Primary Antibodies
Secondary Antibodies
Proteins & Peptides
ELISA Kits
About Us
Contact Us
Sign In/Register
0
ISO 9001:2015 Certified
Live Customer Support
4.5/5 on Trustpilot
100% Quality Guarantee
Home
Primary Antibodies
SYVN1 Antibodies
Anti-SYVN1 Antibody (A37839)
Anti-SYVN1 Antibody (A37839)
Overview
Specifications
Images
Enlarge Image
Enlarge Image
$430
Product Datasheet
Rabbit polyclonal antibody to SYVN1 for WB and IHC.
100% Guarantee
Price Match Guarantee
Product Size:
100µl
Quantity:
1
2
3
4
5
6
7
8
9
10
Add To Cart
Request a Quotation
Custom or Bulk Request
Shipping Information
Freight/Packing Charges:
$40
Dispatched from St. Louis, MO.
Lead Time: 6-9 business days.
Specifications
Name
Anti-SYVN1 Antibody
Description
Rabbit polyclonal antibody to SYVN1
Specificity
The antibody detects endogenous levels of total SYVN1 protein.
Applications
WB
,
IHC
Reactivity
Human, Mouse
Immunogen
Fusion protein corresponding to residues near the C terminal of human Synovial apoptosis inhibitor 1, synoviolin
Host
Rabbit
Clonality
Polyclonal
Conjugate
Unconjugated
Purification
Antigen affinity purification.
Concentration
0.5 mg/mL
Formulation
Supplied in PBS, pH 7.3, containing 0.05% sodium azide and 50% glycerol.
Storage
Shipped at 4°C. Upon delivery aliquot and store at -20°C. Avoid freeze/thaw cycles.
Synonyms
E3 ubiquitin-protein ligase synoviolin, HRD1, KIAA1810, RING-type E3 ubiquitin transferase synoviolin, Synovial apoptosis inhibitor 1
Suitable Secondaries
Goat Anti-Rabbit IgG H&L Antibody (AP) (A294874)
Goat Anti-Rabbit IgG H&L Antibody (Biotin) (A294795)
Goat Anti-Rabbit IgG H&L Antibody (FITC) (A294887)
Goat Anti-Rabbit IgG H&L Antibody (HRP) (A294888)
See all Anti-Rabbit IgG Secondaries →
Disclaimer
This product is for research use only. It is not intended for diagnostic or therapeutic use.
Scientific Validation Data
Validation Data
(2)
Enlarge Image
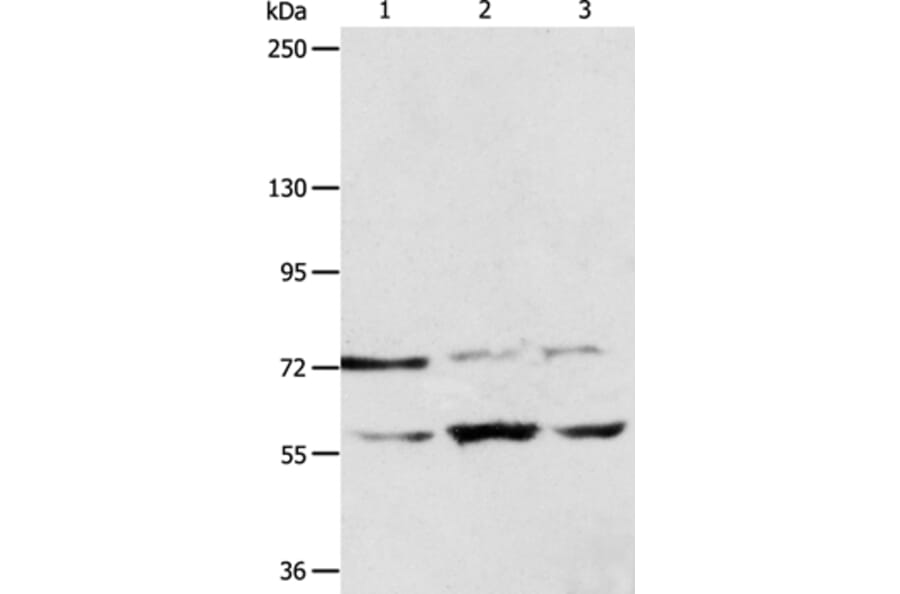
Anti-SYVN1 Antibody (A37839)
Gel: 8% SDS-PAGE Lysates (from left to right): Lovo, hela and 293T cell Amount of lysate: 40ug per lane Primary antibody: 1/100 dilution Secondary antibody dilution: 1/8000 Exposure time: 1 minute
Enlarge Image
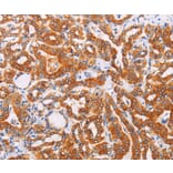
Immunohistochemistry - Anti-SYVN1 Antibody (A37839)
Immunohistochemical analysis of paraffin-embedded Human thyroid cancer tissue using #35945 at dilution 1/10.
Publishing research using Anti-SYVN1 Antibody (A37839)? Please
let us know
so that we can list the citation on this page.
Proteins predicted to interact with SYVN1
Predicted protein interactions based upon String database. Revelancy score correlates with probability of interaction.
SEL1L Antibodies
99.9% Relevancy Score
OS9 Antibodies
99.9% Relevancy Score
VCP Antibodies
99.8% Relevancy Score
AUP1 Antibodies
98.7% Relevancy Score
SELS Antibodies
97.5% Relevancy Score
MARCH6 Antibodies
97.5% Relevancy Score
UBXD8 Antibodies
96.2% Relevancy Score
BIP Antibodies
96.1% Relevancy Score
HERPUD1 Antibodies
92.6% Relevancy Score
Top