Primary Antibodies
Secondary Antibodies
Proteins & Peptides
ELISA Kits
About Us
Contact Us
Sign In/Register
0
ISO 9001:2015 Certified
Live Customer Support
4.5/5 on Trustpilot
100% Quality Guarantee
Home
Primary Antibodies
Synaptogyrin 2 Antibodies
Anti-SYNGR2 Antibody (A47635)
Anti-SYNGR2 Antibody (A47635)
Overview
Specifications
Images
Enlarge Image
Enlarge Image
$780
Product Datasheet
Rabbit polyclonal antibody to SYNGR2 for ELISA, WB and IHC.
100% Guarantee
Price Match Guarantee
Product Size:
100µl
Quantity:
1
2
3
4
5
6
7
8
9
10
Add To Cart
Request a Quotation
Custom or Bulk Request
Shipping Information
Freight/Packing Charges:
$40
Dispatched from St. Louis, MO.
Lead Time: 6-9 business days.
Specifications
Name
Anti-SYNGR2 Antibody
Description
Rabbit polyclonal antibody to SYNGR2
Applications
ELISA
,
WB
,
IHC
Reactivity
Human, Rat
Immunogen
Raised against a 17 amino acid peptide from near the amino terminus of human SYNGR2.
Host
Rabbit
Clonality
Polyclonal
Conjugate
Unconjugated
Purification
Affinity chromatography purified via peptide column
Formulation
Supplied in phosphate-buffered saline with 0.02% Sodium Azide.
Storage
Shipped at 4°C. Upon delivery aliquot and store at -20°C. Avoid freeze/thaw cycles.
Synonyms
Cellugyrin, Synaptogyrin-2
Suitable Secondaries
Goat Anti-Rabbit IgG H&L Antibody (AP) (A294874)
Goat Anti-Rabbit IgG H&L Antibody (Biotin) (A294795)
Goat Anti-Rabbit IgG H&L Antibody (FITC) (A294887)
Goat Anti-Rabbit IgG H&L Antibody (HRP) (A294888)
See all Anti-Rabbit IgG Secondaries →
Disclaimer
This product is for research use only. It is not intended for diagnostic or therapeutic use.
Scientific Validation Data
Validation Data
(2)
Enlarge Image
Anti-SYNGR2 Antibody (A47635)
Western blot analysis of SYNGR2 in human lung tissue lysate with SYNGR2 antibody at (A) 1 and (B) 2 µg/mL.
Enlarge Image
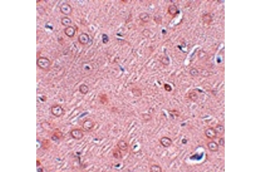
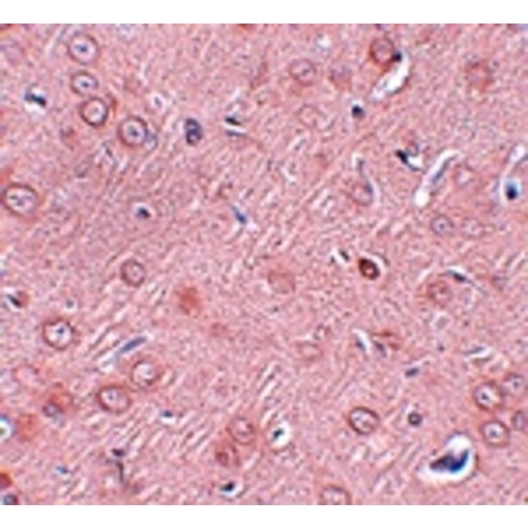
Immunohistochemistry - Anti-SYNGR2 Antibody (A47635)
Immunohistochemistry of SYNGR2 in rat brain tissue with SYNGR2 antibody at 2.5 µg/mL.
Publishing research using Anti-SYNGR2 Antibody (A47635)? Please
let us know
so that we can list the citation on this page.
Alternative products to Anti-SYNGR2 Antibody (A47635)
A82999
Anti-Synaptogyrin 2 Antibody
Goat polyclonal antibody to Synaptogyrin 2 for ELISA and WB.
A82999
Anti-Synaptogyrin 2 Antibody
Goat polyclonal antibody to Synaptogyrin 2 for ELISA and WB.
Proteins predicted to interact with Synaptogyrin 2
Predicted protein interactions based upon String database. Revelancy score correlates with probability of interaction.
EVER2 Antibodies
92.6% Relevancy Score
TMC6 Antibodies
90.7% Relevancy Score
Thymidine Kinase 1 Antibodies
74.3% Relevancy Score
Calnexin Antibodies
64.2% Relevancy Score
TAB1 Antibodies
52.1% Relevancy Score
SCARA3 Antibodies
51% Relevancy Score
GPR52 Antibodies
42% Relevancy Score
C9orf78 Antibodies
41.8% Relevancy Score
Endothelin A Receptor Antibodies
41.4% Relevancy Score
Top