ISO 9001:2015 Certified
Live Customer Support
4.5/5 on Trustpilot
100% Quality Guarantee

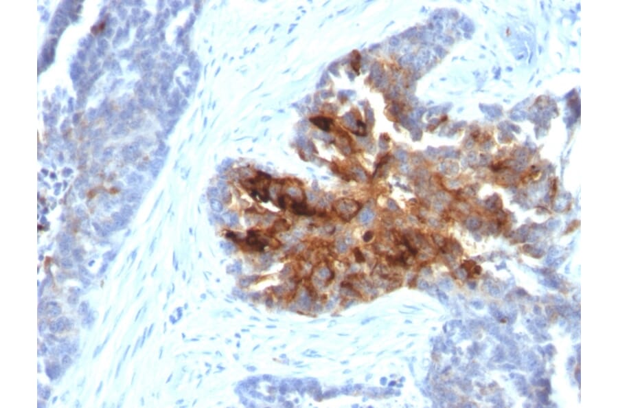
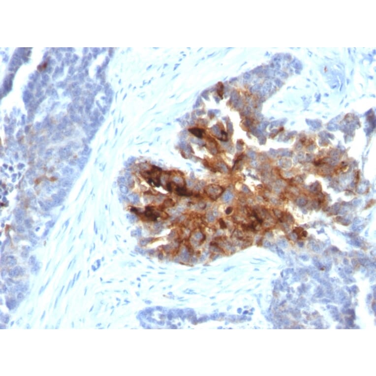
Recombinant Anti-TAG72 Antibody [CA72/2869R] - BSA and Azide free (A251547)

Recombinant rabbit monoclonal [CA72/2869R] antibody to TAG72 for IHC-P.

Alternative Formats and ConjugatesAlternative Formats

Shipping Information

$40
Dispatched from St. Louis, MO.
Lead Time: 5-8 business days.
Name
Anti-TAG72 Antibody [CA72/2869R] - BSA and Azide free
Description
Recombinant rabbit monoclonal [CA72/2869R] antibody to TAG72.
Specificity
This antibody recognizes an oncofetal antigen of 220kDa, identified as a tumor-associated glycoprotein (TAG-72) with properties of a mucin. This MAb defines the mucin-carried sialylated-Tn epitope. TAG-72 is usually expressed by adenocarcinomas, but is negative in mesotheliomas. Studies have reported that this antibody has 80% sensitivity and 93% specificity for pulmonary adenocarcinoma. Therefore, TAG-72 is a useful marker to distinguish between mesothelioma and adenocarcinoma. However, positive reactions can occur so results must be interpreted with the utmost caution. This antibody may be useful in the differentiation of non-small cell carcinomas from small cell carcinomas of the lung. The combined use of anti-TAG-72 and anti-GCDFP-15 is valuable in the diagnosis of apocrine carcinoma.
Applications
IHC-P
Dilutions
IHC-P: 1-2 µg/ml
Reactivity
Huma, Bovine, Canine, Hamster, Rat
Immunogen
Purified TAG-72 protein.
Host
Rabbit
Clonality
Monoclonal
Clone ID
CA72/2869R
Isotype
IgG
Conjugate

Unconjugated

Purification
Protein A/G chromatography.
Concentration
1 mg/ml
Molecular Weight
220 kDa
Product Form
Liquid
Formulation
Supplied in 10mM Phosphate Buffered Saline; without Sodium Azide and carrier free.
Storage
Shipped at 4°C. Upon delivery aliquot and store at -20°C. Avoid freeze / thaw cycles.
General Notes
This monoclonal antibody is also available in a different formulation with BSA and Sodium Azide - Anti-TAG72 Antibody [CA72/2869R] (A248365).
Disclaimer
This product is for research use only. It is not intended for diagnostic or therapeutic use.
Publishing research using Recombinant Anti-TAG72 Antibody [CA72/2869R] - BSA and Azide free (A251547)? Please let us know so that we can list the citation on this page.

Alternative products to Anti-TAG72 Antibody [CA72/2869R] - BSA and Azide free (A251547)