications
Flow Cytometry, IF, IHC-P
Dilutions
Flow Cytometry: 1-2 µg/million cells, IF: 1-2 µg/ml, IHC-P: 1-2 µg/ml
Reactivity
Human
Immunogen
Recombinant full-length human SOD1 protein.
Host
Mouse
Clonality
Monoclonal
Clone ID
SOD1/3923
Isotype
IgG2b
Light Chains
kappa
Conjugate

Unconjugated

Purification
Protein A/G chromatography.
Concentration
1 mg/ml
Molecular Weight
16 kDa
Product Form
Liquid
Formulation
Supplied in 10mM Phosphate Buffered Saline; without Sodium Azide and carrier free.
Storage
Shipped at 4°C. Upon delivery aliquot and store at -20°C. Avoid freeze / thaw cycles.
General Notes
This monoclonal antibody is also available in a different formulation with BSA and Sodium Azide - Anti-Superoxide Dismutase 1 Antibody [SOD1/3923] (A277795).
Synonyms
hSod1, Superoxide dismutase [Cu-Zn]
Disclaimer
This product is for research use only. It is not intended for diagnostic or therapeutic use.
Publishing research using Anti-Superoxide Dismutase 1 Antibody [SOD1/3923] - BSA and Azide free (A278383)? Please let us know so that we can list the citation on this page.

Alternative products to Anti-Superoxide Dismutase 1 Antibody [SOD1/3923] - BSA and Azide free (A278383)

Proteins predicted to interact with SOD1

Predicted protein interactions based upon String database. Revelancy score correlates with probability of interaction.
99.9% Relevancy Score
99.8% Relevancy Score
99.7% Relevancy Score
99.6% Relevancy Score
99.4% Relevancy Score
99.2% Relevancy Score
98.9% Relevancy Score
97.6% Relevancy Score
97.5% Relevancy Score