ISO 9001:2015 Certified
Live Customer Support
4.5/5 on Trustpilot
100% Quality Guarantee

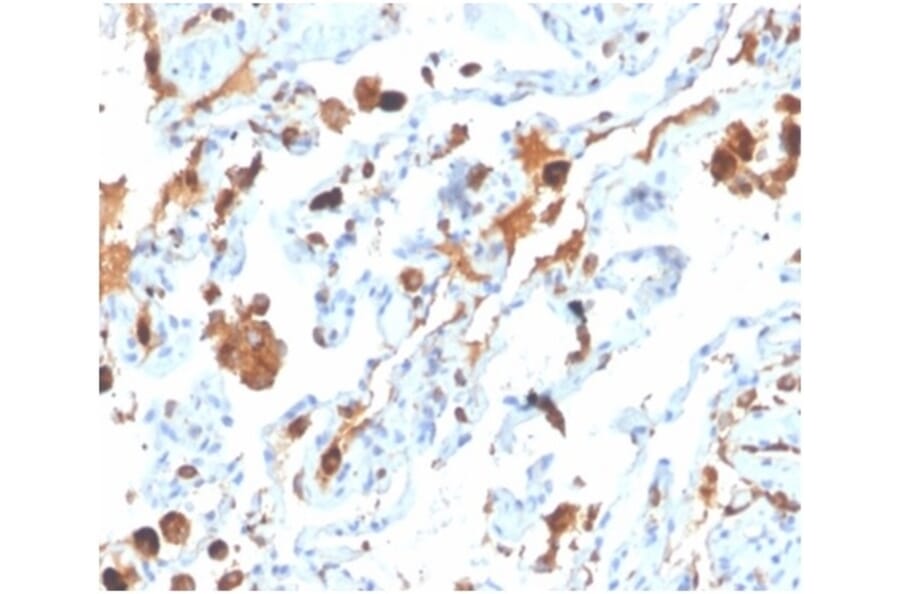
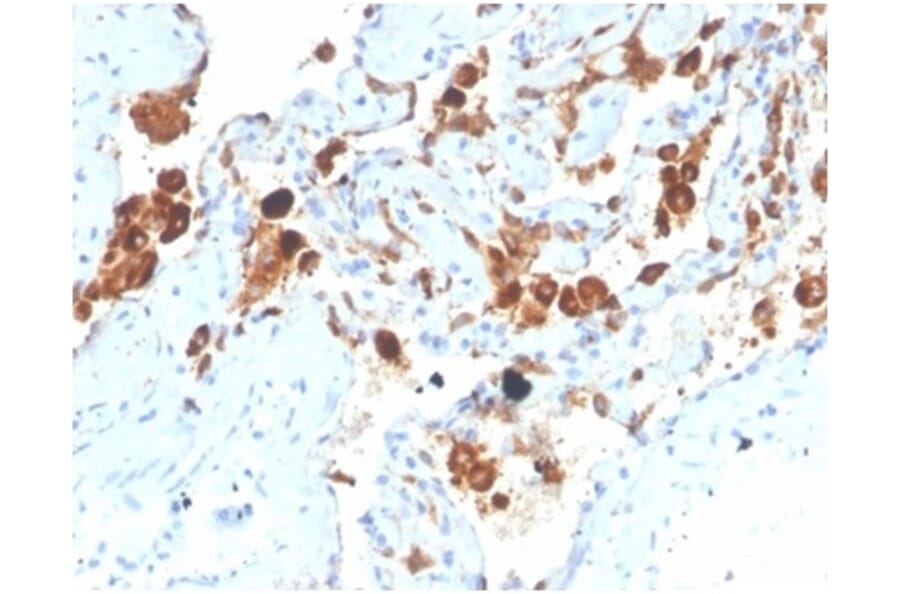
Anti-Surfactant Protein D Antibody [SFTPD/4363] - BSA and Azide free (A278380)

Mouse monoclonal [SFTPD/4363] antibody to Surfactant Protein D for IHC-P.

Alternative Formats and ConjugatesAlternative Formats

Shipping Information

$40
Dispatched from St. Louis, MO.
Lead Time: 5-8 business days.
Name
Anti-Surfactant Protein D Antibody [SFTPD/4363] - BSA and Azide free
Description
Mouse monoclonal [SFTPD/4363] antibody to Surfactant Protein D.
Specificity
Pulmonary surfactant is primarily responsible for lowering the surface tension at the air-liquid interface in the alveoli, a process that is essential for normal respiration. Pulmonary surfactant is a mixture of phospholipids and proteins, including four distinct surfactant-associated proteins (SPs), SP-A, SP-B, SP-C, SP-D. SP-B and SP-C are predominantly hydrophobic proteins that associate with lipids to promote the absorption of surfactant phospholipids and to reduce the surface tension in the alveoli. SP-A and SP-D are large multimeric proteins belonging to the family of calcium-dependent lectins, designated Collectins, which contribute to the innate immune system. Both SP-A and SP-D have been shown to protect against microbial challenge through binding to the lipid components of the bacterial cell wall and facilitating the rapid removal of microbials.
Applications
IHC-P
Dilutions
IHC-P: 1-2 µg/ml
Reactivity
Human
Immunogen
Recombinant fragment, around amino acids 241-336, of human Surfactant Protein D. The exact sequence is proprietary.
Host
Mouse
Clonality
Monoclonal
Clone ID
SFTPD/4363
Isotype
IgG2c
Light Chains
kappa
Conjugate

Unconjugated

Purification
Protein A/G chromatography.
Concentration
1 mg/ml
Molecular Weight
43 kDa
Product Form
Liquid
Formulation
Supplied in 10mM Phosphate Buffered Saline; without Sodium Azide and carrier free.
Storage
Shipped at 4°C. Upon delivery aliquot and store at -20°C. Avoid freeze / thaw cycles.
General Notes
This monoclonal antibody is also available in a different formulation with BSA and Sodium Azide - Anti-Surfactant Protein D Antibody [SFTPD/4363] (A277792).
Synonyms
COLEC7, Collectin-7, Lung surfactant protein D, PSP-D, PSPD, Pulmonary surfactant-associated protein D, SFTP4, SFTPD, SP-D
Disclaimer
This product is for research use only. It is not intended for diagnostic or therapeutic use.
Publishing research using Anti-Surfactant Protein D Antibody [SFTPD/4363] - BSA and Azide free (A278380)? Please let us know so that we can list the citation on this page.

Alternative products to Anti-Surfactant Protein D Antibody [SFTPD/4363] - BSA and Azide free (A278380)

Proteins predicted to interact with Surfactant Protein D

Predicted protein interactions based upon String database. Revelancy score correlates with probability of interaction.
99% Relevancy Score
99% Relevancy Score
95.9% Relevancy Score
93.9% Relevancy Score
89% Relevancy Score
86.4% Relevancy Score
85.1% Relevancy Score
83.7% Relevancy Score