Primary Antibodies
Secondary Antibodies
Proteins & Peptides
ELISA Kits
About Us
Contact Us
Sign In/Register
0
ISO 9001:2015 Certified
Live Customer Support
4.5/5 on Trustpilot
100% Quality Guarantee
Home
Primary Antibodies
SV2A Antibodies
Anti-SV2A Antibody (A46887)
Anti-SV2A Antibody (A46887)
Overview
Specifications
Images
Enlarge Image
Enlarge Image
$430
Product Datasheet
Rabbit polyclonal antibody to SV2A for IHC.
100% Guarantee
Price Match Guarantee
Product Size:
100µl
Quantity:
1
2
3
4
5
6
7
8
9
10
Add To Cart
Request a Quotation
Custom or Bulk Request
Shipping Information
Freight/Packing Charges:
$40
Dispatched from St. Louis, MO.
Lead Time: 6-9 business days.
Specifications
Name
Anti-SV2A Antibody
Description
Rabbit polyclonal antibody to SV2A
Specificity
The antibody detects endogenous levels of total SV2A protein.
Applications
IHC
Reactivity
Human, Mouse, Rat
Immunogen
Synthetic peptide corresponding to a region derived from internal residues of human synaptic vesicle glycoprotein 2A
Host
Rabbit
Clonality
Polyclonal
Conjugate
Unconjugated
Purification
Antigen affinity purification.
Concentration
0.8 mg/mL
Formulation
Supplied in PBS, pH 7.3, containing 0.05% sodium azide and 50% glycerol.
Storage
Shipped at 4°C. Upon delivery aliquot and store at -20°C. Avoid freeze/thaw cycles.
Synonyms
KIAA0736, Synaptic vesicle glycoprotein 2A
Suitable Secondaries
Goat Anti-Rabbit IgG H&L Antibody (AP) (A294874)
Goat Anti-Rabbit IgG H&L Antibody (Biotin) (A294795)
Goat Anti-Rabbit IgG H&L Antibody (FITC) (A294887)
Goat Anti-Rabbit IgG H&L Antibody (HRP) (A294888)
See all Anti-Rabbit IgG Secondaries →
Disclaimer
