ISO 9001:2015 Certified
Live Customer Support
4.5/5 on Trustpilot
100% Quality Guarantee

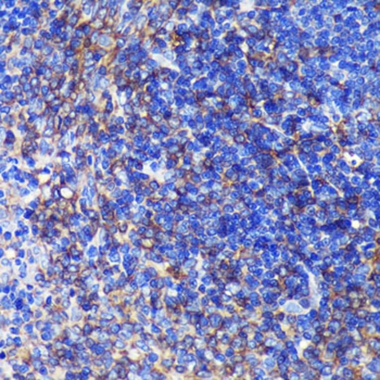
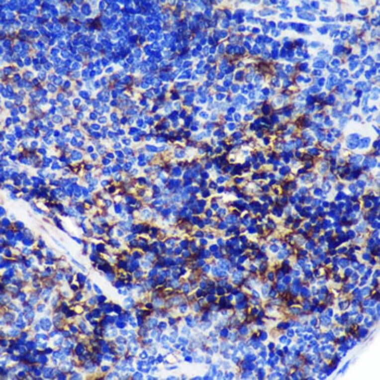
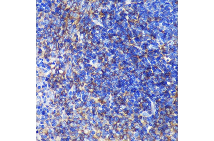
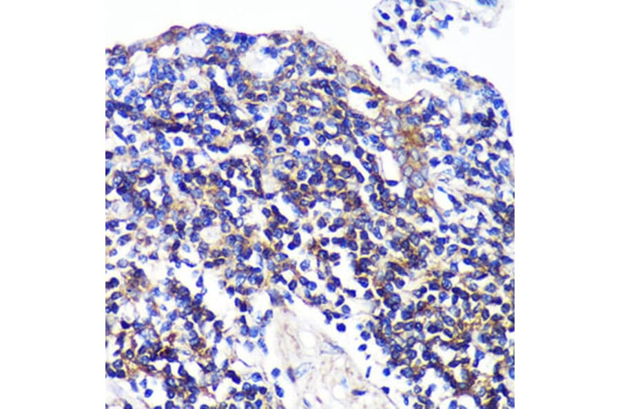
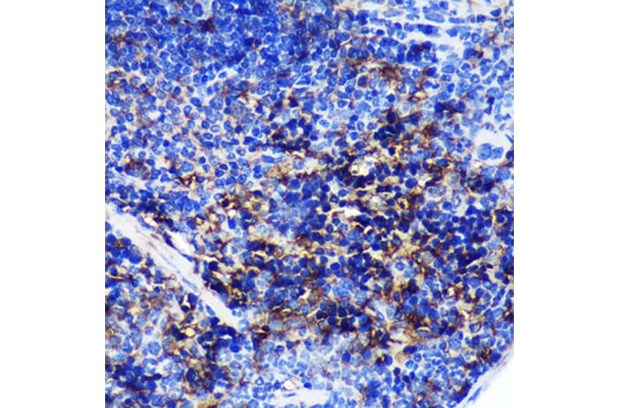
Anti-SWAP70 Antibody (A90932)

Rabbit polyclonal antibody to SWAP70 for WB, IHC and ICC/IF.

Shipping Information

$40
Dispatched from St. Louis, MO.
Lead Time: 7-10 business days.
Name
Anti-SWAP70 Antibody
Description
Rabbit polyclonal antibody to SWAP70.
Applications
WB, IHC, ICC/IF
Dilutions
WB: 1:500-1:2,000, IHC: 1:50-1:200, ICC/IF: 1:50-1:200
Reactivity
Human, Mouse, Rat
Immunogen
Recombinant fusion protein containing a sequence corresponding to amino acids 316-585 of human SWAP70 (NP_055870.2).
Sequence
HKEARQRRKELRKKQLAEQEELERQMKELQAANESKQQELEAVRKKLEEAASRAAEEEKKRLQTQVELQARFSTELEREKLIRQQMEEQVAQKSSELEQYLQRVRELEDMYLKLQEALEDERQARQDEETVRKLQARLLEEESSKRAELEKWHLEQQQAIQTTEAEKQELENQRVLKEQALQEAMEQLEQLELERKQALEQYEEVKKKLEMATNKTKSWKDKVAHHEGLIRLIEPGSKNPHLITNWGPAAFTEAELEEREKNWKEKKTTE
Host
Rabbit
Clonality
Polyclonal
Isotype
IgG
Conjugate

Unconjugated

Purification
Affinity purification.
Concentration
Lot Specific
Molecular Weight
69 kDa
Product Form
Liquid
Formulation
Supplied in Phosphate Buffered Saline, pH 7.3, with 50% Glycerol and 0.01% Thiomersal.
Storage
Shipped at 4°C. Upon delivery aliquot and store at -20°C. Avoid freeze/thaw cycles.
Synonyms
KIAA0640, SWAP-70, Switch-associated protein 70
Disclaimer
This product is for research use only. It is not intended for diagnostic or therapeutic use.
Publishing research using Anti-SWAP70 Antibody (A90932)? Please let us know so that we can list the citation on this page.

Alternative products to Anti-SWAP70 Antibody (A90932)

Proteins predicted to interact with SWAP70

Predicted protein interactions based upon String database. Revelancy score correlates with probability of interaction.
72.8% Relevancy Score
61.7% Relevancy Score
61.4% Relevancy Score
60.4% Relevancy Score
59.5% Relevancy Score
59.2% Relevancy Score
58.4% Relevancy Score
57.8% Relevancy Score
57.3% Relevancy Score