ISO 9001:2015 Certified
Live Customer Support
4.5/5 on Trustpilot
100% Quality Guarantee

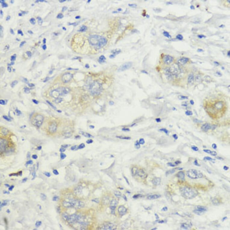
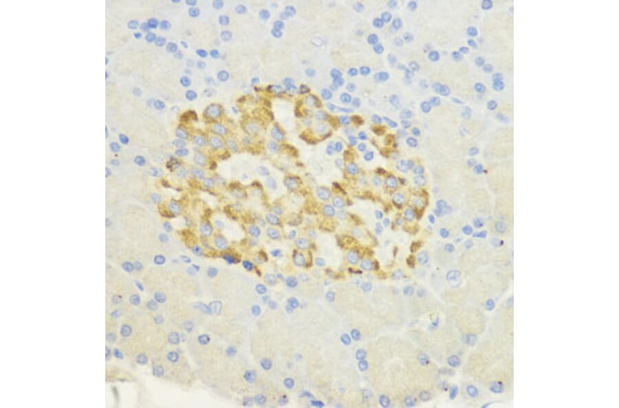
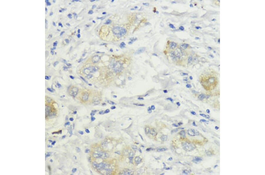
Anti-SURF4 Antibody (A89199)

Rabbit polyclonal antibody to SURF4 for WB, IHC and ICC/IF.

Shipping Information

$40
Dispatched from St. Louis, MO.
Lead Time: 7-10 business days.
Name
Anti-SURF4 Antibody
Description
Rabbit polyclonal antibody to SURF4.
Applications
WB, IHC, ICC/IF
Dilutions
WB: 1:500-1:1,000, IHC: 1:50-1:200, ICC/IF: 1:50-1:200
Reactivity
Human, Mouse, Rat
Immunogen
A synthetic peptide corresponding to a sequence within amino acids 50-150 of human SURF4 (NP_001267719.1).
Sequence
ACFGLFGIIALQTIAYSILWDLKFLMRNLALGGGLLLLLAESRSEGKSMFAGVPTMRESSPKQYMQLGGRVLLVLMFMTLLHFDASFFSIVQNIVGTALMI
Host
Rabbit
Clonality
Polyclonal
Isotype
IgG
Conjugate

Unconjugated

Purification
Affinity purification.
Concentration
Lot Specific
Molecular Weight
30 kDa
Product Form
Liquid
Formulation
Supplied in Phosphate Buffered Saline, pH 7.3, with 50% Glycerol and 0.01% Thiomersal.
Storage
Shipped at 4°C. Upon delivery aliquot and store at -20°C. Avoid freeze/thaw cycles.
Synonyms
SURF-4, Surfeit locus protein 4
Disclaimer
This product is for research use only. It is not intended for diagnostic or therapeutic use.
Publishing research using Anti-SURF4 Antibody (A89199)? Please let us know so that we can list the citation on this page.

Alternative products to Anti-SURF4 Antibody (A89199)

Proteins predicted to interact with SURF4

Predicted protein interactions based upon String database. Revelancy score correlates with probability of interaction.
96.2% Relevancy Score
94.9% Relevancy Score
92% Relevancy Score
88.7% Relevancy Score
87% Relevancy Score
84.9% Relevancy Score
81.3% Relevancy Score
81.3% Relevancy Score