This product is for research use only. It is not intended for diagnostic or therapeutic use.
Scientific Validation Data
Validation Data
(2)
Enlarge Image
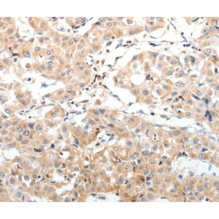
Immunohistochemistry - Anti-SV2A Antibody (A46887)
Immunohistochemical analysis of paraffin-embedded Human liver cancer tissue using #37263 at dilution 1/25.
Enlarge Image
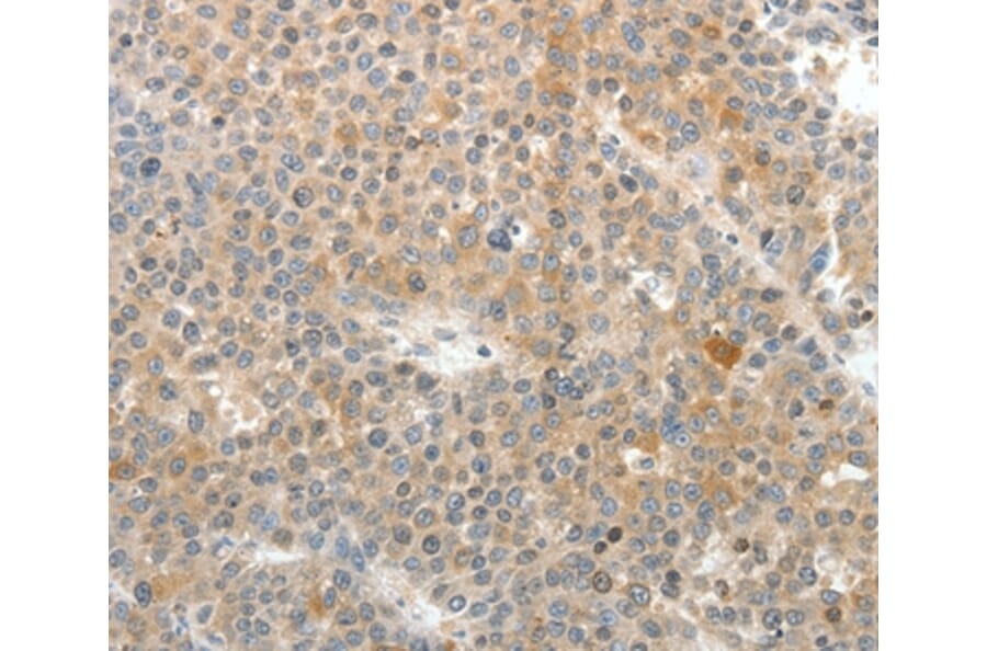
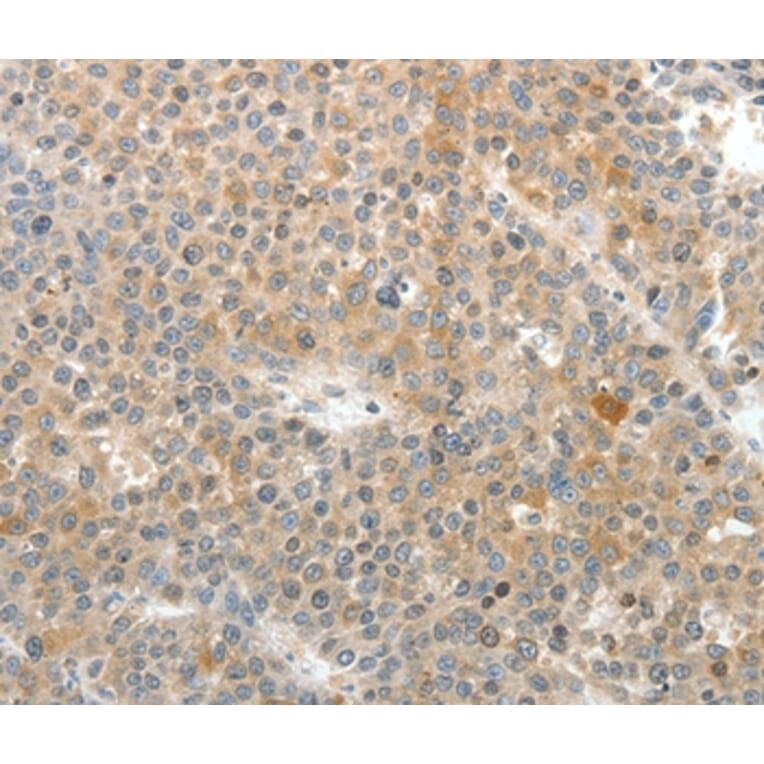
Immunohistochemistry - Anti-SV2A Antibody (A46887)
Immunohistochemical analysis of paraffin-embedded Human lung cancer tissue using #37263 at dilution 1/25.
Publishing research using Anti-SV2A Antibody (A46887)? Please
let us know
so that we can list the citation on this page.
Alternative products to Anti-SV2A Antibody (A46887)
(2)
A84251
Anti-SV2A Antibody
Goat polyclonal antibody to SV2A for ELISA and IF.
A87797
Anti-SV2A Antibody
Rabbit polyclonal antibody to SV2A for WB.
(2)
A84251
Anti-SV2A Antibody
Goat polyclonal antibody to SV2A for ELISA and IF.
A87797
Anti-SV2A Antibody
Rabbit polyclonal antibody to SV2A for WB.
Proteins predicted to interact with SV2A
Predicted protein interactions based upon String database. Revelancy score correlates with probability of interaction.
Synaptophysin Antibodies
97.7% Relevancy Score
Synaptotagmin 1 Antibodies
94.1% Relevancy Score
SV2B Antibodies
90.9% Relevancy Score
Laminin alpha 1 Antibodies
76.5% Relevancy Score
Synapsin I Antibodies
73.3% Relevancy Score
SNAP25 Antibodies
72.6% Relevancy Score
LAMC2 Antibodies
72.1% Relevancy Score
VAMP2 Antibodies
71.2% Relevancy Score
Laminin Antibodies
70.2% Relevancy Score
Top