Western Blot - Anti-Surfactant Protein A/PSAP Antibody (A11614)
Western blot analysis of extracts of various cell lines, using Anti-Surfactant Protein A/PSAP Antibody (A11614) at 1:1,000 dilution. The secondary antibody was Goat Anti-Rabbit IgG H&L Antibody (HRP) at 1:10,000 dilution. Lysates/proteins were present at 25µg per lane. The blocking buffer used was 3% non-fat dry milk in TBST. Detection was with a ECL Basic Kit. Exposure time: 10s.
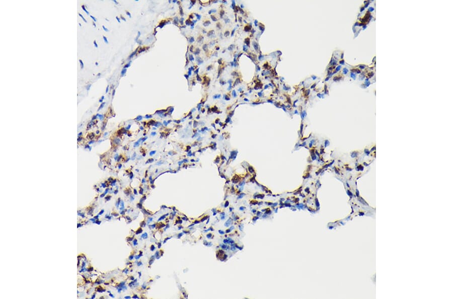
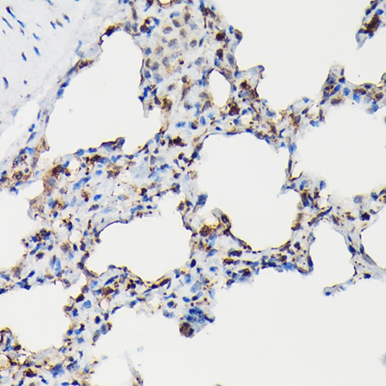
Immunohistochemistry - Anti-Surfactant Protein A/PSAP Antibody (A11614)
Immunohistochemistry analysis of paraffin-embedded rat lung using Anti-Surfactant Protein A/PSAP Antibody (A11614) at a dilution of 1:50 (40x lens). Perform high pressure antigen retrieval with 10 mM citrate buffer pH 6.0 before commencing with IHC staining protocol.
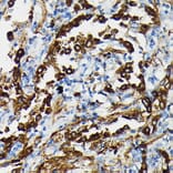
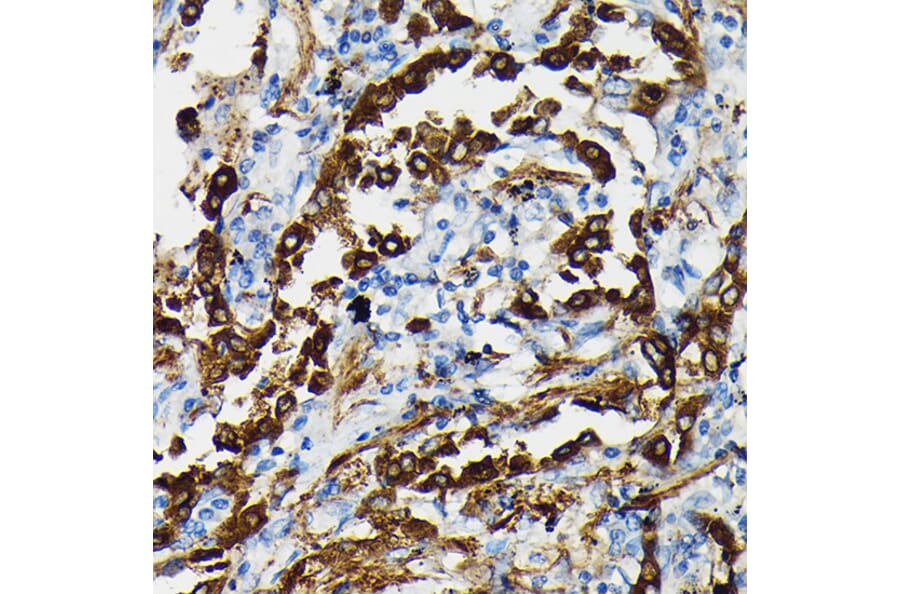
