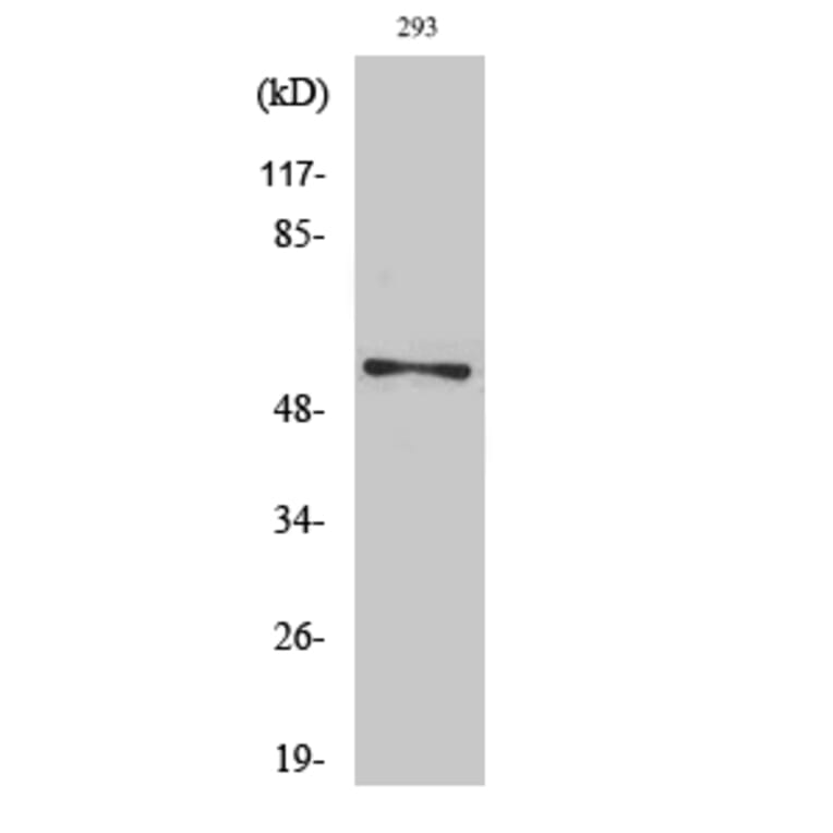
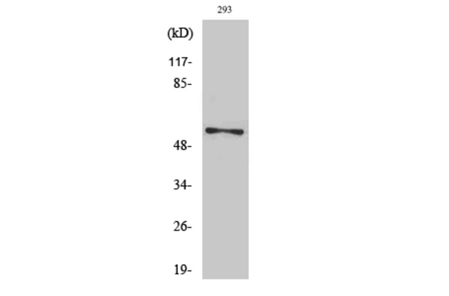
Western Blot - Anti-Synaptotagmin (phospho Ser309) Antibody (A94563)
Western blot analysis of lysates from 293 cells treated with Sobital 0.4M 30' using Anti-Synaptotagmin (phospho Ser309) Antibody. The right hand lane represents a negative control, where the antibody is blocked by the immunising peptide.
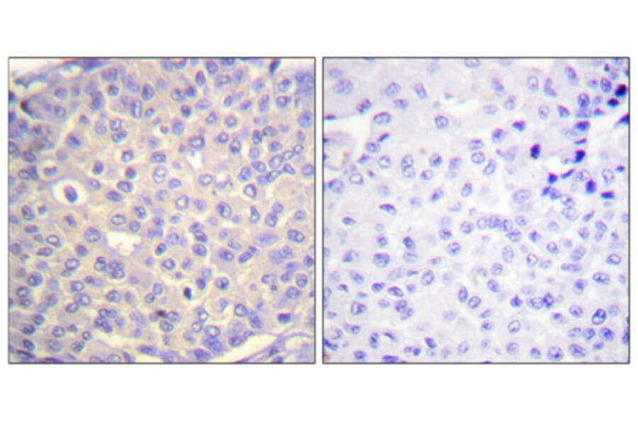
Immunohistochemical analysis of paraffin-embedded human breast carcinoma using Anti-Synaptotagmin (phospho Ser309) Antibody. The right hand panel represents a negative control, where the antibody was pre-incubated with the immunising peptide.
Immunohistochemical analysis of paraffin-embedded human breast cancer using Anti-Synaptotagmin (phospho Ser309) Antibody 1:100 (4°C overnight). The right hand panel represents a negative control, where the antibody was pre-incubated with the immunising peptide.
Publishing research using Anti-Synaptotagmin (phospho Ser309) Antibody (A94563)? Please let us know so that we can list the citation on this page.