Primary Antibodies
Secondary Antibodies
Proteins & Peptides
ELISA Kits
About Us
Contact Us
Sign In/Register
0
ISO 9001:2015 Certified
Live Customer Support
4.5/5 on Trustpilot
100% Quality Guarantee
Home
Primary Antibodies
TAF12 Antibodies
Anti-TAF12 Antibody (A46319)
Anti-TAF12 Antibody (A46319)
Overview
Specifications
Images
Enlarge Image
Enlarge Image
$430
Product Datasheet
Rabbit polyclonal antibody to TAF12 for IHC.
100% Guarantee
Price Match Guarantee
Product Size:
100µl
Quantity:
1
2
3
4
5
6
7
8
9
10
Add To Cart
Request a Quotation
Custom or Bulk Request
Shipping Information
Freight/Packing Charges:
$40
Dispatched from St. Louis, MO.
Lead Time: 6-9 business days.
Specifications
Name
Anti-TAF12 Antibody
Description
Rabbit polyclonal antibody to TAF12
Specificity
The antibody detects endogenous levels of total TAF12 protein.
Applications
IHC
Reactivity
Human
Immunogen
Full length fusion protein
Host
Rabbit
Clonality
Polyclonal
Conjugate
Unconjugated
Purification
Antigen affinity purification.
Concentration
1.8 mg/mL
Formulation
Rabbit IgG in pH7.4 PBS, 0.05% NaN3, 40% Glycerol.
Storage
Shipped at 4°C. Upon delivery aliquot and store at -20°C. Avoid freeze/thaw cycles.
Synonyms
TAF15, TAF2J, TAFII-20/TAFII-15, TAFII20, TAFII20/TAFII15, Transcription initiation factor TFIID 20/15 kDa subunits, Transcription initiation factor TFIID subunit 12
Suitable Secondaries
Goat Anti-Rabbit IgG H&L Antibody (AP) (A294874)
Goat Anti-Rabbit IgG H&L Antibody (Biotin) (A294795)
Goat Anti-Rabbit IgG H&L Antibody (FITC) (A294887)
Goat Anti-Rabbit IgG H&L Antibody (HRP) (A294888)
See all Anti-Rabbit IgG Secondaries →
Disclaimer
This product is for research use only. It is not intended for diagnostic or therapeutic use.
Scientific Validation Data
Validation Data
(2)
Enlarge Image
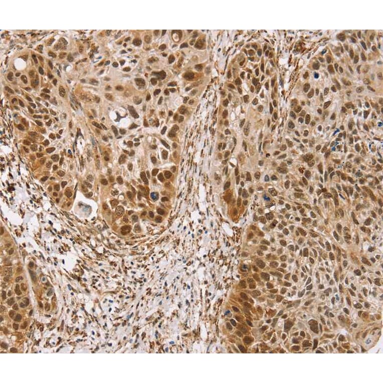
Immunohistochemistry - Anti-TAF12 Antibody (A46319)
Immunohistochemical analysis of paraffin-embedded Human oesophagus cancer tissue using #40134 at dilution 1/30.
Enlarge Image
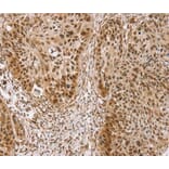
Immunohistochemistry - Anti-TAF12 Antibody (A46319)
Immunohistochemical analysis of paraffin-embedded Human ovarian cancer tissue using #40134 at dilution 1/30.
Publishing research using Anti-TAF12 Antibody (A46319)? Please
let us know
so that we can list the citation on this page.
Alternative products to Anti-TAF12 Antibody (A46319)
A30966
Anti-TAF12 Antibody
Rabbit polyclonal antibody to TAF12 for WB and IHC.
A307575
Anti-TAF12 Antibody
Rabbit polyclonal antibody to TAF12 for WB.
A30966
Anti-TAF12 Antibody
Rabbit polyclonal antibody to TAF12 for WB and IHC.
A307575
Anti-TAF12 Antibody
Rabbit polyclonal antibody to TAF12 for WB.
Proteins predicted to interact with TAF12
Predicted protein interactions based upon String database. Revelancy score correlates with probability of interaction.
TAF1 Antibodies
99.9% Relevancy Score
TAF13 Antibodies
99.9% Relevancy Score
TAF11 Antibodies
99.9% Relevancy Score
TADA3L Antibodies
99.9% Relevancy Score
TBP Antibodies
99.9% Relevancy Score
TADA1L Antibodies
99.9% Relevancy Score
TAF5L Antibodies
99.9% Relevancy Score
TAF10 Antibodies
99.9% Relevancy Score
TAF5 Antibodies
99.9% Relevancy Score
Top