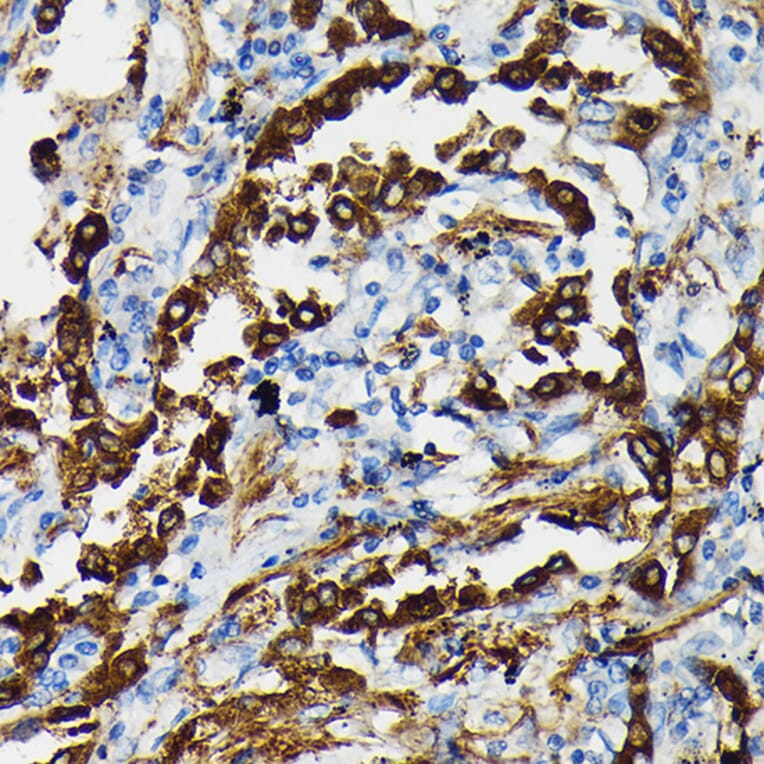
Immunohistochemistry - Anti-Surfactant Protein A/PSAP Antibody (A11614)
Immunohistochemistry analysis of paraffin-embedded human lung cancer using Anti-Surfactant Protein A/PSAP Antibody (A11614) at a dilution of 1:50 (40x lens). Perform high pressure antigen retrieval with 10 mM citrate buffer pH 6.0 before commencing with IHC staining protocol.
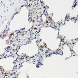
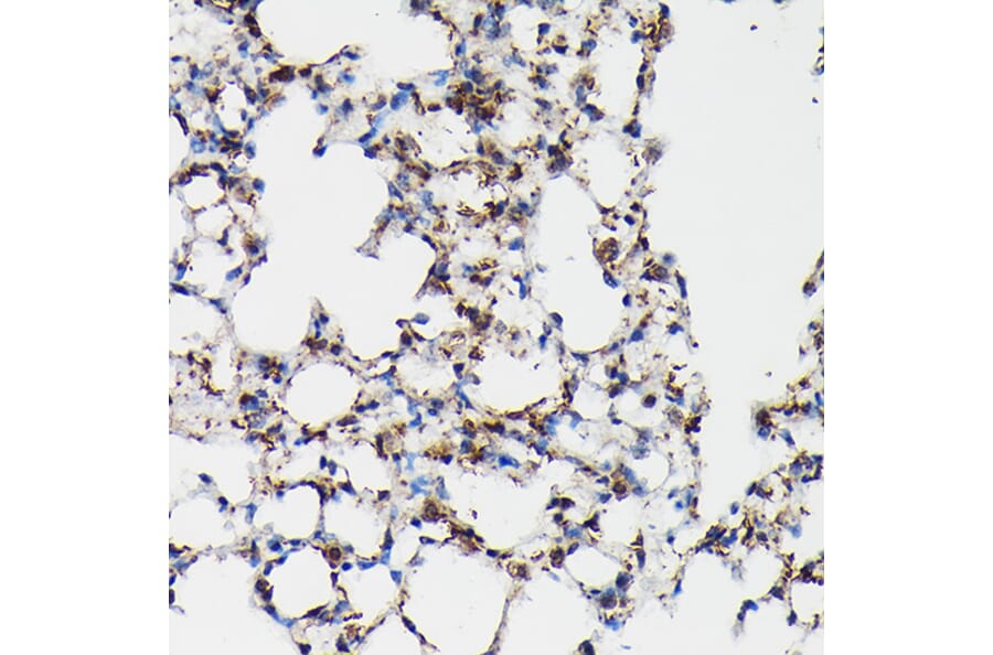
Immunohistochemistry - Anti-Surfactant Protein A/PSAP Antibody (A11614)
Immunohistochemistry analysis of paraffin-embedded mouse lung using Anti-Surfactant Protein A/PSAP Antibody (A11614) at a dilution of 1:50 (40x lens). Perform high pressure antigen retrieval with 10 mM citrate buffer pH 6.0 before commencing with IHC staining protocol.
Publishing research using Anti-Surfactant Protein A/PSAP Antibody (A11614)? Please let us know so that we can list the citation on this page.