Primary Antibodies
Secondary Antibodies
Proteins & Peptides
ELISA Kits
About Us
Contact Us
Sign In/Register
0
ISO 9001:2015 Certified
Live Customer Support
4.5/5 on Trustpilot
100% Quality Guarantee
Home
Primary Antibodies
Synaptogyrin 3 Antibodies
Anti-SYNGR3 Antibody (A47636)
Anti-SYNGR3 Antibody (A47636)
Overview
Specifications
Images
Enlarge Image
Enlarge Image
$780
Product Datasheet
Rabbit polyclonal antibody to SYNGR3 for ELISA, WB and IHC.
100% Guarantee
Price Match Guarantee
Product Size:
100µl
Quantity:
1
2
3
4
5
6
7
8
9
10
Add To Cart
Request a Quotation
Custom or Bulk Request
Shipping Information
Freight/Packing Charges:
$40
Dispatched from St. Louis, MO.
Lead Time: 6-9 business days.
Specifications
Name
Anti-SYNGR3 Antibody
Description
Rabbit polyclonal antibody to SYNGR3
Applications
ELISA
,
WB
,
IHC
Reactivity
Human, Mouse, Rat
Immunogen
Raised against a 19 amino acid peptide from near the carboxy terminus of human SYNGR3.
Host
Rabbit
Clonality
Polyclonal
Conjugate
Unconjugated
Purification
Affinity chromatography purified via peptide column
Formulation
Supplied in phosphate-buffered saline with 0.02% Sodium Azide.
Storage
Shipped at 4°C. Upon delivery aliquot and store at -20°C. Avoid freeze/thaw cycles.
Synonyms
Synaptogyrin-3
Suitable Secondaries
Goat Anti-Rabbit IgG H&L Antibody (AP) (A294874)
Goat Anti-Rabbit IgG H&L Antibody (Biotin) (A294795)
Goat Anti-Rabbit IgG H&L Antibody (FITC) (A294887)
Goat Anti-Rabbit IgG H&L Antibody (HRP) (A294888)
See all Anti-Rabbit IgG Secondaries →
Disclaimer
This product is for research use only. It is not intended for diagnostic or therapeutic use.
Scientific Validation Data
Validation Data
(2)
Enlarge Image
Anti-SYNGR3 Antibody (A47636)
Western blot analysis of SYNGR3 in mouse brain tissue lysate with SYNGR3 antibody at (A) 1 and (B) 2 µg/mL .
Enlarge Image
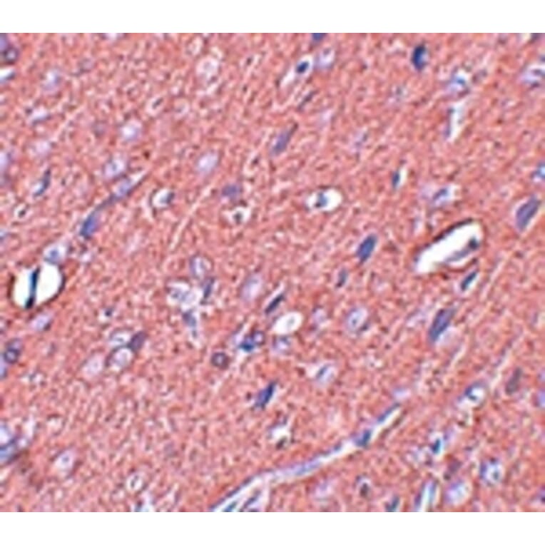
Immunohistochemistry - Anti-SYNGR3 Antibody (A47636)
Immunohistochemistry of SYNGR3 in rat brain tissue with SYNGR3 antibody at 2.5 µg/mL.
Publishing research using Anti-SYNGR3 Antibody (A47636)? Please
let us know
so that we can list the citation on this page.
Proteins predicted to interact with Synaptogyrin 3
Predicted protein interactions based upon String database. Revelancy score correlates with probability of interaction.
Dopamine Transporter Antibodies
94.4% Relevancy Score
Synaptophysin Antibodies
77.4% Relevancy Score
Synaptotagmin 1 Antibodies
71.5% Relevancy Score
SV2A Antibodies
68.8% Relevancy Score
PICK1 Antibodies
67.4% Relevancy Score
VAMP2 Antibodies
67.1% Relevancy Score
alpha Synuclein Antibodies
65.1% Relevancy Score
TAB1 Antibodies
55.1% Relevancy Score
Tau Antibodies
55.1% Relevancy Score
Top