Western Blot - Anti-Superoxide Dismutase 3/EC-SOD Antibody (A10038)
Western blot analysis of extracts of various cell lines, using Anti-Superoxide Dismutase 3/EC-SOD Antibody (A10038) at 1:1,000 dilution. The secondary antibody was Goat Anti-Rabbit IgG H&L Antibody (HRP) at 1:10,000 dilution. Lysates/proteins were present at 25µg per lane. The blocking buffer used was 3% non-fat dry milk in TBST.
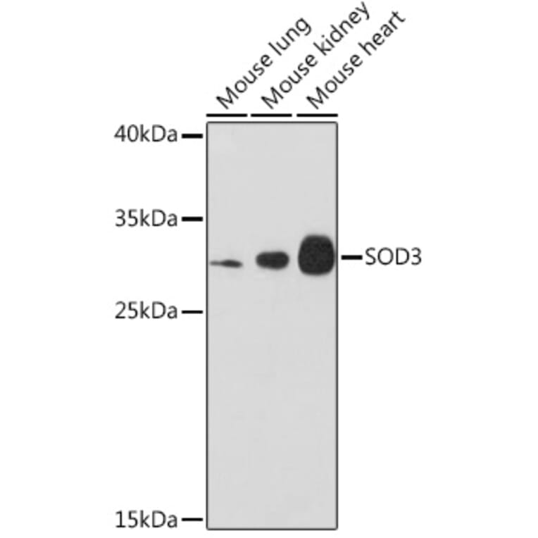
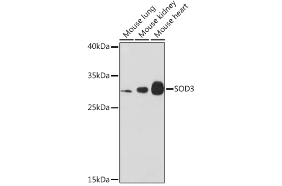
Western Blot - Anti-Superoxide Dismutase 3/EC-SOD Antibody (A10038)
Western blot analysis of extracts of various cell lines, using Anti-Superoxide Dismutase 3/EC-SOD Antibody (A10038) at 1:3,000 dilution. The secondary antibody was Goat Anti-Rabbit IgG H&L Antibody (HRP) at 1:10,000 dilution. Lysates/proteins were present at 25µg per lane. The blocking buffer used was 3% non-fat dry milk in TBST. Detection was with a ECL Basic Kit. Exposure time: 90s.
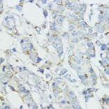
Immunohistochemistry analysis of paraffin-embedded human mammary cancer using Anti-Superoxide Dismutase 3/EC-SOD Antibody (A10038) at a dilution of 1:100 (40x lens). Perform microwave antigen retrieval with 10 mM PBS buffer pH 7.2 before commencing with IHC staining protocol.
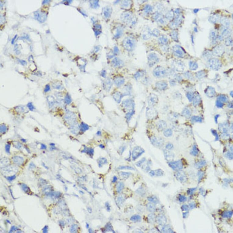
Immunohistochemistry analysis of paraffin-embedded rat ovary using Anti-Superoxide Dismutase 3/EC-SOD Antibody (A10038) at a dilution of 1:100 (40x lens). Perform microwave antigen retrieval with 10 mM PBS buffer pH 7.2 before commencing with IHC staining protocol.
Immunohistochemistry analysis of paraffin-embedded mouse pancreas using Anti-Superoxide Dismutase 3/EC-SOD Antibody (A10038) at a dilution of 1:100 (40x lens). Perform microwave antigen retrieval with 10 mM PBS buffer pH 7.2 before commencing with IHC staining protocol.