ISO 9001:2015 Certified
Live Customer Support
4.5/5 on Trustpilot
100% Quality Guarantee

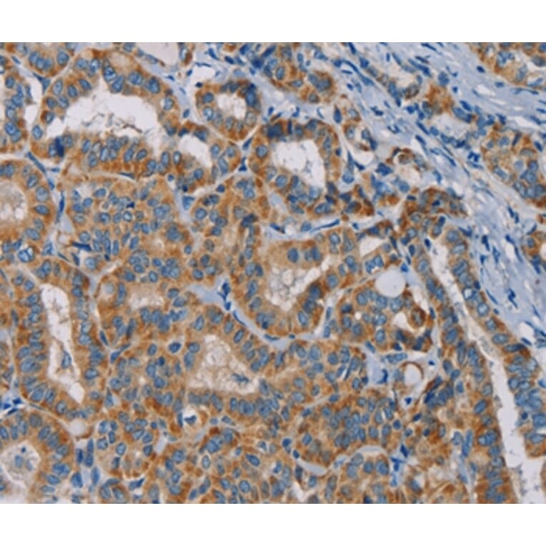
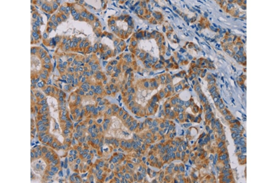
Anti-TAB3 Antibody (A38753)

Rabbit polyclonal antibody to TAB3 for WB and IHC.

Shipping Information

$40
Dispatched from St. Louis, MO.
Lead Time: 6-9 business days.
Name
Anti-TAB3 Antibody
Description
Rabbit polyclonal antibody to TAB3
Specificity
The antibody detects endogenous levels of total TAB3 protein.
Applications
WB, IHC
Reactivity
Human, Mouse
Immunogen
Fusion protein corresponding to residues near the N terminal of human TGF-beta activated kinase 1 / MAP3K7 binding protein 3
Host
Rabbit
Clonality
Polyclonal
Conjugate

Unconjugated

Purification
Antigen affinity purification.
Concentration
2.1 mg/mL
Formulation
Supplied in PBS, pH 7.3, containing 0.05% sodium azide and 50% glycerol.
Storage
Shipped at 4°C. Upon delivery aliquot and store at -20°C. Avoid freeze/thaw cycles.
Synonyms
MAP3K7IP3, Mitogen-activated protein kinase kinase kinase 7-interacting protein 3, NF-kappa-B-activating protein 1, TAB-3, TAK1-binding protein 3, TGF-beta-activated kinase 1 and MAP3K7-binding protein 3, TGF-beta-activated kinase 1-binding protein 3
Disclaimer
This product is for research use only. It is not intended for diagnostic or therapeutic use.
Publishing research using Anti-TAB3 Antibody (A38753)? Please let us know so that we can list the citation on this page.

Alternative products to Anti-TAB3 Antibody (A38753)

Proteins predicted to interact with TAB3

Predicted protein interactions based upon String database. Revelancy score correlates with probability of interaction.
99.9% Relevancy Score
99.9% Relevancy Score
99.9% Relevancy Score
99.9% Relevancy Score
99.9% Relevancy Score
98.7% Relevancy Score
98.6% Relevancy Score
97.7% Relevancy Score
97.5% Relevancy Score