Western Blot - Anti-TAGLN / Transgelin Antibody (A9989)
Western blot analysis of extracts of Rat uterus, using Anti-TAGLN / Transgelin Antibody (A9989) at 1:500 dilution. The secondary antibody was Goat Anti-Rabbit IgG H&L Antibody (HRP) at 1:10,000 dilution. Lysates/proteins were present at 25µg per lane. The blocking buffer used was 3% non-fat dry milk in TBST. Detection was with a ECL Basic Kit. Exposure time: 30s.
Western Blot - Anti-TAGLN / Transgelin Antibody (A9989)
Western blot analysis of extracts of Mouse uterus, using Anti-TAGLN / Transgelin Antibody (A9989) at 1:500 dilution. The secondary antibody was Goat Anti-Rabbit IgG H&L Antibody (HRP) at 1:10,000 dilution. Lysates/proteins were present at 25µg per lane. The blocking buffer used was 3% non-fat dry milk in TBST. Detection was with a ECL Basic Kit. Exposure time: 90s.
Immunohistochemistry analysis of paraffin-embedded human colon tissue using Anti-TAGLN / Transgelin Antibody (A9989) at a dilution of 1:20 (40x lens). Perform high pressure antigen retrieval with 10 mM citrate buffer pH 6.0 before commencing with IHC staining protocol.
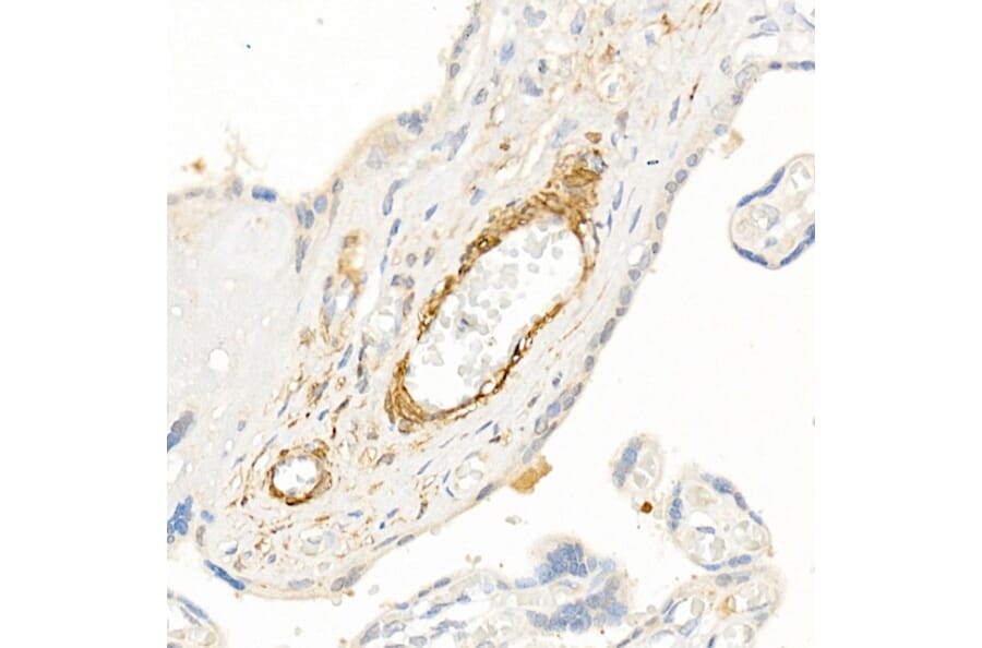
Immunohistochemistry analysis of paraffin-embedded human placenta using Anti-TAGLN / Transgelin Antibody (A9989) at a dilution of 1:20 (40x lens). Perform high pressure antigen retrieval with 10 mM citrate buffer pH 6.0 before commencing with IHC staining protocol.