ISO 9001:2015 Certified
Live Customer Support
4.5/5 on Trustpilot
100% Quality Guarantee

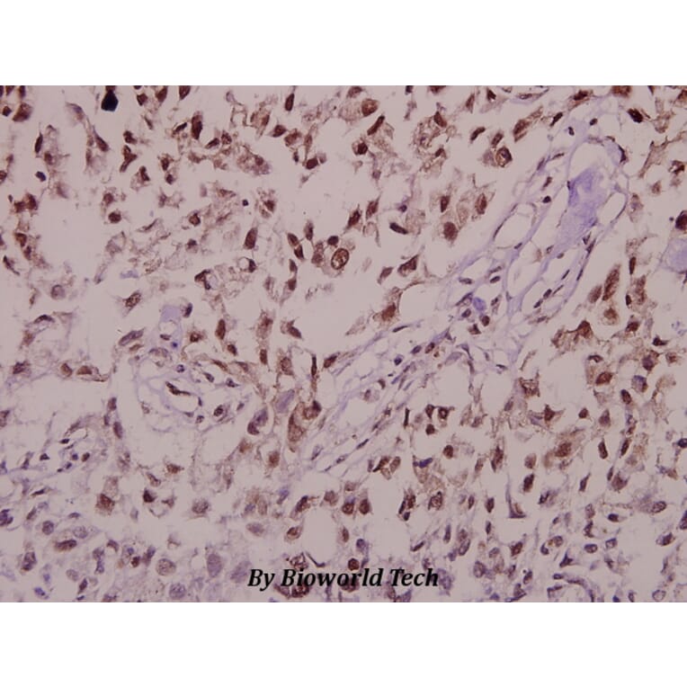
Anti-Synuclein-a (phospho-S129) Antibody (A27567)

$390

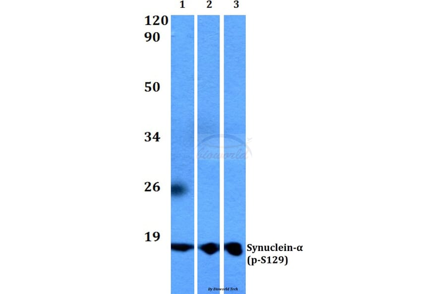
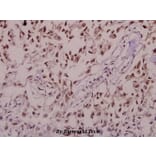
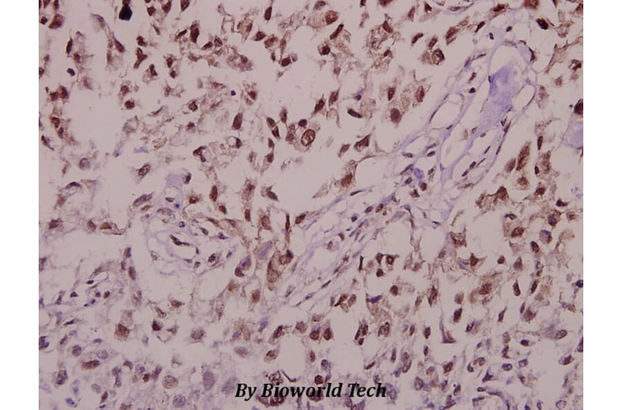
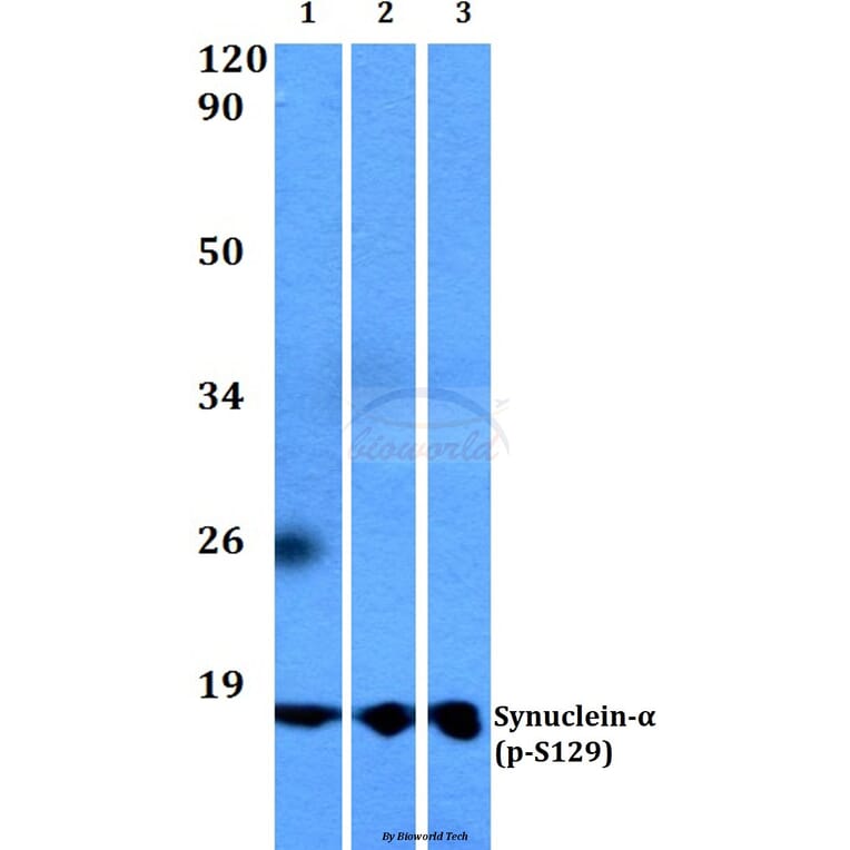
Rabbit polyclonal antibody to Synuclein-a (phospho-S129) for WB and IHC.

Shipping Information

$40
Dispatched from St. Louis, MO.
Lead Time: 7-10 business days.
Name
Anti-Synuclein-a (phospho-S129) Antibody
Description
Rabbit polyclonal antibody to Synuclein-a (phospho-S129)
Specificity
p-Synuclein-a (S129) pAb detects endogenous levels of Synuclein-a protein only when phosphorylated at Ser129
Applications
WB, IHC
Reactivity
Human, Mouse, Rat
Immunogen
Synthetic peptide, corresponding to amino acids 100-150 of Human Synuclein-a.
Host
Rabbit
Clonality
Polyclonal
Conjugate

Unconjugated

Molecular Weight
~ 18 kDa
Purity
The antibody was affinity-purified from rabbit antiserum by affinity-chromatography using epitope-specific immunogen and the purity is > 95% (by SDS-PAGE).
Product Form
1 mg/ml in Phosphate buffered saline (PBS) with 0.05% sodium azide, approx. pH 7.2.
Disclaimer
This product is for research use only. It is not intended for diagnostic or therapeutic use.
Publishing research using Anti-Synuclein-a (phospho-S129) Antibody (A27567)? Please let us know so that we can list the citation on this page.